Suppr超能文献

卵巢微囊性间质瘤伴巢蛋白显著表达:独特病例报告。

Ovarian Microcystic Stromal Tumor with Significant Nestin Expression: A Unique Case.

机构信息

Department of Histology and Embryology, School of Basic Medicine, Chifeng University, China.

Department of Urology, University of Yamanashi, Japan.

出版信息

Intern Med. 2024 Oct 15;63(20):2781-2785. doi: 10.2169/internalmedicine.3221-23. Epub 2024 Mar 4.

Abstract

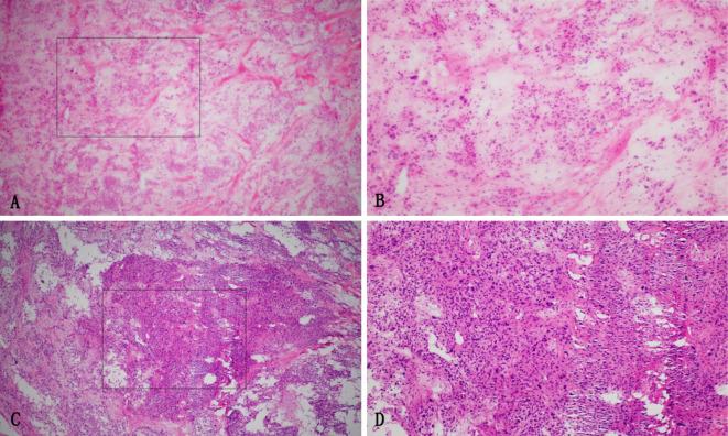
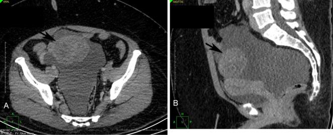
Ovary microcystic stromal tumor (MCST) is an extremely rare subtype of sex cord-stromal neoplasm, and only 57 cases have been reported. We herein report a unique case of ovarian MCST with positive nestin expression in a 39-year-old Chinese woman. The tumor showed microcystic stromal histological structures and characteristically expressed the CD10, WT-1, and Ki67 proteins. A molecular analysis identified a point mutation (c.110C > T) in exon 3 of the CTNNB1 gene. To our knowledge, no report has described a case of ovarian MCST with positive staining for nestin protein. Our study provides new insights into the tumor biology of ovarian MCST.

摘要

卵巢微囊型基质瘤(MCST)是一种极为罕见的性索-间质肿瘤亚型,仅有 57 例报道。本文报道了一例独特的卵巢 MCST 病例,患者为 39 岁中国女性,巢蛋白呈阳性表达。肿瘤呈微囊型基质组织学结构,特征性表达 CD10、WT-1 和 Ki67 蛋白。分子分析发现 CTNNB1 基因外显子 3 存在点突变(c.110C > T)。据我们所知,尚无巢蛋白阳性染色的卵巢 MCST 病例报道。本研究为卵巢 MCST 的肿瘤生物学提供了新的见解。

https://cdn.ncbi.nlm.nih.gov/pmc/blobs/44c4/11557199/336f583de667/1349-7235-63-2781-g001.jpg

相似文献

1
Ovarian Microcystic Stromal Tumor with Significant Nestin Expression: A Unique Case.
Intern Med. 2024 Oct 15;63(20):2781-2785. doi: 10.2169/internalmedicine.3221-23. Epub 2024 Mar 4.
3
Microcystic stromal tumour of the ovary: frequent mutations of β-catenin (CTNNB1) in six cases.
Histopathology. 2015 Dec;67(6):872-9. doi: 10.1111/his.12722. Epub 2015 Jun 4.
4
Microcystic Stromal Tumor of Testicle: First Case Report and Literature Review.
Cancer Res Treat. 2018 Oct;50(4):1452-1457. doi: 10.4143/crt.2017.414. Epub 2017 Nov 24.
6
β-catenin (CTNNB1) S33C mutation in ovarian microcystic stromal tumors.
Am J Surg Pathol. 2011 Oct;35(10):1429-40. doi: 10.1097/PAS.0b013e31822d6c71.
7
Ovarian microcystic stromal tumor with omental metastasis: the first case report and literature review.
J Ovarian Res. 2021 May 27;14(1):73. doi: 10.1186/s13048-021-00812-1.
8
Lack of mutation of DICER1 and FOXL2 genes in microcystic stromal tumor of the ovary.
Virchows Arch. 2017 Feb;470(2):225-229. doi: 10.1007/s00428-016-2038-2. Epub 2016 Nov 9.
10
Ovarian microcystic stromal tumor with undetermined potential: case study with molecular analysis and literature review.
Hum Pathol. 2018 Aug;78:171-176. doi: 10.1016/j.humpath.2018.02.012. Epub 2018 Feb 17.

本文引用的文献

2
Ovarian microcystic stromal tumor with omental metastasis: the first case report and literature review.
J Ovarian Res. 2021 May 27;14(1):73. doi: 10.1186/s13048-021-00812-1.
3
Ovarian microcystic stromal tumor with significant bizarre nuclei: A case report.
Medicine (Baltimore). 2020 Aug 21;99(34):e21841. doi: 10.1097/MD.0000000000021841.
4
Nestin regulates cellular redox homeostasis in lung cancer through the Keap1-Nrf2 feedback loop.
Nat Commun. 2019 Nov 6;10(1):5043. doi: 10.1038/s41467-019-12925-9.
5
Expanding the morphological spectrum of ovarian microcystic stromal tumour.
Histopathology. 2019 Feb;74(3):443-451. doi: 10.1111/his.13755. Epub 2018 Dec 5.
6
Microcystic Stromal Tumor of Testicle: First Case Report and Literature Review.
Cancer Res Treat. 2018 Oct;50(4):1452-1457. doi: 10.4143/crt.2017.414. Epub 2017 Nov 24.
7
Nestin Mediates Hedgehog Pathway Tumorigenesis.
Cancer Res. 2016 Sep 15;76(18):5573-83. doi: 10.1158/0008-5472.CAN-16-1547. Epub 2016 Aug 5.
9
Nestin involvement in tissue injury and cancer--a potential tumor marker?
Cell Oncol (Dordr). 2014 Oct;37(5):305-15. doi: 10.1007/s13402-014-0193-5. Epub 2014 Aug 28.
10
p53-dependent Nestin regulation links tumor suppression to cellular plasticity in liver cancer.
Cell. 2014 Jul 31;158(3):579-92. doi: 10.1016/j.cell.2014.05.051.

文献AI研究员

20分钟写一篇综述,助力文献阅读效率提升50倍。

立即体验

用中文搜PubMed

大模型驱动的PubMed中文搜索引擎

马上搜索

文档翻译

学术文献翻译模型,支持多种主流文档格式。

立即体验