Suppr超能文献

肿瘤芽生与浸润模式在口腔鳞状细胞癌中的相关性

Relevance of Tumor Budding and Pattern of Invasion in Oral Squamous Cell Carcinoma.

作者信息

Deshpande Nikhil Sanjay, Munemane Anil B, Karle Ravindra Raosaheb, Dongre Suryakant Dattatreya

机构信息

Department of Pathology, Dr. BVP Rural Medical College, Pravara Institute of Medical Sciences (DU), Ahmednagar, Maharashtra, India.

出版信息

Int J Appl Basic Med Res. 2024 Jan-Mar;14(1):29-34. doi: 10.4103/ijabmr.ijabmr_391_23. Epub 2024 Feb 20.

Abstract

BACKGROUND

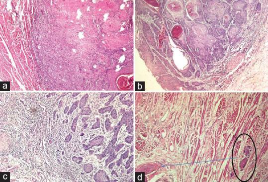
Standard histopathological parameters such as depth of invasion (DOI), lymphovascular invasion (LVI), and perineural invasion (PNI) are known parameters that can correlate with the prognosis and aggressiveness of oral squamous cell carcinomas (OSCCs). Tumor budding (TB) (≤5 tumor cells at infiltrating borders) and pattern of invasion (POI) are emerging histopathological parameters that have shown promising results as reliable risk factors in predicting nodal metastasis in early OSCCs.

AIM

The aim of the study was to assess TB and POI in OSCCs.

MATERIALS AND METHODS

A total of 33 surgical resection specimens of OSCC, including buccal mucosa and tongue with neck dissection, were selected. TB and POI along with standard parameters such as grade, DOI, LVI, PNI, lymph node status, and pathological staging were evaluated. These parameters were analyzed in comparison with lymph node involvement and pathological stage of the tumor using the Chi-square and Fischer's exact test. The SPSS software, v21, was used for statistical analyses.

RESULTS

Most of OSCC were moderately differentiated tumors (63.64%). TB was present in 23 cases, in which 69.57% of cases showed low TB (<5 buds), while 30.43% of cases had higher TB (>5 buds). The worst POI (Patterns 4 and 5) was seen in 75.76% of cases. TB, POI, grade, PNI, DOI, and stromal pattern were significantly associated with the pathological stage of the tumor.

CONCLUSION

TB and POI are important and reliable in histopathological parameters in OSCCs.

摘要

背景

标准组织病理学参数,如浸润深度(DOI)、脉管侵犯(LVI)和神经周围侵犯(PNI)是已知参数,可与口腔鳞状细胞癌(OSCC)的预后和侵袭性相关。肿瘤芽生(TB)(浸润边缘≤5个肿瘤细胞)和侵袭模式(POI)是新兴的组织病理学参数,在预测早期OSCC的淋巴结转移方面作为可靠的风险因素已显示出有前景的结果。

目的

本研究的目的是评估OSCC中的TB和POI。

材料与方法

共选取33例OSCC手术切除标本,包括颊黏膜和舌伴颈部清扫标本。评估了TB和POI以及诸如分级、DOI、LVI、PNI、淋巴结状态和病理分期等标准参数。使用卡方检验和费舍尔精确检验,将这些参数与肿瘤的淋巴结受累情况和病理分期进行比较分析。使用SPSS 21.0软件进行统计分析。

结果

大多数OSCC为中度分化肿瘤(63.64%)。23例存在TB,其中69.57%的病例显示低TB(<5个芽),而30.43%的病例有较高TB(>5个芽)。75.76%的病例可见最差的POI(模式4和5)。TB、POI、分级、PNI、DOI和间质模式与肿瘤的病理分期显著相关。

结论

TB和POI在OSCC的组织病理学参数中是重要且可靠的。

https://cdn.ncbi.nlm.nih.gov/pmc/blobs/a700/10947764/3fbe00dd2e3d/IJABMR-14-29-g001.jpg

文献AI研究员

20分钟写一篇综述,助力文献阅读效率提升50倍。

立即体验

用中文搜PubMed

大模型驱动的PubMed中文搜索引擎

马上搜索

文档翻译

学术文献翻译模型,支持多种主流文档格式。

立即体验