Suppr超能文献

股骨头无菌性坏死:皮质类固醇治疗与长期新冠综合征的影响

Aseptic Osteonecrosis of the Femoral Head: The Effect of Corticosteroid Therapy and Long COVID Syndrome.

作者信息

Darraz Sohayb, Omar Mokhtari, Lachkar Adnane, Abdeljaouad Najib, Yacoubi Hicham

机构信息

Orthopedics Department B, Centre Hospitalier Universitaire (CHU) Mohammed VI Oujda, Oujda, MAR.

Faculty of Medicine and Pharmacy, Mohammed First University, Oujda, MAR.

出版信息

Cureus. 2024 Feb 16;16(2):e54327. doi: 10.7759/cureus.54327. eCollection 2024 Feb.

Abstract

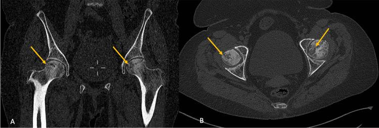
SARS‑CoV‑2 infection remains a hot topic; it is characterized by its multi-systemic involvement. Corticosteroid intake has been the subject of worldwide attention as a potentially effective treatment against coronavirus disease 2019 (COVID-19). Corticosteroids are registered on the WHO list of essential medicines, easily accessible for a low price, and particularly useful for different categories of people. The authors highlight the impact of corticosteroid administration for COVID-19 treatment on the occurrence of aseptic osteonecrosis in the femoral head. They also examine the pace of onset in comparison to corticosteroid usage unrelated to COVID-19. This article presents a patient with osteonecrosis of the femoral head after taking corticosteroid therapy in the treatment of COVID-19. The dose taken by the patient is 90 mg of dexamethasone equivalent to 600 mg of prednisone. The patient experienced the onset of OTA, and the duration of development was three months, indicating a relatively brief period. Comparison was made with data from the literature from 6 months to 1 year after taking corticosteroids in a context outside of COVID-19.

摘要

严重急性呼吸综合征冠状病毒2型(SARS-CoV-2)感染仍是一个热门话题;其特点是多系统受累。作为一种针对2019冠状病毒病(COVID-19)的潜在有效治疗方法,服用皮质类固醇一直是全球关注的焦点。皮质类固醇被列入世界卫生组织基本药物清单,价格低廉且易于获取,对不同人群尤其有用。作者强调了COVID-19治疗中使用皮质类固醇对股骨头无菌性骨坏死发生的影响。他们还与与COVID-19无关的皮质类固醇使用情况相比,研究了发病速度。本文介绍了一名在COVID-19治疗中接受皮质类固醇治疗后发生股骨头坏死的患者。患者服用的剂量为90毫克地塞米松,相当于600毫克泼尼松。患者出现了骨坏死(OTA),发展持续时间为三个月,表明时间相对较短。与COVID-19以外情况下服用皮质类固醇后6个月至1年的文献数据进行了比较。

https://cdn.ncbi.nlm.nih.gov/pmc/blobs/d285/10944692/1874c1f5511d/cureus-0016-00000054327-i01.jpg

文献AI研究员

20分钟写一篇综述,助力文献阅读效率提升50倍。

立即体验

用中文搜PubMed

大模型驱动的PubMed中文搜索引擎

马上搜索

文档翻译

学术文献翻译模型,支持多种主流文档格式。

立即体验