• 文献检索
  • 文档翻译
  • 深度研究
  • 学术资讯
  • Suppr Zotero 插件Zotero 插件
  • 邀请有礼
  • 套餐&价格
  • 历史记录
应用&插件
Suppr Zotero 插件Zotero 插件浏览器插件Mac 客户端Windows 客户端微信小程序
定价
高级版会员购买积分包购买API积分包
服务
文献检索文档翻译深度研究API 文档MCP 服务
关于我们
关于 Suppr公司介绍联系我们用户协议隐私条款
关注我们

Suppr 超能文献

核心技术专利:CN118964589B侵权必究
粤ICP备2023148730 号-1Suppr @ 2026

文献检索

告别复杂PubMed语法,用中文像聊天一样搜索,搜遍4000万医学文献。AI智能推荐,让科研检索更轻松。

立即免费搜索

文件翻译

保留排版,准确专业,支持PDF/Word/PPT等文件格式,支持 12+语言互译。

免费翻译文档

深度研究

AI帮你快速写综述,25分钟生成高质量综述,智能提取关键信息,辅助科研写作。

立即免费体验

顽固性心力衰竭患者的慢性完全闭塞性经皮冠状动脉介入治疗(CTO PCI):有任何益处吗?

Chronic total occlusion percutaneous coronary intervention (CTO PCI) in an intractable heart failure patient: Is there any benefit?

作者信息

Munirwan Haris, Kusyanto Fahmi A, Zanisa Zanisa, Latief Muhammad H

机构信息

Departement of Cardiology and Vascular Medicine, Faculty of Medicine, Universitas Syiah Kuala, Banda Aceh, Indonesia.

Departement of Cardiology and Vascular Medicine, Dr. Zainoel Abidin Hospital, Banda Aceh, Indonesia.

出版信息

Narra J. 2023 Aug;3(2):e140. doi: 10.52225/narra.v3i2.140. Epub 2023 Jul 12.

DOI:10.52225/narra.v3i2.140
PMID:38454973
原文链接:https://pmc.ncbi.nlm.nih.gov/articles/PMC10919745/
Abstract

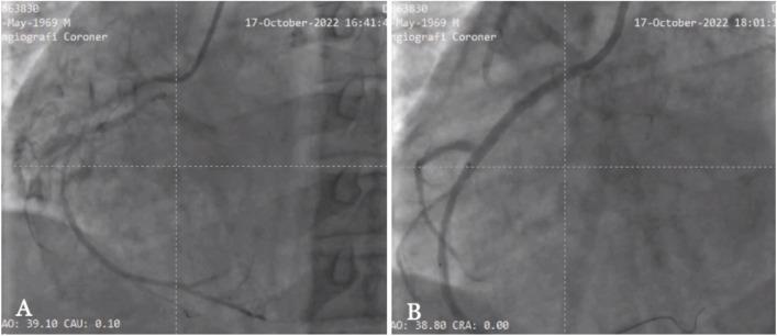
One of the most difficult procedures in interventional cardiology is the percutaneous coronary intervention (PCI) on a chronic total occlusion (CTO) lesion case. To rate the difficulty of guidewire crossing, several angiographic scoring methods have been developed such as the Japan CTO (J-CTO) score. Here we demonstrate the advantages of revascularization using PCI procedure in a CTO case with intractable heart failure. A 53-year-old man presented to the emergency room of Dr. Zainoel Abidin Hospital, Banda Aceh, Indonesia with acute decompensated heart failure. The patient had a history of past PCI with two patent drug eluting stents (DES): one in the left main (LM)-left anterior descending (LAD) artery and one in the distal left circumflex (LCX) artery. The patient had three times rehospitalizations in the last three months. According to single-photon emission computed tomography (SPECT) imaging, the right coronary artery was remained functional; however, the lesion was categorized into very difficult level (J-CTO >3). The PCI was carried out on the right coronary artery and the blood vessel was successfully revascularized after applying multiple techniques. Following the procedure, the heart failure was treated and the 6-minute walking test (6MWT) that performed 12 days after the PCI increased from 220 to 260 meters. The success of this case depended on a comprehensive history taking, adequate imaging methods, and the selection of the proper tools and PCI strategy. In conclusion, despite the challenges, PCI is still an option for patients with persistent complete occlusion. The PCI requires comprehensive preparation and the use of angiographic scoring systems, such as the J-CTO score, to determine the approach and the likelihood of success.

摘要

介入心脏病学中最具挑战性的操作之一是针对慢性完全闭塞(CTO)病变病例进行经皮冠状动脉介入治疗(PCI)。为了评估导丝通过的难度,已经开发了多种血管造影评分方法,如日本CTO(J-CTO)评分。在此,我们展示了在一例伴有顽固性心力衰竭的CTO病例中使用PCI进行血运重建的优势。一名53岁男性因急性失代偿性心力衰竭被送往印度尼西亚班达亚齐宰诺埃尔·阿比丁博士医院的急诊室。该患者既往有PCI病史,植入了两枚药物洗脱支架(DES):一枚位于左主干(LM)-左前降支(LAD)动脉,另一枚位于左旋支(LCX)动脉远端。该患者在过去三个月内三次住院。根据单光子发射计算机断层扫描(SPECT)成像,右冠状动脉仍有功能;然而,该病变被归类为极难级别(J-CTO>3)。在右冠状动脉上进行了PCI,应用多种技术后血管成功实现血运重建。术后,对心力衰竭进行了治疗,PCI术后12天进行的6分钟步行试验(6MWT)从220米增加到了260米。该病例的成功取决于全面的病史采集、充分的成像方法以及合适工具和PCI策略的选择。总之,尽管存在挑战,但PCI仍是持续性完全闭塞患者的一种选择。PCI需要全面的准备,并使用血管造影评分系统,如J-CTO评分,来确定治疗方法和成功的可能性。

https://cdn.ncbi.nlm.nih.gov/pmc/blobs/4e61/10919745/e71531c93f71/NarraJ-3-e140-g002.jpg
https://cdn.ncbi.nlm.nih.gov/pmc/blobs/4e61/10919745/6275213a166d/NarraJ-3-e140-g001.jpg
https://cdn.ncbi.nlm.nih.gov/pmc/blobs/4e61/10919745/e71531c93f71/NarraJ-3-e140-g002.jpg
https://cdn.ncbi.nlm.nih.gov/pmc/blobs/4e61/10919745/6275213a166d/NarraJ-3-e140-g001.jpg
https://cdn.ncbi.nlm.nih.gov/pmc/blobs/4e61/10919745/e71531c93f71/NarraJ-3-e140-g002.jpg

相似文献

1
Chronic total occlusion percutaneous coronary intervention (CTO PCI) in an intractable heart failure patient: Is there any benefit?顽固性心力衰竭患者的慢性完全闭塞性经皮冠状动脉介入治疗(CTO PCI):有任何益处吗?
Narra J. 2023 Aug;3(2):e140. doi: 10.52225/narra.v3i2.140. Epub 2023 Jul 12.
2
The predictors of successful percutaneous coronary intervention in ostial left anterior descending artery chronic total occlusion.左前降支开口处慢性完全闭塞病变经皮冠状动脉介入治疗成功的预测因素
Catheter Cardiovasc Interv. 2014 Oct 1;84(4):E30-7. doi: 10.1002/ccd.25514. Epub 2014 May 13.
3
Slender Bi-Radial Ping-Pong Technique for Complete Revascularisation of Concomitant CTO and Non-LM Bifurcation Lesions: A Report of Two Cases.细径双轨对向对吻技术在同时处理 CTO 和非左主干分叉病变中的应用:两例报告。
Cardiovasc Revasc Med. 2023 Aug;53S:S302-S306. doi: 10.1016/j.carrev.2022.04.010. Epub 2022 Apr 25.
4
New Angiographic Difficulty Score for First-Attempt Chronic Total Occlusion in the 3 Major Coronary Arteries.三大冠状动脉中首次尝试慢性完全闭塞的新血管造影难度评分。
JACC Cardiovasc Interv. 2023 Oct 23;16(20):2542-2551. doi: 10.1016/j.jcin.2023.08.046.
5
Evaluating the frequency of successful guidewire crossing through a complex lesion in coronary artery disease patients having chronic total occlusion.评估慢性完全闭塞性冠状动脉疾病患者经复杂病变成功通过导丝的频率。
Pak J Med Sci. 2022 May-Jun;38(5):1113-1117. doi: 10.12669/pjms.38.5.4770.
6
Percutaneous intervention of circumflex chronic total occlusions is associated with worse procedural outcomes: insights from a Multicentre US Registry.经皮介入治疗回旋支慢性完全闭塞与更差的手术结果相关:来自美国多中心注册研究的结果。
Can J Cardiol. 2014 Dec;30(12):1588-94. doi: 10.1016/j.cjca.2014.07.007. Epub 2014 Jul 16.
7
Over Ten Years' Follow-Up of Chronic Total Coronary Occlusion Angioplasty.慢性完全闭塞性冠状动脉病变经皮血管成形术的十年随访。
Cardiovasc Revasc Med. 2021 Apr;25:44-46. doi: 10.1016/j.carrev.2020.10.013. Epub 2020 Oct 29.
8
Multicenter experience with percutaneous coronary intervention for chronic total occlusion in Korean population: analysis of the Korean nationwide multicenter chronic total occlusion registry.韩国人群经皮冠状动脉介入治疗慢性完全闭塞的多中心经验:韩国全国多中心慢性完全闭塞注册研究分析。
Coron Artery Dis. 2020 Jun;31(4):319-326. doi: 10.1097/MCA.0000000000000838.
9
Chronic Total Occlusion - Percutaneous Coronary Intervention (CTO-PCI) Experience in a Single, Multi-operator Australian Centre: Need for dedicated CTO-PCI programs.慢性完全闭塞病变 - 澳大利亚一家多术者单一中心的经皮冠状动脉介入治疗(CTO-PCI)经验:对专门的CTO-PCI项目的需求
Heart Lung Circ. 2016 Jul;25(7):676-82. doi: 10.1016/j.hlc.2015.12.101. Epub 2016 Feb 6.
10
Impact of target vessel on long-term cardiac mortality after successful chronic total occlusion percutaneous coronary intervention: Insights from a Japanese multicenter registry.成功的慢性完全闭塞经皮冠状动脉介入治疗后靶血管对长期心脏死亡率的影响:来自日本多中心注册研究的结果。
Int J Cardiol. 2017 Oct 15;245:77-82. doi: 10.1016/j.ijcard.2017.07.098. Epub 2017 Aug 4.

引用本文的文献

1
Nearly catastrophe coronary perforation: Is it second drug-eluting stent effective?近乎灾难的冠状动脉穿孔:再次应用药物洗脱支架是否有效?
Narra J. 2024 Apr;4(1):e637. doi: 10.52225/narra.v4i1.637. Epub 2024 Mar 19.

本文引用的文献

1
Impact of Percutaneous Coronary Intervention on Outcomes in Patients With Heart Failure: JACC State-of-the-Art Review.经皮冠状动脉介入治疗对心力衰竭患者结局的影响:JACC 最新观点述评。
J Am Coll Cardiol. 2021 May 18;77(19):2432-2447. doi: 10.1016/j.jacc.2021.03.310.
2
Choice of CTO scores to predict procedural success in clinical practice. A comparison of 4 different CTO PCI scores in a comprehensive national registry including expert and learning CTO operators.选择 CTO 评分来预测临床实践中的手术成功率。在一个包括专家和学习 CTO 操作者的综合国家注册中心,比较 4 种不同的 CTO PCI 评分。
PLoS One. 2021 Apr 2;16(4):e0245898. doi: 10.1371/journal.pone.0245898. eCollection 2021.
3
Association of Acute Procedural Results With Long-Term Outcomes After CTO PCI.
CTO PCI 术后即刻治疗结果与远期预后的相关性研究。
JACC Cardiovasc Interv. 2021 Feb 8;14(3):278-288. doi: 10.1016/j.jcin.2020.10.003. Epub 2020 Nov 25.
4
A Novel Algorithm for Treating Chronic Total Coronary Artery Occlusion.一种治疗慢性完全性冠状动脉闭塞的新算法。
J Am Coll Cardiol. 2019 Nov 12;74(19):2392-2404. doi: 10.1016/j.jacc.2019.08.1049.
5
Contemporary Cardiac SPECT Imaging-Innovations and Best Practices: An Information Statement from the American Society of Nuclear Cardiology.当代心脏单光子发射计算机断层显像——创新与最佳实践:美国核心脏病学会信息声明
Circ Cardiovasc Imaging. 2018 Sep;11(9):e000020. doi: 10.1161/HCI.0000000000000020.
6
Percutaneous Coronary Intervention in Chronic Total Occlusion.慢性完全闭塞病变的经皮冠状动脉介入治疗
Arq Bras Cardiol. 2018 May;110(5):476-483. doi: 10.5935/abc.20180077.
7
Percutaneous Treatment of Coronary Chronic Total Occlusion Part 2: Technical Approach.经皮冠状动脉慢性完全闭塞病变的治疗 第2部分:技术方法
Interv Cardiol. 2014 Aug;9(3):201-207. doi: 10.15420/icr.2014.9.3.201.
8
Percutaneous Treatment of Coronary Chronic Total Occlusions Part 1: Rationale and Outcomes.经皮冠状动脉慢性完全闭塞病变的治疗 第1部分:原理与结果
Interv Cardiol. 2014 Aug;9(3):195-200. doi: 10.15420/icr.2014.9.3.195.
9
Non-invasive imaging in detecting myocardial viability: Myocardial function versus perfusion.检测心肌存活的非侵入性成像:心肌功能与灌注
Int J Cardiol Heart Vasc. 2014 Oct 18;5:51-56. doi: 10.1016/j.ijcha.2014.10.008. eCollection 2014 Dec.
10
Clinical Utility of the Japan-Chronic Total Occlusion Score in Coronary Chronic Total Occlusion Interventions: Results from a Multicenter Registry.日本慢性完全闭塞评分在冠状动脉慢性完全闭塞介入治疗中的临床应用:多中心注册研究结果
Circ Cardiovasc Interv. 2015 Jul;8(7):e002171. doi: 10.1161/CIRCINTERVENTIONS.114.002171.