Suppr超能文献

使用落射荧光成像的虚拟苏木精和伊红透照显微镜检查

Virtual Hematoxylin and Eosin Transillumination Microscopy Using Epi-Fluorescence Imaging.

作者信息

Giacomelli Michael G, Husvogt Lennart, Vardeh Hilde, Faulkner-Jones Beverly E, Hornegger Joachim, Connolly James L, Fujimoto James G

机构信息

Department of Electrical Engineering and Computer Science and Research Laboratory of Electronics, Massachusetts Institute of Technology, Cambridge, Massachusetts, 02139, United States of America.

Pattern Recognition Lab, Friedrich-Alexander University Erlangen-Nürnberg (FAU), Erlangen-Nürnberg, Germany.

出版信息

PLoS One. 2016 Aug 8;11(8):e0159337. doi: 10.1371/journal.pone.0159337. eCollection 2016.

Abstract

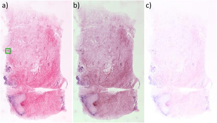
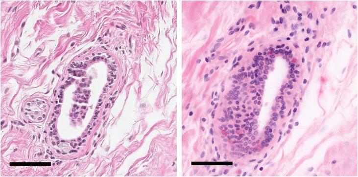
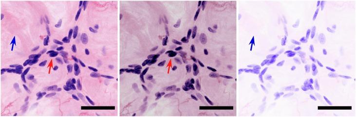
We derive a physically realistic model for the generation of virtual transillumination, white light microscopy images using epi-fluorescence measurements from thick, unsectioned tissue. We demonstrate this technique by generating virtual transillumination H&E images of unsectioned human breast tissue from epi-fluorescence multiphoton microscopy data. The virtual transillumination algorithm is shown to enable improved contrast and color accuracy compared with previous color mapping methods. Finally, we present an open source implementation of the algorithm in OpenGL, enabling real-time GPU-based generation of virtual transillumination microscopy images using conventional fluorescence microscopy systems.

摘要

我们从厚的、未切片组织的落射荧光测量中,推导出一种用于生成虚拟透照白光显微镜图像的物理现实模型。我们通过从落射荧光多光子显微镜数据生成未切片的人乳腺组织的虚拟透照苏木精和伊红(H&E)图像来演示该技术。与以前的颜色映射方法相比,虚拟透照算法显示出能够提高对比度和颜色准确性。最后,我们展示了该算法在OpenGL中的开源实现,能够使用传统荧光显微镜系统基于GPU实时生成虚拟透照显微镜图像。

https://cdn.ncbi.nlm.nih.gov/pmc/blobs/11dc/4976978/1b1fe8a6905c/pone.0159337.g001.jpg

文献AI研究员

20分钟写一篇综述,助力文献阅读效率提升50倍。

立即体验

用中文搜PubMed

大模型驱动的PubMed中文搜索引擎

马上搜索

文档翻译

学术文献翻译模型,支持多种主流文档格式。

立即体验