Suppr超能文献

梅克尔憩室中的植物粪石嵌顿:肠梗阻的罕见病因:病例报告及文献复习

Phytobezoar impaction in a Meckel's diverticulum; a rare cause of bowel obstruction: Case report and review of literature.

作者信息

Hussein Bassem Abou, Khammas Ali, Al-Ozaibi Labib, Abdallah Alyaa, Busharar Hajer, Al-Mazrouei Alya, Badri Faisal

机构信息

General Surgery Department, Rashid Hospital, Dubai Health Authority, Dubai, United Arab Emirates.

General Surgery Department, Rashid Hospital, Dubai Health Authority, Dubai, United Arab Emirates.

出版信息

Int J Surg Case Rep. 2017;30:165-168. doi: 10.1016/j.ijscr.2016.10.070. Epub 2016 Nov 3.

Abstract

INTRODUCTION

Meckel's diverticulum is the most common anomaly of the gastrointestinal tract, occurring in 1-3% of the general population. The most common complication of Meckel's diverticulum is intestinal obstruction. In this report, we describe a rare cause of intestinal obstruction due to Meckel's; the phytobezoar. After thorough literature review, the authors found about ten individual reports of the same topic. In all these cases, diagnosis was established intra-operatively.

CASE PRESENTATION

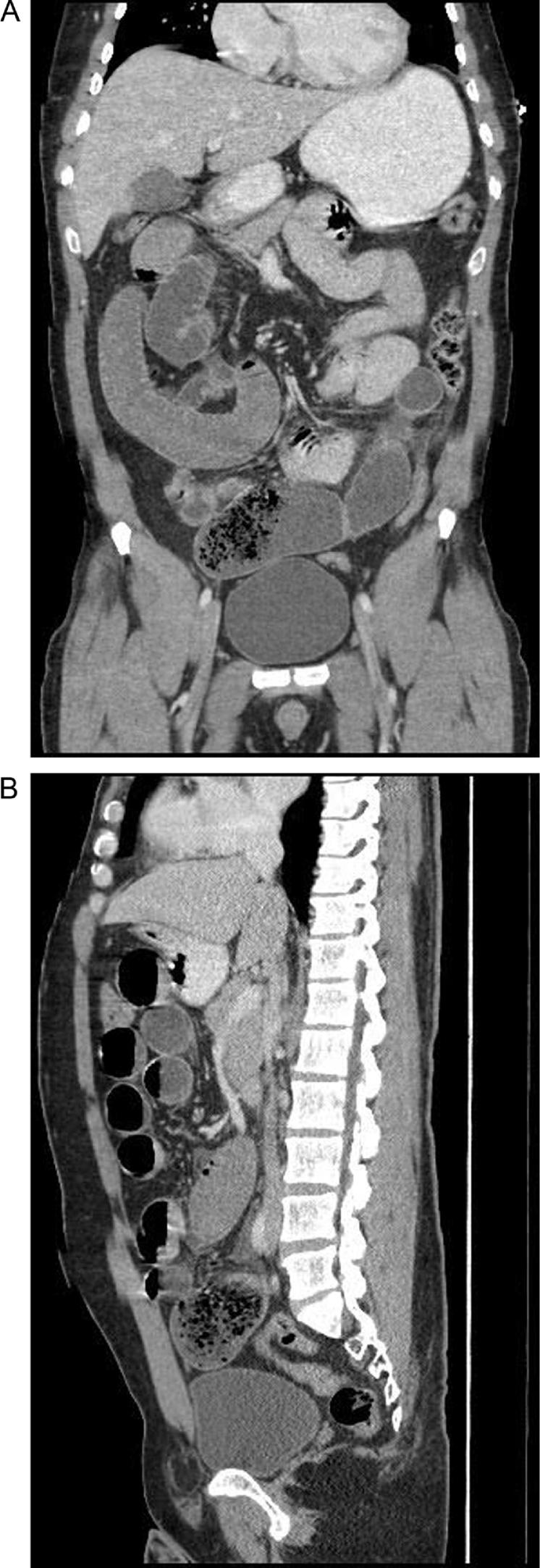
A forty-seven-year old male presented to the emergency department with a one-day history of abdominal pain associated with vomiting and constipation. Physical examination diagnostic tests revealed features of intestinal obstruction.

DISCUSSION

The lifetime risk of complications in patients with a Meckel'sdiverticulum is usually small and occurs only in up to 4%. In adults' intestinal obstruction is the most common complication (40%).

CONCLUSION

Complicated Meckel's diverticulum can have different clinical presentations and can cause bowel obstruction. An association with bezoars impaction is possible and it should be suspected in adult patients presenting with bowel obstruction of unknown causes especially those with high vegetarian diet.

摘要

引言

梅克尔憩室是胃肠道最常见的先天性畸形,在普通人群中的发生率为1% - 3%。梅克尔憩室最常见的并发症是肠梗阻。在本报告中,我们描述了一种由梅克尔憩室引起肠梗阻的罕见原因;植物粪石。经过全面的文献检索,作者发现了大约十篇关于同一主题的个案报道。在所有这些病例中,诊断均在手术中确定。

病例介绍

一名47岁男性因腹痛伴呕吐和便秘一天就诊于急诊科。体格检查和诊断性检查显示肠梗阻的特征。

讨论

梅克尔憩室患者发生并发症的终生风险通常较小,发生率仅高达4%。在成人中,肠梗阻是最常见的并发症(40%)。

结论

复杂的梅克尔憩室可表现出不同的临床症状,并可导致肠梗阻。有可能与粪石嵌顿有关,对于不明原因肠梗阻的成年患者,尤其是素食比例高的患者,应怀疑有这种情况。

https://cdn.ncbi.nlm.nih.gov/pmc/blobs/b594/5198632/6105b51d2743/gr1.jpg

文献检索

告别复杂PubMed语法,用中文像聊天一样搜索,搜遍4000万医学文献。AI智能推荐,让科研检索更轻松。

立即免费搜索

文件翻译

保留排版,准确专业,支持PDF/Word/PPT等文件格式,支持 12+语言互译。

免费翻译文档

深度研究

AI帮你快速写综述,25分钟生成高质量综述,智能提取关键信息,辅助科研写作。

立即免费体验