Suppr超能文献

自发性破裂致危及生命的纵隔混合性生殖细胞肿瘤:一例报告及治疗思考

Spontaneous rupture‑induced life‑threatening mediastinal mixed germ cell tumor: A case report and therapeutic considerations.

作者信息

Li Xiaosong, Xu Shenghan, Li Yunbin, Tang Yanping, Wang Kaiying, Lei Yumeng, Ma Jian, Li Jian

机构信息

Department of Thoracic Surgery, The Affiliated Hospital of Guizhou Medical University, Guiyang, Guizhou 550004, P.R. China.

Department of Urology, The People's Hospital of Liupanshui, Liupanshui, Guizhou 553001, P.R. China.

出版信息

Oncol Lett. 2024 Feb 28;27(4):183. doi: 10.3892/ol.2024.14316. eCollection 2024 Apr.

Abstract

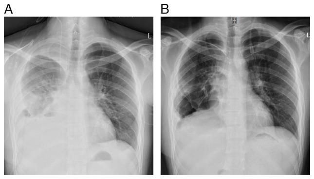
Spontaneous rupture and hemorrhage of mediastinal germ cell tumors is a rare occurrence. In the current report, the case of a 20-year-old male patient who was admitted with chest tightness and dyspnea is presented. An urgent chest CT scan revealed a large tumor in the right anterior mediastinum, measuring ~12 cm in diameter, with associated intratumoral hemorrhage. An emergency thoracotomy was performed to excise the lesion, which revealed that the bleeding was caused by a ruptured tumor. Postoperative pathological findings revealed a mediastinal mixed germ cell tumor consisting of four pathological types: Embryonal carcinoma, seminoma, yolk sac tumor and immature teratoma. Postoperatively, the patient showed marked improvement in the symptoms of dyspnea. However, the follow-up outcome was poor, and the patient succumbed 2 months after surgery. To the best of our knowledge, there are no reports of rupture and hemorrhage involving >4 mixed germ cell tumors. In the present report, the experience of the treatment of the patient is summarized, and literature was reviewed to improve clinicians' awareness of the disease.

摘要

纵隔生殖细胞肿瘤的自发性破裂和出血是一种罕见的情况。在本报告中,介绍了一名20岁男性患者因胸闷和呼吸困难入院的病例。紧急胸部CT扫描显示右前纵隔有一个大肿瘤,直径约12厘米,伴有肿瘤内出血。进行了急诊开胸手术以切除病变,结果显示出血是由肿瘤破裂引起的。术后病理结果显示为纵隔混合性生殖细胞肿瘤,由四种病理类型组成:胚胎癌、精原细胞瘤、卵黄囊瘤和未成熟畸胎瘤。术后,患者呼吸困难症状明显改善。然而,随访结果不佳,患者在手术后2个月死亡。据我们所知,尚无关于超过4种混合性生殖细胞肿瘤破裂和出血的报道。在本报告中,总结了该患者的治疗经验,并回顾了文献以提高临床医生对该疾病的认识。

https://cdn.ncbi.nlm.nih.gov/pmc/blobs/85c4/10929001/f4098964fa22/ol-27-04-14316-g00.jpg

文献AI研究员

20分钟写一篇综述,助力文献阅读效率提升50倍。

立即体验

用中文搜PubMed

大模型驱动的PubMed中文搜索引擎

马上搜索

文档翻译

学术文献翻译模型,支持多种主流文档格式。

立即体验