Suppr超能文献

FOXL2 与不同结合伴侣的相互作用调节卵巢发育的动态。

FOXL2 interaction with different binding partners regulates the dynamics of ovarian development.

机构信息

Laboratory of Stem Cell Biology and Developmental Genetics, The Francis Crick Institute, London NW1 1AT, UK.

Bioinformatics core, The Francis Crick Institute, 1 Midland Road, London NW1 1AT, UK.

出版信息

Sci Adv. 2024 Mar 22;10(12):eadl0788. doi: 10.1126/sciadv.adl0788.

Abstract

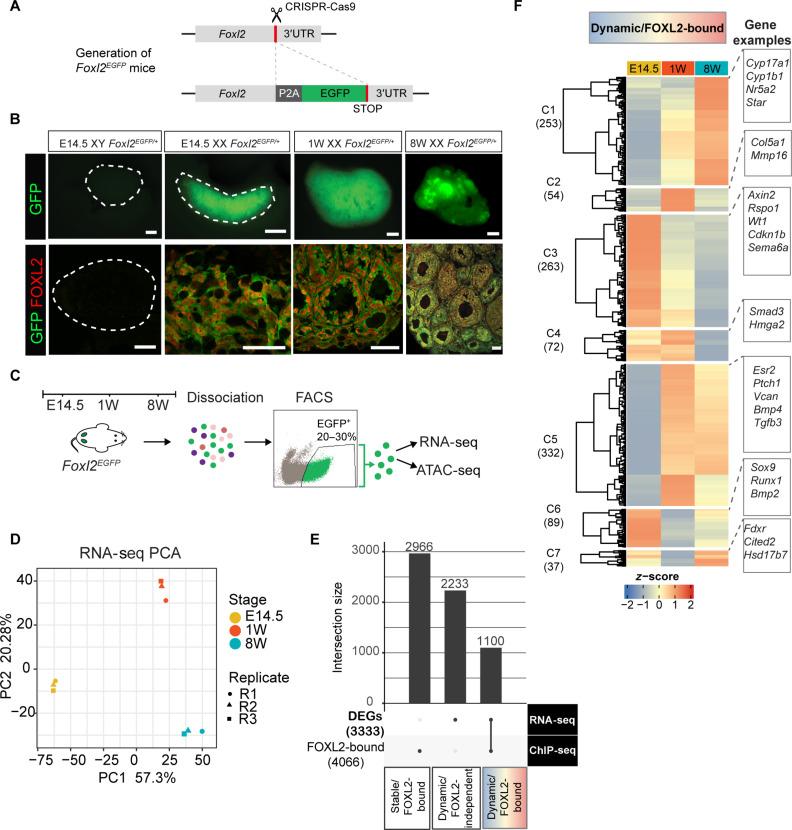
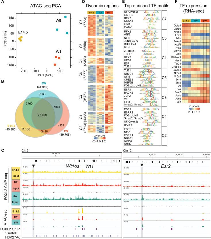
The transcription factor FOXL2 is required in ovarian somatic cells for female fertility. Differential timing of deletion, in embryonic versus adult mouse ovary, leads to distinctive outcomes, suggesting different roles across development. Here, we comprehensively investigated FOXL2's role through a multi-omics approach to characterize gene expression dynamics and chromatin accessibility changes, coupled with genome-wide identification of FOXL2 targets and on-chromatin interacting partners in somatic cells across ovarian development. We found that FOXL2 regulates more targets postnatally, through interaction with factors regulating primordial follicle formation and steroidogenesis. Deletion of one interactor, ubiquitin-specific protease 7 (), results in impairment of somatic cell differentiation, germ cell nest breakdown, and ovarian development, leading to sterility. Our datasets constitute a comprehensive resource for exploration of the molecular mechanisms of ovarian development and causes of female infertility.

摘要

转录因子 FOXL2 在卵巢体细胞中对于雌性生育能力是必需的。在胚胎期和成年期的小鼠卵巢中,删除的时间不同会导致不同的结果,这表明在发育过程中FOXL2 有不同的作用。在这里,我们通过多组学方法全面研究了 FOXL2 的作用,以描述基因表达动态和染色质可及性变化,并结合在整个卵巢发育过程中对体细胞中 FOXL2 靶标和染色质上相互作用伙伴的全基因组鉴定。我们发现,FOXL2 通过与调节原始卵泡形成和类固醇生成的因子相互作用,在出生后调节更多的靶标。一个相互作用因子,泛素特异性蛋白酶 7 (USP7) 的缺失会导致体细胞分化、生殖细胞巢破裂和卵巢发育受损,导致不育。我们的数据集构成了探索卵巢发育分子机制和女性不孕原因的综合资源。

https://cdn.ncbi.nlm.nih.gov/pmc/blobs/86cd/10959415/dec8a964814f/sciadv.adl0788-f1.jpg

文献检索

告别复杂PubMed语法,用中文像聊天一样搜索,搜遍4000万医学文献。AI智能推荐,让科研检索更轻松。

立即免费搜索

文件翻译

保留排版,准确专业,支持PDF/Word/PPT等文件格式,支持 12+语言互译。

免费翻译文档

深度研究

AI帮你快速写综述,25分钟生成高质量综述,智能提取关键信息,辅助科研写作。

立即免费体验