Harvard-MIT Division of Health Sciences and Technology, Harvard Medical School and Massachusetts Institute of Technology, Cambridge, MA, United States of America.
Department of Electrical Engineering and Computer Science and Research Laboratory of Electronics, Massachusetts Institute of Technology, Cambridge, MA, United States of America.
PLoS One. 2024 Mar 15;19(3):e0299506. doi: 10.1371/journal.pone.0299506. eCollection 2024.
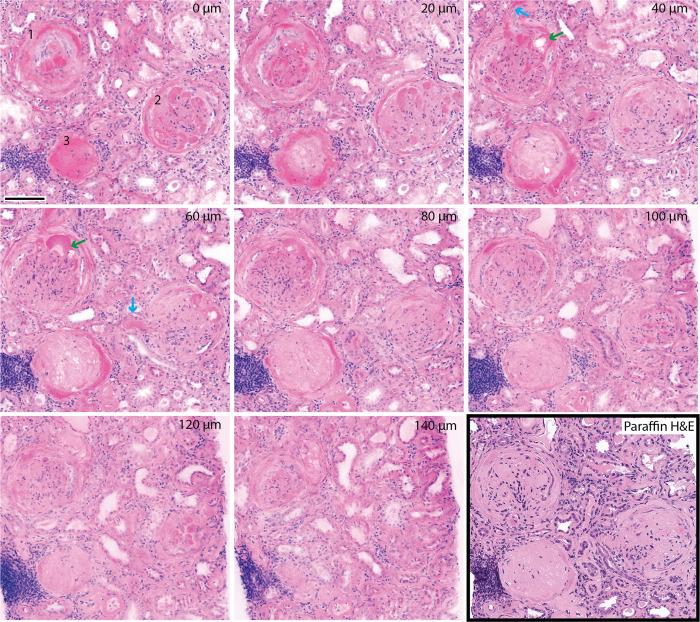
Thorough examination of renal biopsies may improve understanding of renal disease. Imaging of renal biopsies with fluorescence nonlinear microscopy (NLM) and optical clearing enables three-dimensional (3D) visualization of pathology without microtome sectioning. Archival renal paraffin blocks from 12 patients were deparaffinized and stained with Hoechst and Eosin for fluorescent nuclear and cytoplasmic/stromal contrast, then optically cleared using benzyl alcohol benzyl benzoate (BABB). NLM images of entire biopsy fragments (thickness range 88-660 μm) were acquired using NLM with fluorescent signals mapped to an H&E color scale. Cysts, glomeruli, exudative lesions, and Kimmelstiel-Wilson nodules were segmented in 3D and their volumes, diameters, and percent composition could be obtained. The glomerular count on 3D NLM volumes was high indicating that archival blocks could be a vast tissue resource to enable larger-scale retrospective studies. Rapid optical clearing and NLM imaging enables more thorough biopsy examination and is a promising technique for analysis of archival paraffin blocks.
对肾活检进行彻底检查可能有助于加深对肾脏疾病的理解。利用荧光非线性显微镜(NLM)和光学透明化技术对肾活检进行成像,可以在不进行切片的情况下实现病理学的三维可视化。对 12 名患者的存档肾石蜡块进行脱蜡和 Hoechst 和 Eosin 染色,以获得荧光核和细胞质/基质对比,然后使用苯甲醇苯甲酸苄酯(BABB)进行光学透明化。使用 NLM 采集整个活检片段(厚度范围 88-660 μm)的 NLM 图像,将荧光信号映射到 H&E 颜色标度。对 3D 中的囊肿、肾小球、渗出性病变和 Kimmelstiel-Wilson 结节进行分割,并获得它们的体积、直径和百分组成。3D NLM 体积上的肾小球计数很高,表明存档块可以成为一个巨大的组织资源,以实现更大规模的回顾性研究。快速的光学透明化和 NLM 成像可以使活检检查更彻底,是分析存档石蜡块的一种很有前途的技术。