Suppr超能文献

孤立性透明细胞肾细胞癌转移至眼睑:一例报告

Solitary Clear Cell Renal Cell Carcinoma Metastasis to the Eyelid: A Case Report.

作者信息

Zrinšćak Ognjen, Kasumović Armin, Krolo Iva, Ivekovic Renata, Malenica Ravlić Maja, Tomašković Igor, Vatavuk Zoran

机构信息

University Department of Ophthalmology and Optometry, University Hospital Center, Sestre milosrdnice, Zagreb, Croatia.

University Department of Ophthalmology, University Hospital Brussels, Brussels (UZ Brussel), Jette, Belgium.

出版信息

Case Rep Oncol. 2024 Mar 19;17(1):477-483. doi: 10.1159/000537860. eCollection 2024 Jan-Dec.

Abstract

INTRODUCTION

This study is a case of solitary clear cell renal cell carcinoma (ccRCC) eyelid metastasis in a 66-year-old man as the first sign of a primary tumor. ccRCC usually spreads to the lungs, mediastinum, bones, liver, and brain, while ocular metastases are rare.

CASE PRESENTATION

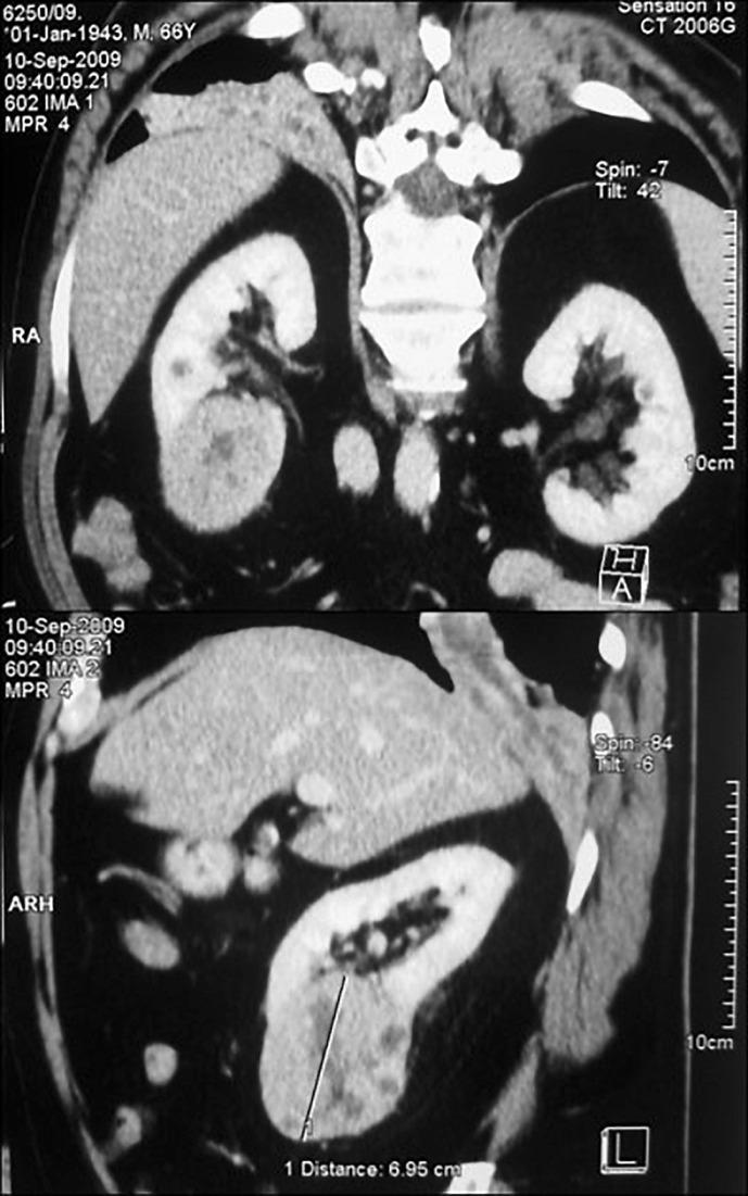
Solitary metastasis presented as a solid mass in the central third of the upper eyelid, which has been growing for 3 weeks. Treatment included tumor removal and blepharoplasty. Histopathological examination showed metastasis of clear cell renal carcinoma. A thorough examination revealed a primary tumor on the lower pole of the right kidney. A right nephrectomy was performed, and histopathology showed ccRCC. Postoperative examinations showed no signs of local or systemic disease. Sunitinib malate was administered to the patient.

CONCLUSION

The eyelid metastasis in this case was still solitary and had been discovered before the existence of the primary tumor was known. Ocular metastasis of renal carcinoma is a rare initial manifestation of the disease and therefore requires a multidisciplinary approach in the treatment of these patients.

摘要

引言

本研究是一例66岁男性孤立性透明细胞肾细胞癌(ccRCC)眼睑转移作为原发性肿瘤首发症状的病例。ccRCC通常转移至肺、纵隔、骨、肝和脑,而眼部转移罕见。

病例介绍

孤立性转移表现为上睑中央三分之一处的实性肿块,已生长3周。治疗包括肿瘤切除和眼睑成形术。组织病理学检查显示为透明细胞肾癌转移。全面检查发现右肾下极有原发性肿瘤。行右肾切除术,组织病理学显示为ccRCC。术后检查未发现局部或全身疾病迹象。给予患者苹果酸舒尼替尼治疗。

结论

该病例中的眼睑转移仍为孤立性,且在原发性肿瘤存在之前就已被发现。肾癌眼部转移是该疾病罕见的初始表现,因此在治疗这些患者时需要多学科方法。

https://cdn.ncbi.nlm.nih.gov/pmc/blobs/3d6c/10950357/2c659ddff42d/cro-2024-0017-0001-537860_F01.jpg

文献AI研究员

20分钟写一篇综述,助力文献阅读效率提升50倍。

立即体验

用中文搜PubMed

大模型驱动的PubMed中文搜索引擎

马上搜索

文档翻译

学术文献翻译模型,支持多种主流文档格式。

立即体验