Department of Cellular, Computational and Integrative Biology (CIBIO), University of Trento, 38123, Trento, Italy.
The South Australian Immunogenomics Cancer Institute, Faculty of Medicine Nursing and Medical Sciences, The University of Adelaide, Adelaide, Australia.
Nat Commun. 2024 Mar 19;15(1):2198. doi: 10.1038/s41467-024-46524-0.
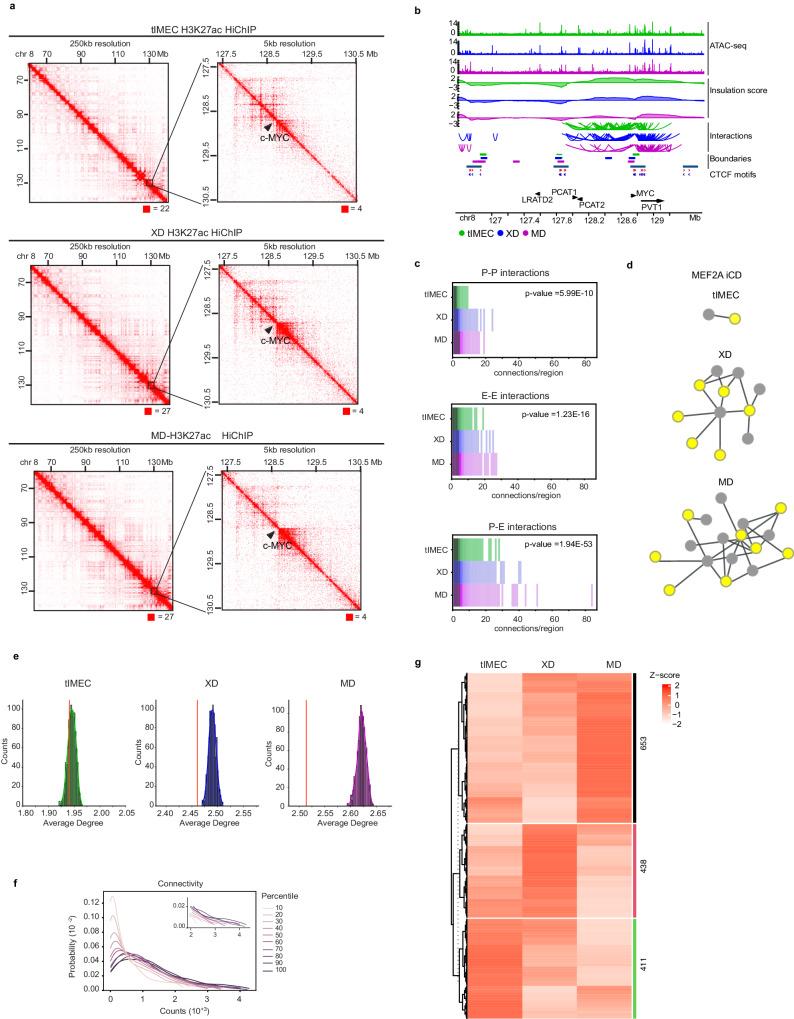
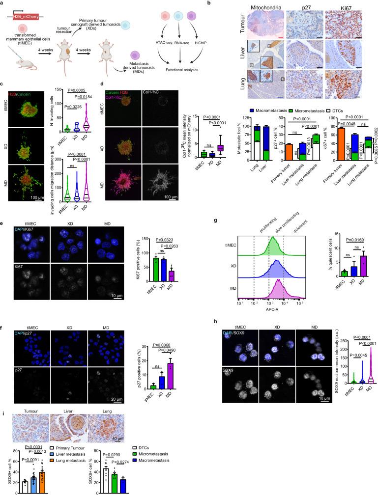
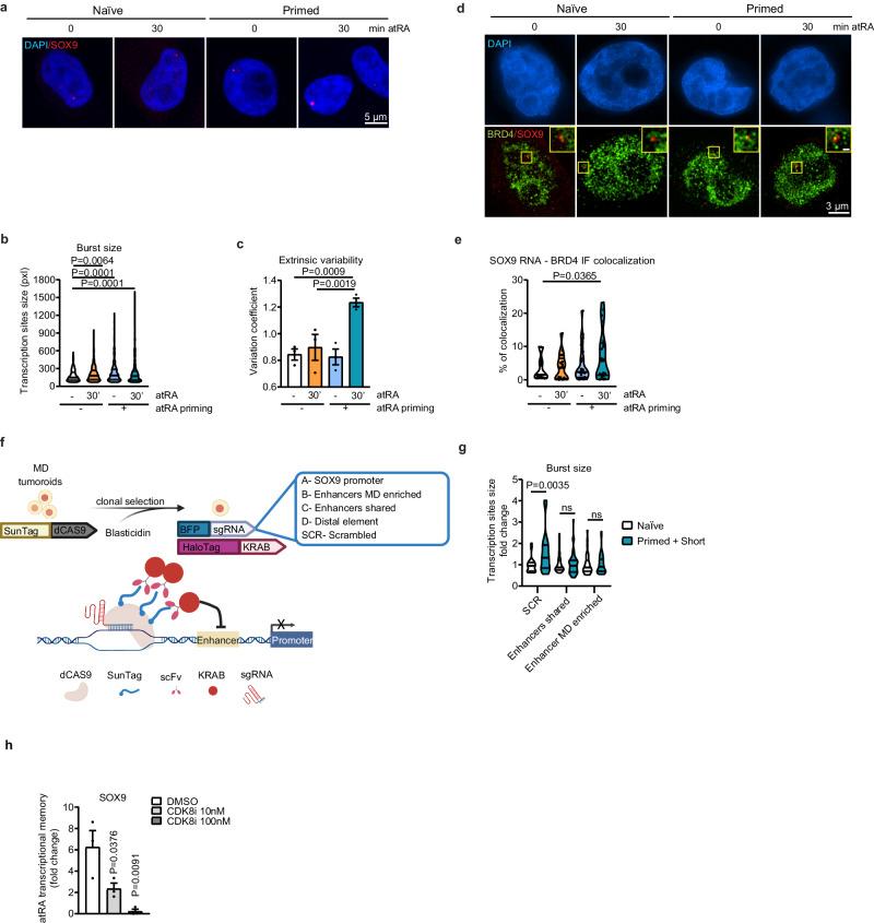
Metastasis arises from disseminated tumour cells (DTCs) that are characterized by intrinsic phenotypic plasticity and the capability of seeding to secondary organs. DTCs can remain latent for years before giving rise to symptomatic overt metastasis. In this context, DTCs fluctuate between a quiescent and proliferative state in response to systemic and microenvironmental signals including immune-mediated surveillance. Despite its relevance, how intrinsic mechanisms sustain DTCs plasticity has not been addressed. By interrogating the epigenetic state of metastatic cells, we find that tumour progression is coupled with the activation of oncogenic enhancers that are organized in variable interconnected chromatin domains. This spatial chromatin context leads to the activation of a robust transcriptional response upon repeated exposure to retinoic acid (RA). We show that this adaptive mechanism sustains the quiescence of DTCs through the activation of the master regulator SOX9. Finally, we determine that RA-stimulated transcriptional memory increases the fitness of metastatic cells by supporting the escape of quiescent DTCs from NK-mediated immune surveillance. Overall, these findings highlight the contribution of oncogenic enhancers in establishing transcriptional memories as an adaptive mechanism to reinforce cancer dormancy and immune escape, thus amenable for therapeutic intervention.
转移是由具有内在表型可塑性和播种到次级器官能力的播散性肿瘤细胞 (DTCs) 引起的。DTC 可以在引发有症状的显性转移之前潜伏数年。在这种情况下,DTC 会根据全身和微环境信号(包括免疫介导的监视)在静止和增殖状态之间波动。尽管具有相关性,但维持 DTC 可塑性的内在机制尚未得到解决。通过研究转移性细胞的表观遗传状态,我们发现肿瘤进展与致癌增强子的激活相关,这些增强子组织在可变的相互连接的染色质域中。这种空间染色质结构导致在反复暴露于维甲酸 (RA) 时激活强大的转录反应。我们表明,这种适应性机制通过激活主调控因子 SOX9 来维持 DTC 的静止状态。最后,我们确定 RA 刺激的转录记忆通过支持 NK 介导的免疫监视下静止的 DTC 逃逸来增加转移细胞的适应性。总的来说,这些发现强调了致癌增强子在建立转录记忆方面的作用,作为一种适应性机制来增强癌症休眠和免疫逃逸,从而易于治疗干预。