• 文献检索
  • 文档翻译
  • 深度研究
  • 学术资讯
  • Suppr Zotero 插件Zotero 插件
  • 邀请有礼
  • 套餐&价格
  • 历史记录
应用&插件
Suppr Zotero 插件Zotero 插件浏览器插件Mac 客户端Windows 客户端微信小程序
定价
高级版会员购买积分包购买API积分包
服务
文献检索文档翻译深度研究API 文档MCP 服务
关于我们
关于 Suppr公司介绍联系我们用户协议隐私条款
关注我们

Suppr 超能文献

核心技术专利:CN118964589B侵权必究
粤ICP备2023148730 号-1Suppr @ 2026

文献检索

告别复杂PubMed语法,用中文像聊天一样搜索,搜遍4000万医学文献。AI智能推荐,让科研检索更轻松。

立即免费搜索

文件翻译

保留排版,准确专业,支持PDF/Word/PPT等文件格式,支持 12+语言互译。

免费翻译文档

深度研究

AI帮你快速写综述,25分钟生成高质量综述,智能提取关键信息,辅助科研写作。

立即免费体验

设计并将肽-共聚物缀合物自组装成纳米颗粒水凝胶,用于糖尿病伤口愈合。

Design and Self-Assembly of Peptide-Copolymer Conjugates into Nanoparticle Hydrogel for Wound Healing in Diabetes.

机构信息

School of Pharmacy, Guangdong Pharmaceutical University, Guangzhou, People's Republic of China.

The Innovation Team for Integrating Pharmacy with Entrepreneurship, Guangdong Pharmaceutical University, Guangzhou, People's Republic of China.

出版信息

Int J Nanomedicine. 2024 Mar 9;19:2487-2506. doi: 10.2147/IJN.S452915. eCollection 2024.

DOI:10.2147/IJN.S452915
PMID:38486937
原文链接:https://pmc.ncbi.nlm.nih.gov/articles/PMC10938256/
Abstract

BACKGROUND

Delayed wound healing in skin injuries has become a significant problem in clinics, seriously affecting and even threatening life and health. Recently, research interest has increased in developing wound dressings containing bioactive compounds capable of improving outcomes for complex healing needs.

METHODS

In this study, -loaded nanoparticles (Pue-NPs) were prepared using the cell-penetrating peptide-poly (lactic-co-glycolic acid) (CPP-PLGA) as a drug carrier by the emulsified solvent evaporation method. Then, they were added into poly (acrylic acid) to obtain a self-assembled nanocomposite hydrogels (SANHs) drug delivery system using the co-polymerization method. The particle size, zeta potential, and micromorphology of Pue-NPs were measured; the appearance, mechanical properties, adhesive strength, and biological activity of SANHs were performed. Finally, the potential of SANHs for wound healing was further evaluated in streptozotocin-induced diabetic mice.

RESULTS

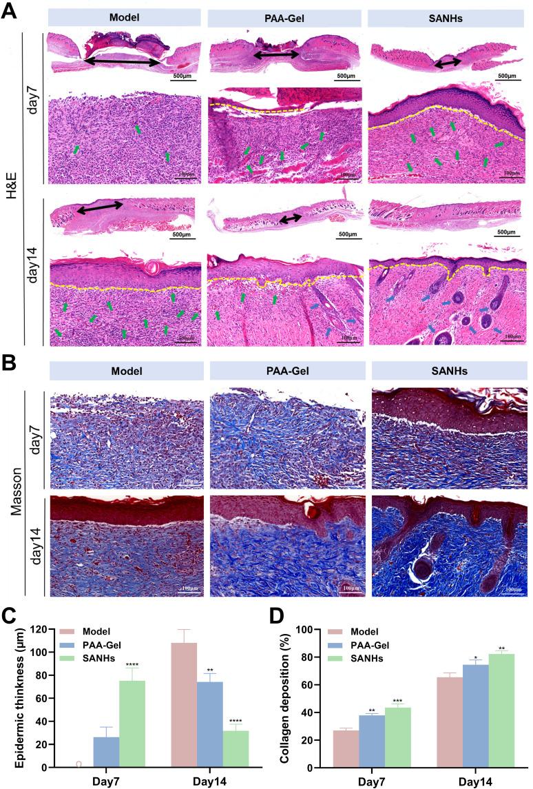
Pue-NPs were regularly spherical, with an average particle size of 134.57 ± 1.42 nm and a zeta potential of 2.14 ± 0.78 mV. SANHs was colorless and transparent with a honeycomb-like porous structure and had an excellent swelling ratio (917%), water vapor transmission rate (3077 g·m·day), mechanical properties (Young's modulus of 18 kPa, elongation at break of 307%), and adhesive strength (15.5 kPa). SANHs exhibited sustained release of Pue over 48h, with a cumulative release of 55.60 ± 6.01%. In vitro tests revealed that the SANHs presented a 92.22% antibacterial rate against after 4h, and a 61.91% scavenging rate of 1.1-diphenyl-2-trinitrophenylhydrazine (DPPH) radical. In vivo experiments showed that SANHs accelerated wound repair by reducing the inflammatory response at the wound site, promoting angiogenesis, and facilitating epidermal regeneration and collagen deposition.

CONCLUSION

In conclusion, we successfully prepared SANHs. Our results show that SANHs have excellent performance and improves wound healing in diabetic mice model, indicating that it can be used to develop an effective strategy for the treatment of diabetic wounds.

摘要

背景

皮肤损伤的延迟愈合已成为临床中的一个重大问题,严重影响甚至威胁生命和健康。最近,人们对开发含有能够改善复杂愈合需求的生物活性化合物的伤口敷料的研究兴趣日益增加。

方法

在这项研究中,采用细胞穿透肽-聚(乳酸-共-乙醇酸)(CPP-PLGA)作为药物载体,通过乳化溶剂蒸发法制备负载紫杉醇的纳米粒子(Pue-NPs)。然后,通过共聚法将其添加到聚丙烯酸中,得到自组装纳米复合水凝胶(SANHs)给药系统。测量了 Pue-NPs 的粒径、Zeta 电位和微观形态;对 SANHs 的外观、力学性能、粘附强度和生物活性进行了研究。最后,在链脲佐菌素诱导的糖尿病小鼠中进一步评价了 SANHs 促进伤口愈合的潜力。

结果

Pue-NPs 呈规则球形,平均粒径为 134.57±1.42nm,Zeta 电位为 2.14±0.78mV。SANHs 呈无色透明状,具有蜂窝状多孔结构,具有优异的溶胀比(917%)、水蒸气透过率(3077g·m·day)、力学性能(杨氏模量 18kPa,断裂伸长率 307%)和粘附强度(15.5kPa)。SANHs 可在 48h 内持续释放 Pue,累积释放率为 55.60±6.01%。体外试验表明,SANHs 对金黄色葡萄球菌的抑菌率在 4h 时达到 92.22%,对 1.1-二苯基-2-三硝基苯肼(DPPH)自由基的清除率达到 61.91%。体内实验表明,SANHs 通过减少伤口部位的炎症反应、促进血管生成以及促进表皮再生和胶原沉积,加速伤口修复。

结论

综上所述,我们成功制备了 SANHs。研究结果表明,SANHs 具有优异的性能,可促进糖尿病小鼠模型的伤口愈合,表明其可用于开发治疗糖尿病伤口的有效策略。

https://cdn.ncbi.nlm.nih.gov/pmc/blobs/193d/10938256/9295170d5d8f/IJN-19-2487-g0010.jpg
https://cdn.ncbi.nlm.nih.gov/pmc/blobs/193d/10938256/246ab9258499/IJN-19-2487-g0001.jpg
https://cdn.ncbi.nlm.nih.gov/pmc/blobs/193d/10938256/41515626dd8d/IJN-19-2487-g0002.jpg
https://cdn.ncbi.nlm.nih.gov/pmc/blobs/193d/10938256/d8e09ade9252/IJN-19-2487-g0003.jpg
https://cdn.ncbi.nlm.nih.gov/pmc/blobs/193d/10938256/16681356f67a/IJN-19-2487-g0004.jpg
https://cdn.ncbi.nlm.nih.gov/pmc/blobs/193d/10938256/b688d334d447/IJN-19-2487-g0005.jpg
https://cdn.ncbi.nlm.nih.gov/pmc/blobs/193d/10938256/b5175d1d34dd/IJN-19-2487-g0006.jpg
https://cdn.ncbi.nlm.nih.gov/pmc/blobs/193d/10938256/81384a34ee58/IJN-19-2487-g0007.jpg
https://cdn.ncbi.nlm.nih.gov/pmc/blobs/193d/10938256/a1c1f73a4c63/IJN-19-2487-g0008.jpg
https://cdn.ncbi.nlm.nih.gov/pmc/blobs/193d/10938256/5dfffc715db0/IJN-19-2487-g0009.jpg
https://cdn.ncbi.nlm.nih.gov/pmc/blobs/193d/10938256/9295170d5d8f/IJN-19-2487-g0010.jpg
https://cdn.ncbi.nlm.nih.gov/pmc/blobs/193d/10938256/246ab9258499/IJN-19-2487-g0001.jpg
https://cdn.ncbi.nlm.nih.gov/pmc/blobs/193d/10938256/41515626dd8d/IJN-19-2487-g0002.jpg
https://cdn.ncbi.nlm.nih.gov/pmc/blobs/193d/10938256/d8e09ade9252/IJN-19-2487-g0003.jpg
https://cdn.ncbi.nlm.nih.gov/pmc/blobs/193d/10938256/16681356f67a/IJN-19-2487-g0004.jpg
https://cdn.ncbi.nlm.nih.gov/pmc/blobs/193d/10938256/b688d334d447/IJN-19-2487-g0005.jpg
https://cdn.ncbi.nlm.nih.gov/pmc/blobs/193d/10938256/b5175d1d34dd/IJN-19-2487-g0006.jpg
https://cdn.ncbi.nlm.nih.gov/pmc/blobs/193d/10938256/81384a34ee58/IJN-19-2487-g0007.jpg
https://cdn.ncbi.nlm.nih.gov/pmc/blobs/193d/10938256/a1c1f73a4c63/IJN-19-2487-g0008.jpg
https://cdn.ncbi.nlm.nih.gov/pmc/blobs/193d/10938256/5dfffc715db0/IJN-19-2487-g0009.jpg
https://cdn.ncbi.nlm.nih.gov/pmc/blobs/193d/10938256/9295170d5d8f/IJN-19-2487-g0010.jpg

相似文献

1
Design and Self-Assembly of Peptide-Copolymer Conjugates into Nanoparticle Hydrogel for Wound Healing in Diabetes.设计并将肽-共聚物缀合物自组装成纳米颗粒水凝胶,用于糖尿病伤口愈合。
Int J Nanomedicine. 2024 Mar 9;19:2487-2506. doi: 10.2147/IJN.S452915. eCollection 2024.
2
Preparation of Ultra-Small Copper Nanoparticles-Loaded Self-Healing Hydrogels with Antibacterial, Inflammation-Suppressing and Angiogenesis-Enhancing Properties for Promoting Diabetic Wound Healing.载超小铜纳米粒子的自修复水凝胶的制备及其具有抗菌、抑制炎症和促进血管生成的特性,可促进糖尿病伤口愈合。
Int J Nanomedicine. 2023 Jun 19;18:3339-3358. doi: 10.2147/IJN.S399933. eCollection 2023.
3
Antibacterial adhesive self-healing hydrogels to promote diabetic wound healing.抗菌黏附自修复水凝胶促进糖尿病伤口愈合。
Acta Biomater. 2022 Jul 1;146:119-130. doi: 10.1016/j.actbio.2022.04.041. Epub 2022 Apr 26.
4
More natural more better: triple natural anti-oxidant puerarin/ferulic acid/polydopamine incorporated hydrogel for wound healing.更天然更好:三重复合天然抗氧化剂葛根素/阿魏酸/聚多巴胺水凝胶促进伤口愈合。
J Nanobiotechnology. 2021 Aug 11;19(1):237. doi: 10.1186/s12951-021-00973-7.
5
Adhesive Hemostatic Conducting Injectable Composite Hydrogels with Sustained Drug Release and Photothermal Antibacterial Activity to Promote Full-Thickness Skin Regeneration During Wound Healing.具有持续药物释放和光热抗菌活性的黏附性止血导电注射型复合水凝胶,可促进伤口愈合过程中的全层皮肤再生。
Small. 2019 Mar;15(12):e1900046. doi: 10.1002/smll.201900046. Epub 2019 Feb 20.
6
In situ gel-forming AP-57 peptide delivery system for cutaneous wound healing.用于皮肤创伤愈合的原位凝胶形成 AP-57 肽递药系统。
Int J Pharm. 2015 Nov 10;495(1):560-571. doi: 10.1016/j.ijpharm.2015.09.005. Epub 2015 Sep 9.
7
A hybrid hydrogel constructed using drug loaded mesoporous silica and multiple response copolymer as an intelligent dressing for wound healing of diabetic foot ulcers.一种使用载药介孔硅和多重响应性共聚物构建的杂化水凝胶,作为治疗糖尿病足溃疡的智能敷料。
J Mater Chem B. 2023 Jun 7;11(22):4922-4933. doi: 10.1039/d3tb00395g.
8
A multifunctional nanocomposite spray dressing of Kappa-carrageenan-polydopamine modified ZnO/L-glutamic acid for diabetic wounds.一种多功能纳米复合喷雾敷料,由 Kappa-卡拉胶-聚多巴胺修饰的 ZnO/L-谷氨酸组成,用于治疗糖尿病伤口。
Mater Sci Eng C Mater Biol Appl. 2020 Jun;111:110837. doi: 10.1016/j.msec.2020.110837. Epub 2020 Mar 12.
9
Cell recruiting chemokine-loaded sprayable gelatin hydrogel dressings for diabetic wound healing.载细胞募集趋化因子的喷雾型明胶水凝胶敷料用于糖尿病创面愈合。
Acta Biomater. 2016 Jul 1;38:59-68. doi: 10.1016/j.actbio.2016.04.030. Epub 2016 Apr 19.
10
[Preparation and roles of sliver-loaded viscous hydrogel in healing of full-thickness skin defect wounds with bacterial colonization in mice].[载银粘性水凝胶在小鼠伴有细菌定植的全层皮肤缺损创面愈合中的制备及作用]
Zhonghua Shao Shang Za Zhi. 2021 Nov 20;37(11):1036-1047. doi: 10.3760/cma.j.cn501120-20210906-00304.

引用本文的文献

1
Gallic Acid Nanocrystal Hydrogel: A Novel Strategy for Promoting Wound Healing and Inhibiting Scar Formation.没食子酸纳米晶水凝胶:促进伤口愈合和抑制瘢痕形成的新策略。
Int J Nanomedicine. 2025 Apr 11;20:4607-4626. doi: 10.2147/IJN.S514961. eCollection 2025.
2
Puerarin: a hepatoprotective drug from bench to bedside.葛根素:一种从实验室到临床的保肝药物。
Chin Med. 2024 Oct 8;19(1):139. doi: 10.1186/s13020-024-01011-y.

本文引用的文献

1
Sprayed PAA-CaO nanoparticles combined with calcium ions and reactive oxygen species for antibacterial and wound healing.喷雾状的聚(丙烯酸)-氧化钙纳米颗粒联合钙离子与活性氧用于抗菌和伤口愈合。
Regen Biomater. 2023 Aug 21;10:rbad071. doi: 10.1093/rb/rbad071. eCollection 2023.
2
Adhesive injectable cellulose-based hydrogels with rapid self-healing and sustained drug release capability for promoting wound healing.具有快速自愈和持续药物释放能力的可注射纤维素基水凝胶用于促进伤口愈合。
Carbohydr Polym. 2023 Nov 15;320:121235. doi: 10.1016/j.carbpol.2023.121235. Epub 2023 Jul 26.
3
Polyacrylic acid/ polyvinylpyrrolidone hydrogel wound dressing containing zinc oxide nanoparticles promote wound healing in a rat model of excision injury.
含氧化锌纳米颗粒的聚丙烯酸/聚乙烯吡咯烷酮水凝胶伤口敷料促进切除损伤大鼠模型的伤口愈合。
Heliyon. 2023 Aug 17;9(8):e19230. doi: 10.1016/j.heliyon.2023.e19230. eCollection 2023 Aug.
4
Sodium alginate/poly(vinyl alcohol)/taxifolin nanofiber mat promoting diabetic wound healing by modulating the inflammatory response, angiogenesis, and skin flora.藻酸钠/聚乙烯醇/山柰酚纳米纤维垫通过调节炎症反应、血管生成和皮肤菌群促进糖尿病伤口愈合。
Int J Biol Macromol. 2023 Dec 1;252:126530. doi: 10.1016/j.ijbiomac.2023.126530. Epub 2023 Aug 25.
5
Bacterial cellulose-based composites as vehicles for dermal and transdermal drug delivery: A review.基于细菌纤维素的复合材料作为经皮和透皮给药的载体:综述。
Int J Biol Macromol. 2023 Jul 1;242(Pt 3):124955. doi: 10.1016/j.ijbiomac.2023.124955. Epub 2023 May 26.
6
Breakthrough treatments for accelerated wound healing.突破性疗法加速伤口愈合。
Sci Adv. 2023 May 19;9(20):eade7007. doi: 10.1126/sciadv.ade7007. Epub 2023 May 17.
7
Puerarin: a potential natural neuroprotective agent for neurological disorders.葛根素:一种有潜力的治疗神经障碍的天然神经保护剂。
Biomed Pharmacother. 2023 Jun;162:114581. doi: 10.1016/j.biopha.2023.114581. Epub 2023 Mar 24.
8
Responsive multifunctional hydrogels emulating the chronic wounds healing cascade for skin repair.模拟慢性伤口愈合级联反应以促进皮肤修复的响应性多功能水凝胶。
J Control Release. 2023 Feb;354:821-834. doi: 10.1016/j.jconrel.2023.01.049. Epub 2023 Jan 30.
9
Polydopamine-Reinforced Hemicellulose-Based Multifunctional Flexible Hydrogels for Human Movement Sensing and Self-Powered Transdermal Drug Delivery.用于人体运动传感和自供电透皮给药的聚多巴胺增强半纤维素基多功能柔性水凝胶
ACS Appl Mater Interfaces. 2023 Feb 1;15(4):5883-5896. doi: 10.1021/acsami.2c19949. Epub 2023 Jan 23.
10
Puerarin improves diabetic wound healing via regulation of macrophage M2 polarization phenotype.葛根素通过调节巨噬细胞M2极化表型促进糖尿病伤口愈合。
Burns Trauma. 2022 Dec 22;10:tkac046. doi: 10.1093/burnst/tkac046. eCollection 2022.