Suppr超能文献

皮肤作为肠道的窗口:一例类癌综合征病例。

The skin as a window to the gut: A case of carcinoid syndrome.

作者信息

Costa Catarina Alves, Lopes Tânia, Rodrigues Ana Patrícia, Lamas Nuno Jorge, Cruz Célia

机构信息

Internal Medicine Department Centro Hospitalar Universitário de Santo António (CHUdSA), Porto, Largo Professor Abel Salazar Porto Portugal.

Anatomic Pathology Service, Pathology Department Centro Hospitalar Universitário de Santo António (CHUdSA), Porto, Largo Professor Abel Salazar Porto Portugal.

出版信息

Clin Case Rep. 2024 Mar 7;12(3):e8641. doi: 10.1002/ccr3.8641. eCollection 2024 Mar.

Abstract

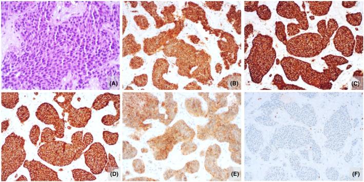
Neuroendocrine tumors (NETs) are a group of uncommon neoplasms derived from enterochromaffin or Kulchitsky cells (that secrete serotonin or other molecules into the bloodstream), which can manifest with symptoms of hormonal overproduction, namely carcinoid syndrome (CS). This can be the presenting feature in patients with advanced disease. We report the case of a 66-year-old woman presenting with chronic diarrhea, facial venous telangiectasia and elevated urinary 5-hydrocyindoleacetic acid levels. A 68-Ga DOTATOC PET/CT scan revealed an ileal mass and lesions consistent with liver, ovary and bone metastasis. A liver biopsy confirmed the diagnosis of well-differentiated NET G1. Therapy with somatostatin analogs achieved symptom control, but the liver disease progressed and the patient passed away after 2 years of follow-up. The challenge of diagnosing CS resides in its heterogeneous manifestations, which may range from mild to life-threatening conditions. In this case, the cutaneous findings of venous telangiectasia strongly pointed to the correct diagnosis. Treatment can also be difficult due to refractory symptoms and inevitable progression of disease, highlighting the importance of early detection and thorough disease staging.

摘要

神经内分泌肿瘤(NETs)是一组源自肠嗜铬细胞或库尔契茨基细胞(将血清素或其他分子分泌到血液中的细胞)的罕见肿瘤,可表现为激素分泌过多的症状,即类癌综合征(CS)。这可能是晚期疾病患者的首发特征。我们报告了一例66岁女性患者,表现为慢性腹泻、面部静脉扩张和尿5-羟吲哚乙酸水平升高。68镓-奥曲肽PET/CT扫描显示回肠肿物以及与肝脏、卵巢和骨转移相符的病灶。肝脏活检确诊为高分化NET G1。使用生长抑素类似物治疗实现了症状控制,但肝脏疾病仍进展,患者在随访2年后去世。诊断CS的挑战在于其表现多样,从轻微到危及生命的情况都可能出现。在本例中,静脉扩张的皮肤表现强烈提示了正确诊断。由于症状难治和疾病不可避免的进展,治疗也可能困难,这凸显了早期检测和全面疾病分期的重要性。

https://cdn.ncbi.nlm.nih.gov/pmc/blobs/a213/10918735/44635096319e/CCR3-12-e8641-g001.jpg

相似文献

1
The skin as a window to the gut: A case of carcinoid syndrome.
Clin Case Rep. 2024 Mar 7;12(3):e8641. doi: 10.1002/ccr3.8641. eCollection 2024 Mar.
2
Metastatic well differentiated serotonin-producing pancreatic neuroendocrine tumor with carcinoid heart disease: a case report.
J Gastrointest Oncol. 2023 Aug 31;14(4):1878-1886. doi: 10.21037/jgo-22-909. Epub 2023 Aug 23.
3
High-dose lanreotide in the treatment of poorly differentiated pancreatic neuroendocrine carcinoma: a case report.
Case Rep Oncol. 2014 Mar 5;7(1):155-63. doi: 10.1159/000360732. eCollection 2014 Jan.
4
Inhibition of Peripheral Synthesis of Serotonin as a New Target in Neuroendocrine Tumors.
Oncologist. 2016 Jun;21(6):701-7. doi: 10.1634/theoncologist.2015-0455. Epub 2016 Apr 22.
6
Oral Ondansetron Offers Effective Antidiarrheal Activity for Carcinoid Syndrome Refractory to Somatostatin Analogs.
Oncologist. 2019 Feb;24(2):255-258. doi: 10.1634/theoncologist.2018-0191. Epub 2018 Aug 31.
8
Efficacy of Detoxsan powder on diarrhea caused by gastrointestinal neuroendocrine tumors.
World J Gastroenterol. 2019 May 7;25(17):2133-2143. doi: 10.3748/wjg.v25.i17.2133.
10
Management of Diarrhea in Patients With Carcinoid Syndrome.
Pancreas. 2019 Sep;48(8):961-972. doi: 10.1097/MPA.0000000000001384.

本文引用的文献

1
What Is Carcinoid Syndrome? A Critical Appraisal of Its Proposed Mediators.
Endocr Rev. 2024 May 7;45(3):351-360. doi: 10.1210/endrev/bnad035.
2
Recent Advances in the Diagnosis and Management of Carcinoid Syndrome.
Dis Mon. 2022 Jul;68(7):101304. doi: 10.1016/j.disamonth.2021.101304. Epub 2021 Dec 28.
3
Carcinoid Syndrome: A Review.
Cureus. 2020 Mar 5;12(3):e7186. doi: 10.7759/cureus.7186.
4
Carcinoid Syndrome: Updates and Review of Current Therapy.
Curr Treat Options Oncol. 2019 Jul 9;20(9):70. doi: 10.1007/s11864-019-0671-0.
5
Carcinoid syndrome: update on the pathophysiology and treatment.
Clinics (Sao Paulo). 2018 Aug 20;73(suppl 1):e490s. doi: 10.6061/clinics/2018/e490s.
6
Carcinoid-syndrome: recent advances, current status and controversies.
Curr Opin Endocrinol Diabetes Obes. 2018 Feb;25(1):22-35. doi: 10.1097/MED.0000000000000376.
7
Ga-DOTATOC Imaging of Neuroendocrine Tumors: A Systematic Review and Metaanalysis.
J Nucl Med. 2017 Sep;58(9):1452-1458. doi: 10.2967/jnumed.117.191197. Epub 2017 Mar 9.

文献AI研究员

20分钟写一篇综述,助力文献阅读效率提升50倍。

立即体验

用中文搜PubMed

大模型驱动的PubMed中文搜索引擎

马上搜索

文档翻译

学术文献翻译模型,支持多种主流文档格式。

立即体验