Suppr超能文献

梅克尔憩室内的胃石:病例报告及文献综述

Bezoar in Meckel's diverticulum: Case report and narrative review.

作者信息

Soh Guillaume Tcheutchoua, Ndong Abdourahmane, Diallo Adja Coumba, Tendeng Jacques Noel, Diao Mohamed Lamine, Konate Ibrahima

机构信息

Department of Surgery, Gaston Berger University, Saint-Louis, Senegal.

Department of Surgery, Gaston Berger University, Saint-Louis, Senegal.

出版信息

Int J Surg Case Rep. 2024 Apr;117:109512. doi: 10.1016/j.ijscr.2024.109512. Epub 2024 Mar 11.

Abstract

INTRODUCTION

Bezoars are a known cause of complications in Meckel's diverticulum. We present a case in which a bezoar in a Meckel's diverticulum resulted in intestinal obstruction. In addition, we conducted a narrative review to explore the association between Meckel's diverticulum and bezoars.

CASE PRESENTATION

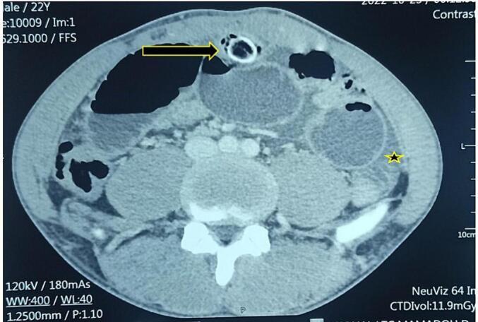
We present the case of a 22-year-old patient admitted for bowel obstruction persisting for three days and periumbilical tenderness. Abdominal CT tomography revealed a hyper dense circular structure with a diameter of 2 cm, small bowel distension of 41 mm, and free fluid. During surgical exploration, a Meckel diverticulum was found between the antimesenteric border of the small bowel and posterior wall of the umbilicus. The Meckel diverticulum was resected, and upon examination, it was found to contain a calcified phytobezoar. The postoperative course was uneventful.

DISCUSSION

The clinical and paraclinical presentation of bezoars in Meckel's diverticulum is nonspecific and diagnosis remains challenging despite improved diagnostic modalities. The association between Meckel's diverticulum and bezoars is often identified during surgery, as it is difficult to diagnose using CT scans. The choice between laparoscopic and open surgery depends on the patient's situation.

CONCLUSION

Diagnosing a bezoar in a Meckel's diverticulum remains challenging. Treatment involves surgery, and the choice of surgical approach depends on the context.

摘要

引言

胃石是梅克尔憩室并发症的已知病因。我们报告一例梅克尔憩室内胃石导致肠梗阻的病例。此外,我们进行了一项叙述性综述,以探讨梅克尔憩室与胃石之间的关联。

病例介绍

我们报告一例22岁患者,因肠梗阻持续三天且脐周压痛入院。腹部CT断层扫描显示一个直径2厘米的高密度圆形结构、小肠扩张至41毫米以及游离液体。在手术探查过程中,在小肠系膜对侧缘与脐后壁之间发现一个梅克尔憩室。切除该梅克尔憩室后检查发现其中含有一个钙化植物性胃石。术后过程顺利。

讨论

梅克尔憩室内胃石的临床和辅助检查表现不具有特异性,尽管诊断方式有所改进,但诊断仍然具有挑战性。梅克尔憩室与胃石之间的关联通常在手术中发现,因为使用CT扫描很难诊断。腹腔镜手术和开放手术的选择取决于患者的情况。

结论

诊断梅克尔憩室内的胃石仍然具有挑战性。治疗方法为手术,手术方式的选择取决于具体情况。

https://cdn.ncbi.nlm.nih.gov/pmc/blobs/4b14/10945273/5f7d80e7eca4/gr1.jpg

相似文献

1
Bezoar in Meckel's diverticulum: Case report and narrative review.
Int J Surg Case Rep. 2024 Apr;117:109512. doi: 10.1016/j.ijscr.2024.109512. Epub 2024 Mar 11.
2
Laparoscopic treatment of bowel obstruction due to a bezoar in a Meckel's diverticulum.
JSLS. 2011 Oct-Dec;15(4):562-4. doi: 10.4293/108680811X13176785204607.
3
A case of retroperitoneal abscess: A rare complication of Meckel's diverticulum.
Int J Surg Case Rep. 2017;41:150-153. doi: 10.1016/j.ijscr.2017.10.012. Epub 2017 Oct 14.
4
Torsion of Meckel's diverticulum as a cause of small bowel obstruction: A case report.
World J Gastrointest Surg. 2014 Oct 27;6(10):204-7. doi: 10.4240/wjgs.v6.i10.204.
5
Acute intestinal obstruction due to meckel's diverticulum: A case report and literature review.
Heliyon. 2024 Apr 30;10(9):e30514. doi: 10.1016/j.heliyon.2024.e30514. eCollection 2024 May 15.
6
Phytobezoar impaction in a Meckel's diverticulum; a rare cause of bowel obstruction: Case report and review of literature.
Int J Surg Case Rep. 2017;30:165-168. doi: 10.1016/j.ijscr.2016.10.070. Epub 2016 Nov 3.
7
A rare case of Meckel's diverticulum causing small bowel obstruction in a 50-year-old man.
Int J Surg Case Rep. 2020;68:107-110. doi: 10.1016/j.ijscr.2020.01.047. Epub 2020 Feb 6.
8
Meckel's diverticulum and bowel obstruction due to phytobezoar: a case report.
Pediatr Med Chir. 2016 Jun 27;38(2):117. doi: 10.4081/pmc.2016.117.
9
A case report of small bowel occlusion due to Meckel diverticulum causing a life-threatening condition.
Int J Surg Case Rep. 2023 Nov;112:108982. doi: 10.1016/j.ijscr.2023.108982. Epub 2023 Oct 24.
10
Incomplete common mesentery with Ladd's band and Meckel's diverticulum: A rare cause of small bowel obstruction.
Int J Surg Case Rep. 2023 May;106:108159. doi: 10.1016/j.ijscr.2023.108159. Epub 2023 Apr 11.

引用本文的文献

1
Small intestinal obstruction caused by the gastric bezoars in elderly diabetic patients: A case report.
Int J Surg Case Rep. 2025 Feb;127:110761. doi: 10.1016/j.ijscr.2024.110761. Epub 2024 Dec 23.

文献AI研究员

20分钟写一篇综述,助力文献阅读效率提升50倍。

立即体验

用中文搜PubMed

大模型驱动的PubMed中文搜索引擎

马上搜索

文档翻译

学术文献翻译模型,支持多种主流文档格式。

立即体验