Suppr超能文献

一名计划进行剖宫产的孕妇发生后部可逆性脑病综合征相关的麻醉挑战。

Anesthetic Challenges Associated With Posterior Reversible Encephalopathy Syndrome in a Pregnant Woman Scheduled for a Caesarean Section.

作者信息

Chakole Vivek, Jadhav Jui A, Mankhair Shrilekh, Dash Sambit

机构信息

Department of Anaesthesiology, Jawaharlal Nehru Medical College, Datta Meghe Institute of Higher Education & Research (Deemed to Be University), Wardha, IND.

出版信息

Cureus. 2024 Jan 27;16(1):e53079. doi: 10.7759/cureus.53079. eCollection 2024 Jan.

Abstract

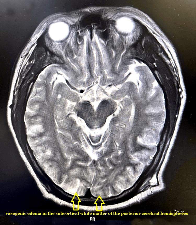
Recently, there has been a rise in reports of posterior reversible encephalopathy syndrome (PRES), which is an uncommon neurologic illness. The precise cause of PRES syndrome is yet unknown, but there are certain illnesses that have been associated with it. Furthermore, because of advances in imaging methods and growing awareness, the connection between PRES and pre-eclampsia/eclampsia is becoming increasingly recognised. Pre-eclampsia/eclampsia by itself poses distinct perioperative difficulties; in addition, PRES makes anesthesia administration more difficult. Regretfully, there is a lack of knowledge regarding the anesthetic treatment provided to the extremely sick and medically complex patients, and it is uncertain whether the chosen anesthetic might exacerbate neurologic problems. Here, we discuss the implications for the anesthetic management of PRES presentations.

摘要

最近,关于后部可逆性脑病综合征(PRES)的报告有所增加,这是一种罕见的神经系统疾病。PRES综合征的确切病因尚不清楚,但有某些疾病与之相关。此外,由于成像方法的进步和认识的提高,PRES与子痫前期/子痫之间的关联越来越受到认可。子痫前期/子痫本身会带来独特的围手术期困难;此外,PRES会使麻醉管理更加困难。遗憾的是,对于为病情极其严重且医疗情况复杂的患者提供的麻醉治疗缺乏了解,并且不确定所选择的麻醉是否会加重神经问题。在此,我们讨论PRES表现对麻醉管理的影响。

https://cdn.ncbi.nlm.nih.gov/pmc/blobs/9e89/10897063/044ddc86cd1c/cureus-0016-00000053079-i01.jpg

文献AI研究员

20分钟写一篇综述,助力文献阅读效率提升50倍。

立即体验

用中文搜PubMed

大模型驱动的PubMed中文搜索引擎

马上搜索

文档翻译

学术文献翻译模型,支持多种主流文档格式。

立即体验