Suppr超能文献

网织蛋白3缺乏通过减轻线粒体功能障碍和炎症来改善心肌梗死后的心衰。

Reticulon 3 deficiency ameliorates post-myocardial infarction heart failure by alleviating mitochondrial dysfunction and inflammation.

作者信息

Qi Bingchao, Li Tiantian, Luo Haixia, Hu Lang, Feng Renqian, Wang Di, Peng Tingwei, Ren Gaotong, Guo Dong, Liu Mingchuan, Wang Qiuhe, Zhang Mingming, Li Yan

机构信息

Department of Cardiology Tangdu Hospital Air Force Medical University Xi'an Shaanxi China.

出版信息

MedComm (2020). 2024 Feb 28;5(3):e503. doi: 10.1002/mco2.503. eCollection 2024 Mar.

Abstract

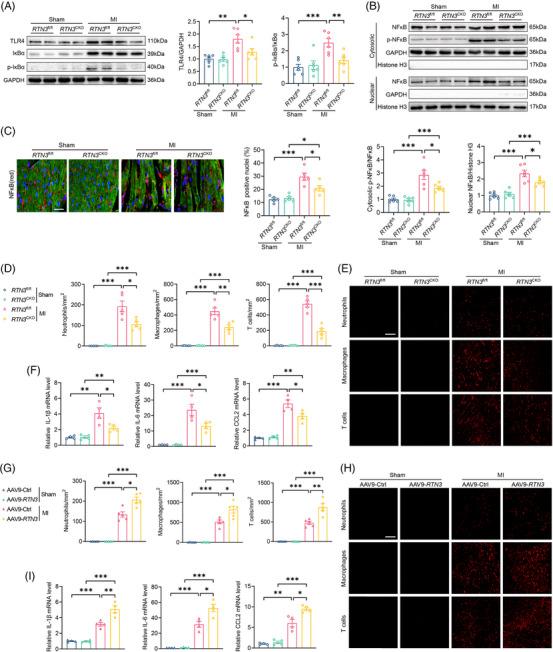
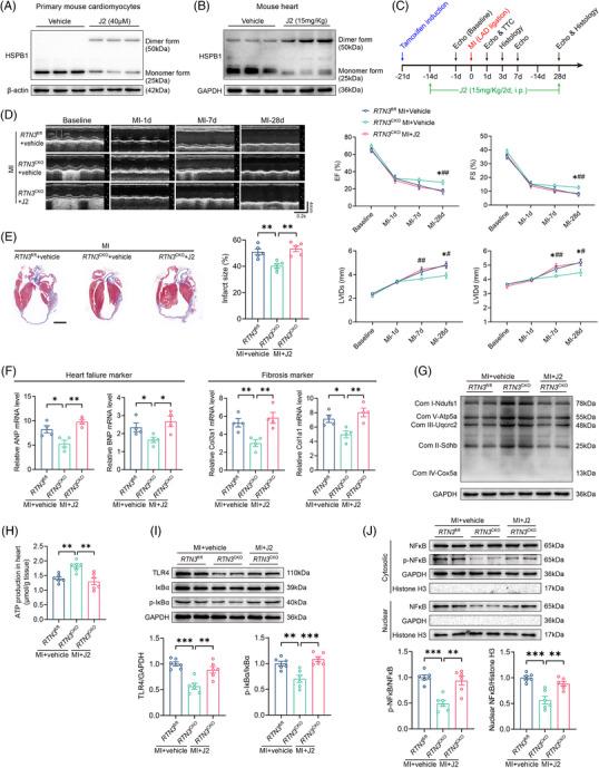
Multiple molecular mechanisms are involved in the development of heart failure (HF) after myocardial infarction (MI). However, interventions targeting these pathological processes alone remain clinically ineffective. Therefore, it is essential to identify new therapeutic targets for alleviating cardiac dysfunction after MI. Here, gain- and loss-of-function approaches were used to investigate the role of reticulon 3 (RTN3) in HF after MI. We found that RTN3 was elevated in the myocardium of patients with HF and mice with MI. Cardiomyocyte-specific RTN3 overexpression decreased systolic function in mice under physiological conditions and exacerbated the development of HF induced by MI. Conversely, knockout alleviated cardiac dysfunction after MI. Mechanistically, RTN3 bound and mediated heat shock protein beta-1 (HSPB1) translocation from the cytosol to the endoplasmic reticulum. The reduction of cytosolic HSPB1 was responsible for the elevation of TLR4, which impaired mitochondrial function and promoted inflammation through toll-like receptor 4 (TLR4)/peroxisome proliferator-activated receptor gamma coactivator-1 alpha(PGC-1α) and TLR4/Nuclear factor-kappa B(NFκB) pathways, respectively. Furthermore, the HSPB1 inhibitor reversed the protective effect of knockout on MI. Additionally, elevated plasma RTN3 level is associated with decreased cardiac function in patients with acute MI. This study identified RTN3 as a critical driver of HF after MI and suggests targeting RTN3 as a promising therapeutic strategy for MI and related cardiovascular diseases.

摘要

多种分子机制参与心肌梗死(MI)后心力衰竭(HF)的发生发展。然而,仅针对这些病理过程的干预措施在临床上仍然无效。因此,确定减轻MI后心脏功能障碍的新治疗靶点至关重要。在此,采用功能获得和功能缺失方法研究网织蛋白3(RTN3)在MI后HF中的作用。我们发现,HF患者和MI小鼠心肌中的RTN3水平升高。在生理条件下,心肌细胞特异性RTN3过表达降低了小鼠的收缩功能,并加剧了MI诱导的HF发展。相反,基因敲除减轻了MI后的心脏功能障碍。机制上,RTN3结合并介导热休克蛋白β-1(HSPB1)从细胞质转运至内质网。细胞质中HSPB1的减少导致Toll样受体4(TLR4)升高,其分别通过Toll样受体4/过氧化物酶体增殖物激活受体γ共激活因子-1α(PGC-1α)和Toll样受体4/核因子-κB(NFκB)途径损害线粒体功能并促进炎症反应。此外,HSPB1抑制剂逆转了基因敲除对MI的保护作用。此外,急性MI患者血浆RTN3水平升高与心脏功能下降相关。本研究确定RTN3是MI后HF的关键驱动因素,并表明靶向RTN3是治疗MI及相关心血管疾病的一种有前景的治疗策略。

https://cdn.ncbi.nlm.nih.gov/pmc/blobs/2ad2/10901281/217362290107/MCO2-5-e503-g002.jpg

文献检索

告别复杂PubMed语法,用中文像聊天一样搜索,搜遍4000万医学文献。AI智能推荐,让科研检索更轻松。

立即免费搜索

文件翻译

保留排版,准确专业,支持PDF/Word/PPT等文件格式,支持 12+语言互译。

免费翻译文档

深度研究

AI帮你快速写综述,25分钟生成高质量综述,智能提取关键信息,辅助科研写作。

立即免费体验