Advedissian Tamara, Frémont Stéphane, Echard Arnaud
Institut Pasteur, Université Paris Cité, CNRS UMR3691, Membrane Traffic and Cell Division Unit, 25-28 rue du Dr Roux, F-75015, Paris, France.
Nat Commun. 2024 Mar 2;15(1):1949. doi: 10.1038/s41467-024-46062-9.
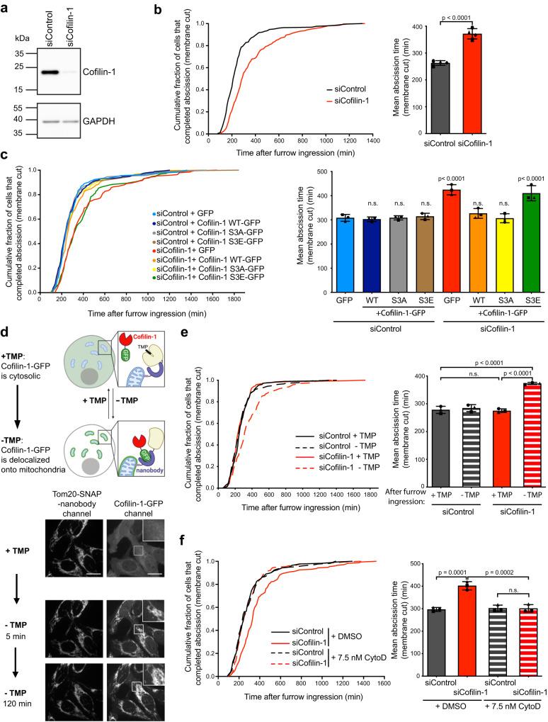
Cell division is completed by the abscission of the intercellular bridge connecting the daughter cells. Abscission requires the polymerization of an ESCRT-III cone close to the midbody to both recruit the microtubule severing enzyme spastin and scission the plasma membrane. Here, we found that the microtubule and the membrane cuts are two separate events that are regulated differently. Using HeLa cells, we uncovered that the F-actin disassembling protein Cofilin-1 controls the disappearance of a transient pool of branched F-actin which is precisely assembled at the tip of the ESCRT-III cone shortly before the microtubule cut. Functionally, Cofilin-1 and Arp2/3-mediated branched F-actin favor abscission by promoting local severing of the microtubules but do not participate later in the membrane scission event. Mechanistically, we propose that branched F-actin functions as a physical barrier that limits ESCRT-III cone elongation and thereby favors stable spastin recruitment. Our work thus reveals that F-actin controls the timely and local disassembly of microtubules required for cytokinetic abscission.
细胞分裂通过连接子细胞的细胞间桥的脱落而完成。脱落需要ESCRT-III锥体在中体附近聚合,以募集微管切断酶spastin并切断质膜。在这里,我们发现微管切割和膜切割是两个独立的事件,其调控方式不同。利用HeLa细胞,我们发现F-肌动蛋白解聚蛋白Cofilin-1控制着一个短暂的分支F-肌动蛋白池的消失,该分支F-肌动蛋白池恰好在微管切割前不久精确组装在ESCRT-III锥体的顶端。在功能上,Cofilin-1和Arp2/3介导的分支F-肌动蛋白通过促进微管的局部切断而有利于脱落,但在膜切割事件后期不参与。从机制上讲,我们提出分支F-肌动蛋白作为一种物理屏障,限制ESCRT-III锥体的伸长,从而有利于稳定募集spastin。因此,我们的工作揭示了F-肌动蛋白控制着细胞分裂脱落所需微管的及时和局部解聚。