Suppr超能文献

抗磷脂综合征罕见并发症脑脊液鼻漏的管理

Management of cerebrospinal fluid rhinorrhea as a rare complication of antiphospholipid syndrome.

作者信息

Xian Elissa, Hardman Joel, Parker Geoffrey, Nirmalananda Arjuna

机构信息

Department of Neurosurgery, Royal Prince Alfred Hospital, Camperdown, New South Wales, Australia.

Department of Ear Nose and Throat, Royal Prince Alfred Hospital, Camperdown, New South Wales, Australia.

出版信息

Surg Neurol Int. 2024 Mar 1;15:61. doi: 10.25259/SNI_32_2023. eCollection 2024.

Abstract

BACKGROUND

Antiphospholipid syndrome is a complex autoimmune condition associated with the formation of recurrent thrombosis in any vascular bed throughout the body. Jugular vein thrombosis is very rare with only a 0.9% occurrence and is not typically associated with cerebrospinal rhinorrhea as a result of raised intracranial pressure.

CASE DESCRIPTION

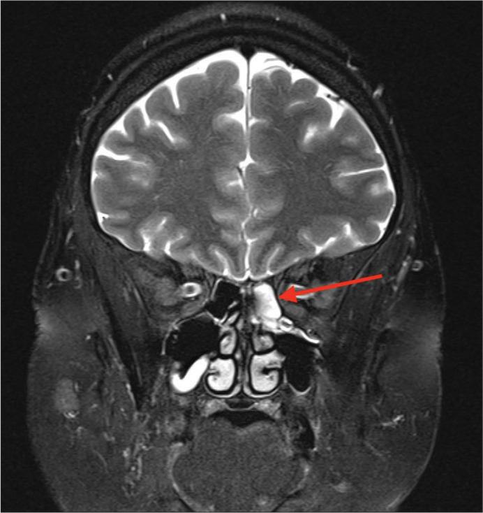
A 54-year-old patient presented with a 9-month history of cerebrospinal fluid (CSF) rhinorrhea and headache on a background of antiphospholipid syndrome. Investigations showed a superior vena cava (SVC) and right internal jugular vein (IJV) obstruction with moderately elevated intracranial venous pressures. Her magnetic resonance imaging (MRI) brain was consistent with a CSF leak. The patient underwent successful endovascular stenting of her obstructed SVC and right IJV followed by surgical repair of a herniating meningocele in the posterior left ethmoid air cells.

CONCLUSION

CSF rhinorrhea is uncommon and never previously reported associated with SVC thrombosis induced by antiphospholipid syndrome. A combination of endovascular techniques and surgical repair is recommended for this challenging presentation.

摘要

背景

抗磷脂综合征是一种复杂的自身免疫性疾病,与全身任何血管床反复形成血栓有关。颈静脉血栓形成非常罕见,发生率仅为0.9%,通常不会因颅内压升高而导致脑脊液鼻漏。

病例描述

一名54岁患者,有抗磷脂综合征病史,出现脑脊液鼻漏和头痛9个月。检查显示上腔静脉(SVC)和右颈内静脉(IJV)阻塞,颅内静脉压中度升高。她的脑部磁共振成像(MRI)与脑脊液漏相符。患者成功接受了阻塞的SVC和右IJV的血管内支架置入术,随后对左侧后筛窦气房的脑膜膨出进行了手术修复。

结论

脑脊液鼻漏并不常见,此前从未有与抗磷脂综合征引起的SVC血栓形成相关的报道。对于这种具有挑战性的表现,建议采用血管内技术和手术修复相结合的方法。

https://cdn.ncbi.nlm.nih.gov/pmc/blobs/3a4f/10927183/eb0e12665835/SNI-15-61-g001.jpg

文献AI研究员

20分钟写一篇综述,助力文献阅读效率提升50倍。

立即体验

用中文搜PubMed

大模型驱动的PubMed中文搜索引擎

马上搜索

文档翻译

学术文献翻译模型,支持多种主流文档格式。

立即体验