• 文献检索
  • 文档翻译
  • 深度研究
  • 学术资讯
  • Suppr Zotero 插件Zotero 插件
  • 邀请有礼
  • 套餐&价格
  • 历史记录
应用&插件
Suppr Zotero 插件Zotero 插件浏览器插件Mac 客户端Windows 客户端微信小程序
定价
高级版会员购买积分包购买API积分包
服务
文献检索文档翻译深度研究API 文档MCP 服务
关于我们
关于 Suppr公司介绍联系我们用户协议隐私条款
关注我们

Suppr 超能文献

核心技术专利:CN118964589B侵权必究
粤ICP备2023148730 号-1Suppr @ 2026

文献检索

告别复杂PubMed语法,用中文像聊天一样搜索,搜遍4000万医学文献。AI智能推荐,让科研检索更轻松。

立即免费搜索

文件翻译

保留排版,准确专业,支持PDF/Word/PPT等文件格式,支持 12+语言互译。

免费翻译文档

深度研究

AI帮你快速写综述,25分钟生成高质量综述,智能提取关键信息,辅助科研写作。

立即免费体验

一例小儿脓疱型坏疽性脓皮病被误诊为急性发热性嗜中性皮病

A Case of Pustular Pyoderma Gangrenosum Misdiagnosed as Acute Febrile Neutrophilic Dermatosis in a Pediatric Patient.

作者信息

Yang Xiaoli, Wu Yongzhuo, Jiang Fuqiong, Deng Danqi

机构信息

Department of Dermatology, The Second Affiliated Hospital of Kunming Medical University, Kunming, Yunnan, 650101, People's Republic of China.

出版信息

Clin Cosmet Investig Dermatol. 2024 Feb 28;17:493-498. doi: 10.2147/CCID.S449404. eCollection 2024.

DOI:10.2147/CCID.S449404
PMID:38435844
原文链接:https://pmc.ncbi.nlm.nih.gov/articles/PMC10909319/
Abstract

BACKGROUND

Pyoderma gangrenosum (PG) is a rare cause of skin ulcers in children, posing challenges in diagnosis and treatment. As the disease is often associated with conditions such as inflammatory bowel disease (IBD), rheumatoid arthritis, haematological disorders and other diseases, diagnosis and treatment often require cooperation with other medical departments. Accordingly, dissemination of information about the disease to doctors in departments other than dermatologists, especially paediatricians, can help in its early detection.

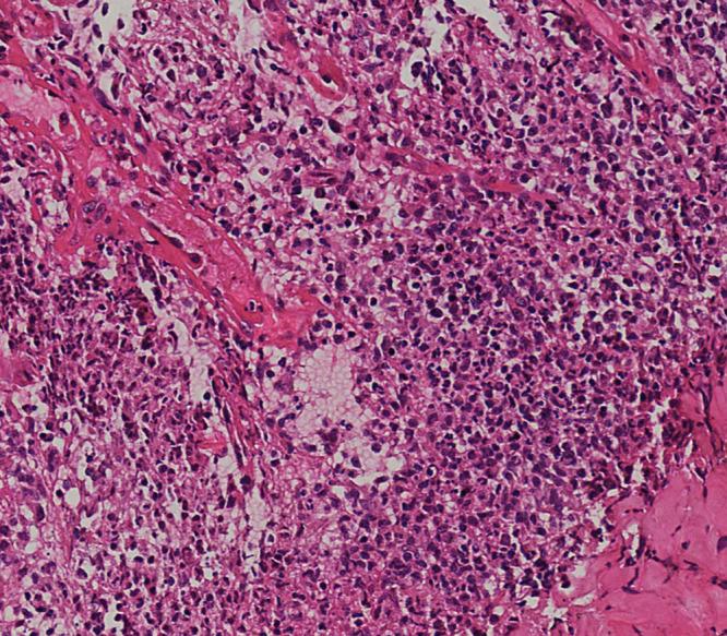
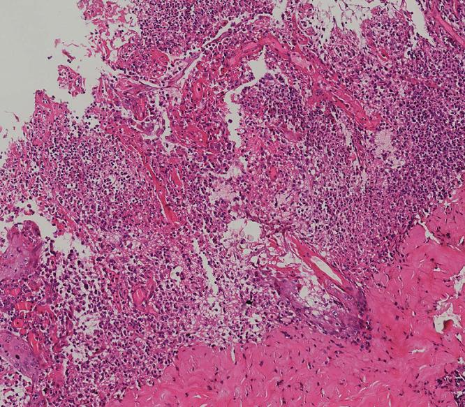
CASE PRESENTATION

The 11-year-old pediatric patient in the case initially diagnosed with acute febrile neutrophilic dermatosis was eventually confirmed as pustular PG through histopathological examinations of skin and other relevant examinations. The medical condition is lessened after treatment with a combination of glucocorticoids and adalimumab.

CONCLUSION

PG is relatively rare in clinical settings, particularly among pediatric patients exhibiting persistent high fever and signs of pustular pyoderma gangrenosum. This case underscores the importance of considering the potential diagnosis of pediatric pustular PG when confronted with a child presenting persistent high fever and pustules after trauma. Additionally, the proactive initiation of adalimumab emerges as a promising treatment option for pediatric IBD -associated pustular PG.

摘要

背景

坏疽性脓皮病(PG)是儿童皮肤溃疡的罕见病因,在诊断和治疗方面存在挑战。由于该疾病常与炎症性肠病(IBD)、类风湿性关节炎、血液系统疾病等病症相关,诊断和治疗通常需要与其他医学科室合作。因此,向皮肤科以外科室的医生,尤其是儿科医生传播有关该疾病的信息,有助于早期发现。

病例介绍

该病例中的11岁儿科患者最初被诊断为急性发热性嗜中性皮病,最终通过皮肤组织病理学检查及其他相关检查确诊为脓疱型PG。经糖皮质激素和阿达木单抗联合治疗后病情缓解。

结论

PG在临床环境中相对罕见,尤其是在出现持续高热和脓疱型坏疽性脓皮病体征的儿科患者中。该病例强调了面对外伤后出现持续高热和脓疱的儿童时,考虑小儿脓疱型PG潜在诊断的重要性。此外,对于小儿IBD相关脓疱型PG,积极启用阿达木单抗是一种有前景的治疗选择。

https://cdn.ncbi.nlm.nih.gov/pmc/blobs/5a3e/10909319/a33a44ad795f/CCID-17-493-g0005.jpg
https://cdn.ncbi.nlm.nih.gov/pmc/blobs/5a3e/10909319/c16f34ed6265/CCID-17-493-g0001.jpg
https://cdn.ncbi.nlm.nih.gov/pmc/blobs/5a3e/10909319/e077c77d9fa3/CCID-17-493-g0002.jpg
https://cdn.ncbi.nlm.nih.gov/pmc/blobs/5a3e/10909319/f3d9c33e6f9d/CCID-17-493-g0003.jpg
https://cdn.ncbi.nlm.nih.gov/pmc/blobs/5a3e/10909319/a125fb69b255/CCID-17-493-g0004.jpg
https://cdn.ncbi.nlm.nih.gov/pmc/blobs/5a3e/10909319/a33a44ad795f/CCID-17-493-g0005.jpg
https://cdn.ncbi.nlm.nih.gov/pmc/blobs/5a3e/10909319/c16f34ed6265/CCID-17-493-g0001.jpg
https://cdn.ncbi.nlm.nih.gov/pmc/blobs/5a3e/10909319/e077c77d9fa3/CCID-17-493-g0002.jpg
https://cdn.ncbi.nlm.nih.gov/pmc/blobs/5a3e/10909319/f3d9c33e6f9d/CCID-17-493-g0003.jpg
https://cdn.ncbi.nlm.nih.gov/pmc/blobs/5a3e/10909319/a125fb69b255/CCID-17-493-g0004.jpg
https://cdn.ncbi.nlm.nih.gov/pmc/blobs/5a3e/10909319/a33a44ad795f/CCID-17-493-g0005.jpg

相似文献

1
A Case of Pustular Pyoderma Gangrenosum Misdiagnosed as Acute Febrile Neutrophilic Dermatosis in a Pediatric Patient.一例小儿脓疱型坏疽性脓皮病被误诊为急性发热性嗜中性皮病
Clin Cosmet Investig Dermatol. 2024 Feb 28;17:493-498. doi: 10.2147/CCID.S449404. eCollection 2024.
2
Neutrophilic dermatoses: a review of current treatment options.嗜中性皮肤病:当前治疗选择综述
Am J Clin Dermatol. 2009;10(5):301-12. doi: 10.2165/11310730-000000000-00000.
3
Generalized Pyoderma Gangrenosum Associated with Ulcerative Colitis: Successful Treatment with Infliximab and Azathioprine.与溃疡性结肠炎相关的泛发性坏疽性脓皮病:英夫利昔单抗和硫唑嘌呤治疗成功
Acta Dermatovenerol Croat. 2016 Apr;24(1):83-5.
4
Three cases of subcorneal pustular dermatosis with immunohistochemical examinations.三例亚急性脓疱性皮病的免疫组织化学检查。
J Dermatol. 2023 Sep;50(9):1150-1155. doi: 10.1111/1346-8138.16850. Epub 2023 Jun 8.
5
Inflammatory arthritis-associated pyoderma gangrenosum: a systematic review.炎症性关节炎相关坏疽性脓皮病:系统评价。
Clin Rheumatol. 2021 Oct;40(10):3963-3969. doi: 10.1007/s10067-021-05768-7. Epub 2021 May 18.
6
A Case of the Co-Existence of Subcorneal Pustular Dermatosis and Pyoderma Gangrenosum and a Review of the Literature.1例角层下脓疱性皮肤病与坏疽性脓皮病并存病例及文献复习
Open Access Maced J Med Sci. 2018 Jul 8;6(7):1271-1274. doi: 10.3889/oamjms.2018.214. eCollection 2018 Jul 20.
7
Decoding the Histopathology of Pustular Pyoderma Gangrenosum: A Multidisciplinary Approach to Diagnosis.解读脓疱型坏疽性脓皮病的组织病理学:一种多学科诊断方法
Cureus. 2024 Aug 17;16(8):e67059. doi: 10.7759/cureus.67059. eCollection 2024 Aug.
8
Subcorneal Pustular Dermatosis Occuring in Association with Pyoderma Gangrenosum and Rheumatoid Arthritis: A Triple Whammy!与坏疽性脓皮病和类风湿关节炎相关的角层下脓疱性皮肤病:三重打击!
Indian Dermatol Online J. 2023 Sep 11;14(6):861-863. doi: 10.4103/idoj.idoj_706_22. eCollection 2023 Nov-Dec.
9
Autoinflammatory skin disorders in inflammatory bowel diseases, pyoderma gangrenosum and Sweet's syndrome: a comprehensive review and disease classification criteria.炎症性肠病、坏疽性脓皮病和Sweet 综合征中的自身炎症性皮肤病:全面综述和疾病分类标准。
Clin Rev Allergy Immunol. 2013 Oct;45(2):202-10. doi: 10.1007/s12016-012-8351-x.
10
Acute pustulosis of the legs in diverticulitis with sigmoid stenosis: an overlap between bowel-associated dermatosis-arthritis syndrome and pustular pyoderma gangrenosum.
J Eur Acad Dermatol Venereol. 2004 Jan;18(1):89-92. doi: 10.1111/j.1468-3083.2004.00712.x.

本文引用的文献

1
Treatment of Pyoderma Gangrenosum in Pediatric Inflammatory Bowel Disease.儿童炎症性肠病中坏疽性脓皮病的治疗
JPGN Rep. 2020 Aug 21;1(2):e008. doi: 10.1097/PG9.0000000000000008. eCollection 2020 Nov.
2
Practical aspects of the diagnosis and management of pyoderma gangrenosum.坏疽性脓皮病诊断与管理的实践要点
Front Med (Lausanne). 2023 Feb 14;10:1134939. doi: 10.3389/fmed.2023.1134939. eCollection 2023.
3
Pyoderma Gangrenosum: A Retrospective Study of Clinical Charac-teristics, Comorbidities, Response to Treatment and Mortality Related to Prednisone Dose.
坏疽性脓皮病:一项关于临床特征、合并症、治疗反应及与泼尼松剂量相关死亡率的回顾性研究
Acta Derm Venereol. 2021 Apr 15;101(4):adv00431. doi: 10.2340/00015555-3776.
4
Dramatic case of paediatric pyoderma gangrenosum.
Arch Dis Child. 2021 Oct;106(10):1001. doi: 10.1136/archdischild-2020-320598. Epub 2020 Dec 4.
5
Corticosteroid wraps as monotherapy in a child with extensive idiopathic pyoderma gangrenosum.皮质类固醇包裹疗法单药治疗一名患有广泛特发性坏疽性脓皮病的儿童。
Pediatr Dermatol. 2021 Jan;38(1):184-186. doi: 10.1111/pde.14348. Epub 2020 Sep 6.
6
Pediatric facial pyoderma gangrenosum preceding the diagnosis of inflammatory bowel disease.
Pediatr Dermatol. 2020 Jul;37(4):764-766. doi: 10.1111/pde.14186. Epub 2020 Apr 27.
7
Diagnostic Criteria of Ulcerative Pyoderma Gangrenosum: A Delphi Consensus of International Experts.溃疡性坏疽性脓皮病的诊断标准:国际专家德尔菲共识。
JAMA Dermatol. 2018 Apr 1;154(4):461-466. doi: 10.1001/jamadermatol.2017.5980.
8
The Association of Age With Clinical Presentation and Comorbidities of Pyoderma Gangrenosum.年龄与坏疽性脓皮病临床表现和合并症的关系。
JAMA Dermatol. 2018 Apr 1;154(4):409-413. doi: 10.1001/jamadermatol.2017.5978.
9
Pediatric pyoderma gangrenosum: a systematic review and update.儿童坏疽性脓皮病:系统评价与更新
Int J Dermatol. 2017 May;56(5):486-495. doi: 10.1111/ijd.13584. Epub 2017 Feb 23.
10
Pyoderma gangrenosum: clinicopathologic correlation and proposed diagnostic criteria.坏疽性脓皮病:临床病理相关性及拟诊标准
Int J Dermatol. 2004 Nov;43(11):790-800. doi: 10.1111/j.1365-4632.2004.02128.x.