Wang Tong-Tong, Chen Xiao-Yue, Min Qiao-Yun, Han Yi-Ze, Zhao Huan-Fen
Department of Graduate School, Hebei Medical University, Shijiazhuang 050017, Hebei Province, China.
Department of Pathology, Hebei General Hospital, Shijiazhuang 050051, Hebei Province, China.
World J Clin Cases. 2023 Dec 26;11(36):8535-8541. doi: 10.12998/wjcc.v11.i36.8535.
Clear cell renal cell carcinoma (ccRCC) is a common type of tumor that can metastasize to any organs and sites. However, it is extremely rare for ccRCC to metastasize to the iris. Here, we describe a rare case of iris metastasis from ccRCC with a history of left nephrectomy in 2010.
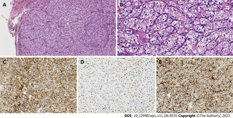
A 62-year-old male was admitted to the hospital due to blurred vision and red eyes, and a mass was found on the iris in the right eye. B-scan ultrasonography revealed a well-bounded high-density lesion at the corner of the anterior chamber at the 3-4 o'clock position. Phacoemulsification with simultaneous intraocular lens implantation and iridocyclectomy was performed in the right eye. The lesion was confirmed to be metastatic ccRCC by histological and immunohistochemical analyses. The patient was still alive at 9 mo after surgical treatment. Ocular metastasis can be an initial sign with a poor prognosis. Timely detection and treatment may improve survival. Clinicians should pay attention to similar metastatic diseases to prevent misdiagnosis leading to missed treatment opportunities.
This report of the characteristics and successful management of a rare case of iris metastasis from ccRCC highlights the importance of a comprehensive medical history, histopathology, immunohistochemistry, and clinical manifestation for successful disease diagnosis.
透明细胞肾细胞癌(ccRCC)是一种常见的肿瘤类型,可转移至任何器官和部位。然而,ccRCC转移至虹膜极为罕见。在此,我们描述一例2010年有左肾切除病史的ccRCC虹膜转移罕见病例。
一名62岁男性因视力模糊和眼红入院,右眼虹膜发现肿物。B超显示在3至4点钟位置前房角处有一个边界清晰的高密度病变。右眼行超声乳化白内障吸除联合人工晶状体植入及虹膜睫状体切除术。经组织学和免疫组化分析,病变确诊为转移性ccRCC。手术治疗9个月后患者仍存活。眼部转移可能是预后不良的首发症状。及时检测和治疗可能提高生存率。临床医生应注意类似的转移性疾病,以防止误诊导致错过治疗机会。
本报告对ccRCC虹膜转移罕见病例的特征及成功治疗进行了阐述,强调了全面的病史、组织病理学、免疫组化及临床表现对疾病成功诊断的重要性。