Suppr超能文献

耻骨骨折致膀胱延迟穿透引起的继发性膀胱结石:一例报告及文献复习

Secondary bladder stone caused by delayed penetration of the bladder by a pubic fracture: A case report and literature review.

作者信息

Wang Xinghao, Guo Xiao, Tang Zhiling, Ying Xiangjun, Tang Chenye, Shen Ruilin

机构信息

Jiaxing University Master Degree Cultivation Base, Zhejiang Chinese Medical University, Hangzhou, Zhejiang 310000, P.R. China.

Department of Urology, The Second Hospital of Jiaxing, Jiaxing, Zhejiang 314000, P.R. China.

出版信息

Exp Ther Med. 2024 Feb 27;27(4):167. doi: 10.3892/etm.2024.12455. eCollection 2024 Apr.

Abstract

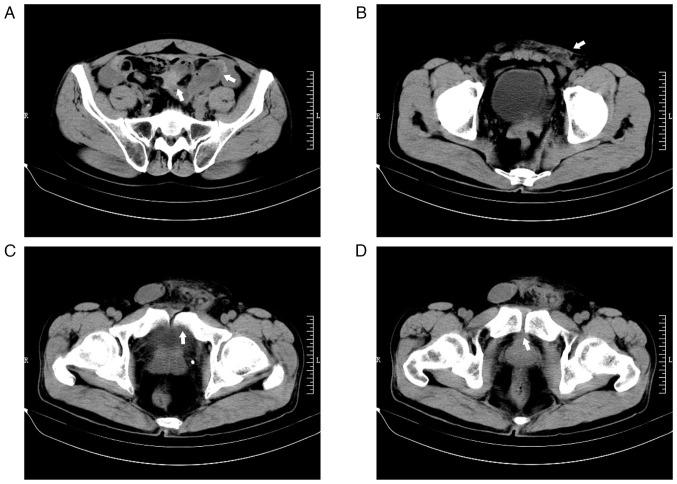
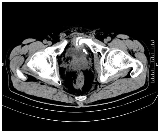
Pelvic fractures sometimes lead to injuries of the urinary bladder, which commonly present as gross hematuria, dysuria and lower abdominal pain. As a type of urinary stone, bladder stones are usually secondary to lower urinary tract obstruction, such as benign prostatic hyperplasia, urethral stricture, and neurogenic bladder. The present case report examines an unusual case of a delayed pubic fracture penetrating the bladder, which caused a secondary bladder stone. A 53-year-old man was first hospitalized at The Second Hospital of Jiaxing (Jiaxing, China) in January 2020 because of trauma-induced bleeding in the scalp and abdominal pain. The patient underwent abdominal exploration and partial bowel resection, and his condition stabilized after surgery. After discharge, the patient had regular outpatient check-ups every 2-3 weeks. However, after 3 months, in April 2020, the patient was readmitted to the hospital because of frequent urination, an urgent need for urination and dysuria. Abdominal computed tomography imaging and cystoscopy revealed a pubic fracture that had penetrated the bladder wall, accompanied by a bladder stone. Subsequently, cystolithotomy was performed, which provided significant relief of symptoms once the catheter was removed after 2 weeks. Since then, the patient has been followed up until January 2023 and had remained asymptomatic. Bladder stones caused by necrotic bone fragmentation are rare. Bladder injuries resulting from pelvic fractures can have delayed onset; therefore, clinicians should be aware of the possibility of urogenital injury in such patients. It is crucial for clinicians to comprehend the potential mechanisms involved, analyze the clinical data of patients, closely monitor their condition and implement appropriate treatment measures when necessary.

摘要

骨盆骨折有时会导致膀胱损伤,通常表现为肉眼血尿、排尿困难和下腹部疼痛。膀胱结石作为泌尿系统结石的一种,通常继发于下尿路梗阻,如良性前列腺增生、尿道狭窄和神经源性膀胱。本病例报告研究了一例罕见的耻骨骨折延迟穿透膀胱导致继发性膀胱结石的病例。一名53岁男性于2020年1月因创伤性头皮出血和腹痛首次入住嘉兴市第二医院(中国嘉兴)。患者接受了腹部探查和部分肠切除术,术后病情稳定。出院后,患者每2 - 3周进行一次定期门诊检查。然而,3个月后的2020年4月,患者因尿频、尿急和排尿困难再次入院。腹部计算机断层扫描成像和膀胱镜检查显示耻骨骨折穿透膀胱壁,并伴有膀胱结石。随后进行了膀胱切开取石术,术后2周拔除导尿管后症状明显缓解。此后,对患者进行随访直至2023年1月,患者一直无症状。由坏死骨碎片引起的膀胱结石很少见。骨盆骨折导致的膀胱损伤可能会延迟出现;因此,临床医生应意识到此类患者存在泌尿生殖系统损伤的可能性。临床医生理解其中潜在机制、分析患者临床数据、密切监测病情并在必要时采取适当治疗措施至关重要。

https://cdn.ncbi.nlm.nih.gov/pmc/blobs/58c5/10928999/1d6eaf1215ab/etm-27-04-12455-g00.jpg

文献AI研究员

20分钟写一篇综述,助力文献阅读效率提升50倍。

立即体验

用中文搜PubMed

大模型驱动的PubMed中文搜索引擎

马上搜索

文档翻译

学术文献翻译模型,支持多种主流文档格式。

立即体验