Suppr超能文献

一名有主动脉缩窄修复既往史的患者因主动脉-支气管瘘出现危及生命的咯血。

Life-Threatening Hemoptysis From Aorto-Bronchial Fistula in a Patient With Remote History of Aortic Coarctation Repair.

作者信息

Greene Tayla E, Walls Sheri P, Blakeney Bryan A, Ademiluyi Ademayowa O, Nestoiter Konstantin G

机构信息

Internal Medicine, Piedmont Athens Regional Medical Center, Athens, USA.

出版信息

Cureus. 2024 Jan 27;16(1):e53048. doi: 10.7759/cureus.53048. eCollection 2024 Jan.

Abstract

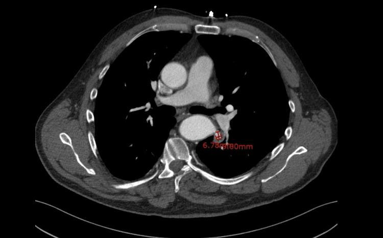
"Hemoptysis" refers to the expectoration of blood from the respiratory tract. However, "life-threatening hemoptysis" includes any volume that leads to features such as airway obstruction, hypoxia, or hemodynamic instability. We present a case of life-threatening hemoptysis in a 65-year-old male with a history of benign prostatic hyperplasia and uncontrolled hypertension. Radiological investigations revealed a pseudo-aneurysm at the site of a prior thoracic aortic coarctation repair more than 50 years prior in childhood. He required vascular surgical intervention, during which there was evidence of an aorta-bronchial fistula as the likely cause of bleeding. Following the repair and optimal blood pressure control, the patient had no further episodes of hemoptysis and was discharged from the hospital. His case not only adds to the growing body of medical literature reporting hemoptysis as a complication of coarctation repair but also highlights the aorto-bronchial fistula as a possible and potentially catastrophic mechanism for bleeding in these patients.

摘要

“咯血”指呼吸道出血并咳出。然而,“危及生命的咯血”包括导致气道阻塞、缺氧或血流动力学不稳定等特征的任何出血量。我们报告一例65岁男性危及生命的咯血病例,该患者有良性前列腺增生和未控制的高血压病史。影像学检查显示,患者童年时期(50多年前)曾行胸主动脉缩窄修复术,目前修复部位存在假性动脉瘤。他需要进行血管外科干预,术中发现主动脉-支气管瘘可能是出血原因。修复术后并实现最佳血压控制后,患者未再发生咯血并出院。他的病例不仅增加了将咯血作为缩窄修复并发症报告的医学文献数量,还突出了主动脉-支气管瘘作为这些患者出血的一种可能且潜在灾难性机制。

https://cdn.ncbi.nlm.nih.gov/pmc/blobs/d1c4/10896009/3dd52630cbad/cureus-0016-00000053048-i01.jpg

文献AI研究员

20分钟写一篇综述,助力文献阅读效率提升50倍。

立即体验

用中文搜PubMed

大模型驱动的PubMed中文搜索引擎

马上搜索

文档翻译

学术文献翻译模型,支持多种主流文档格式。

立即体验