Suppr超能文献

肿瘤芽评分可预测口腔舌鳞状细胞癌的淋巴结状态,应纳入病理报告。

Tumor budding score predicts lymph node status in oral tongue squamous cell carcinoma and should be included in the pathology report.

机构信息

Department of Otorhinolaryngology, University Hospital of North Norway, Tromsø, Norway.

Department of Medical Biology, UiT The Arctic University of Norway, Tromsø, Norway.

出版信息

PLoS One. 2020 Sep 25;15(9):e0239783. doi: 10.1371/journal.pone.0239783. eCollection 2020.

Abstract

BACKGROUND

The majority of oral cavity cancers arise in the oral tongue. The aim of this study was to evaluate the prognostic value of tumor budding in oral tongue squamous cell carcinoma, both as a separate variable and in combination with depth of invasion. We also assessed the prognostic impact of the 8th edition of the American Joint Committee on Cancer's TNM classification (TNM8), where depth of invasion (DOI) supplements diameter in the tumor size (T) categorization.

METHODS

Patients diagnosed with primary oral tongue squamous cell carcinoma were evaluated retrospectively. Spearman bivariate correlation analyses with bootstrapping were used to identify correlation between variables. Prognostic value of clinical and histopathological variables was assessed by Log rank and Cox regression analyses with bootstrapping using 5-year disease specific survival as outcome. The significance level for the hypothesis test was 0.05.

RESULTS

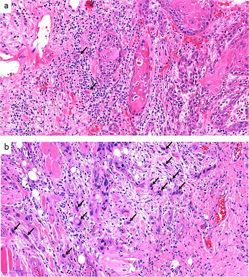
One-hundred and fifty patients had available material for microscopic evaluation on Hematoxylin and Eosin-stained slides and were included in the analyses. Reclassification of tumors according to TNM8 caused a shift towards a higher T status compared to the previous classification. The tumor budding score was associated with lymph node metastases where 23% of the patients with low-budding tumors had lymph node metastases, compared with 43% of those with high-budding tumors. T-status, lymph node status, tumor budding, depth of invasion, and the combined tumor budding/depth of invasion score were all significantly associated with survival in univariate analyses. In multivariate analyses only N-status was an independent prognosticator of survival.

CONCLUSION

Reclassification according to TNM8 shifted many tumors to a higher T-status, and also increased the prognostic value of the T-status. This supports the implementation of depth of invasion to the T-categorization in TNM8. Tumor budding correlated with lymph node metastases and survival. Therefore, information on tumor budding can aid clinicians in treatment planning and should be included in pathology reports of oral tongue squamous cell carcinomas.

摘要

背景

大多数口腔癌发生在口腔舌部。本研究旨在评估肿瘤芽在口腔舌鳞状细胞癌中的预后价值,既作为一个单独的变量,也与浸润深度结合评估。我们还评估了第 8 版美国癌症联合委员会 TNM 分类(TNM8)的预后影响,其中浸润深度(DOI)补充了肿瘤大小(T)分类中的直径。

方法

回顾性评估诊断为原发性口腔舌鳞状细胞癌的患者。使用 Spearman 双变量相关性分析和自举法来确定变量之间的相关性。使用 5 年疾病特异性生存率作为结果,通过 Log rank 和 Cox 回归分析以及自举法来评估临床和组织病理学变量的预后价值。假设检验的显著性水平为 0.05。

结果

150 名患者有可供评估的苏木精和伊红染色切片的显微镜检查材料,纳入分析。根据 TNM8 对肿瘤进行重新分类,与之前的分类相比,T 分期更高。肿瘤芽评分与淋巴结转移相关,低芽肿瘤患者中有 23%发生淋巴结转移,而高芽肿瘤患者中有 43%发生淋巴结转移。在单变量分析中,T 分期、淋巴结状态、肿瘤芽、浸润深度以及肿瘤芽/浸润深度评分的组合均与生存显著相关。在多变量分析中,只有 N 分期是生存的独立预后因素。

结论

根据 TNM8 进行重新分类,将许多肿瘤归类为更高的 T 分期,也增加了 T 分期的预后价值。这支持将浸润深度纳入 TNM8 的 T 分类。肿瘤芽与淋巴结转移和生存相关。因此,肿瘤芽的信息可以帮助临床医生进行治疗计划,并应纳入口腔舌鳞状细胞癌的病理报告中。

https://cdn.ncbi.nlm.nih.gov/pmc/blobs/8b23/7518591/64f13b1cb11d/pone.0239783.g001.jpg

文献AI研究员

20分钟写一篇综述,助力文献阅读效率提升50倍。

立即体验

用中文搜PubMed

大模型驱动的PubMed中文搜索引擎

马上搜索

文档翻译

学术文献翻译模型,支持多种主流文档格式。

立即体验