Developmental Biology Laboratory, Environmental Disease Research Center, Korea Research Institute of Bioscience and Biotechnology, Daejeon, 34141, Republic of Korea.
Stem Cell Research Laboratory, Immunotherapy Research Center, Korea Research Institute of Bioscience and Biotechnology, Daejeon, 34141, Republic of Korea.
Cell Mol Life Sci. 2024 Mar 15;81(1):142. doi: 10.1007/s00018-024-05161-y.
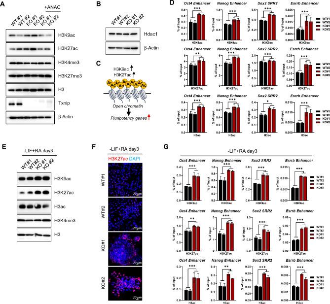
Thioredoxin interacting protein (Txnip) is a stress-responsive factor regulating Trx1 for redox balance and involved in diverse cellular processes including proliferation, differentiation, apoptosis, inflammation, and metabolism. However, the biological role of Txnip function in stem cell pluripotency has yet to be investigated. Here, we reveal the novel functions of mouse Txnip in cellular reprogramming and differentiation onset by involving in glucose-mediated histone acetylation and the regulation of Oct4, which is a fundamental component of the molecular circuitry underlying pluripotency. During reprogramming or PSC differentiation process, cellular metabolic and chromatin remodeling occur in order to change its cellular fate. Txnip knockout promotes induced pluripotency but hinders initial differentiation by activating pluripotency factors and promoting glycolysis. This alteration affects the intracellular levels of acetyl-coA, a final product of enhanced glycolysis, resulting in sustained histone acetylation on active PSC gene regions. Moreover, Txnip directly interacts with Oct4, thereby repressing its activity and consequently deregulating Oct4 target gene transcriptions. Our work suggests that control of Txnip expression is crucial for cell fate transitions by modulating the entry and exit of pluripotency.
硫氧还蛋白相互作用蛋白(Txnip)是一种应激反应因子,可调节 Trx1 的氧化还原平衡,参与多种细胞过程,包括增殖、分化、凋亡、炎症和代谢。然而,Txnip 功能在干细胞多能性中的生物学作用尚未得到研究。在这里,我们通过参与葡萄糖介导的组蛋白乙酰化和 Oct4 的调节,揭示了小鼠 Txnip 在细胞重编程和分化起始中的新功能,Oct4 是多能性相关分子电路的基本组成部分。在重编程或 PSC 分化过程中,细胞代谢和染色质重塑发生,以改变其细胞命运。Txnip 敲除通过激活多能性因子和促进糖酵解来促进诱导多能性,但阻碍初始分化。这种改变会影响乙酰辅酶 A 的细胞内水平,乙酰辅酶 A 是增强糖酵解的最终产物,导致活跃的 PSC 基因区域持续的组蛋白乙酰化。此外,Txnip 与 Oct4 直接相互作用,从而抑制其活性,进而使 Oct4 靶基因转录失调。我们的工作表明,通过调节多能性的进入和退出,控制 Txnip 的表达对于细胞命运转变至关重要。