Suppr超能文献

术后胰瘘管理的进展

Updates in the management of postoperative pancreatic fistula.

作者信息

Nebbia Martina, Capretti Giovanni, Nappo Gennaro, Zerbi Alessandro

机构信息

Pancreatic Surgery Unit, IRCCS Humanitas Research Hospital, Via Manzoni, Rozzano.

Department of Biomedical Sciences, Humanitas University, Via Rita Levi Montalcini, Pieve Emanuele, Milan, Italy.

出版信息

Int J Surg. 2024 Oct 1;110(10):6135-6144. doi: 10.1097/JS9.0000000000001395.

Abstract

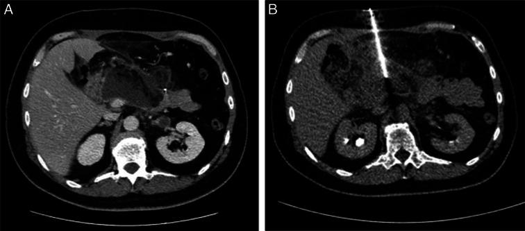
Postoperative pancreatic fistula (POPF) remains a common and dreaded complication after pancreatic resections and is associated with increased morbidity and mortality. Over the years, several different strategies have been investigated to prevent and mitigate POPF. However, when a POPF occurs, a consensus on the optimal management strategy of grade B and grade C POPF is still lacking, and the current management strategy is often based on local expertise and driven by patient's condition. Nevertheless, whereas the incidence of POPF after pancreatic surgery has remained stable, the overall mortality related to this complication has decreased over the years. This reflects an improvement in the management of this complication, which has become increasingly conservative. The aim of this review is to provide an updated evidence-based overview on the management strategies of POPF for surgeons and physicians in the clinical practice.

摘要

术后胰瘘(POPF)仍然是胰腺切除术后常见且可怕的并发症,与发病率和死亡率增加相关。多年来,人们研究了几种不同的策略来预防和减轻POPF。然而,当发生POPF时,对于B级和C级POPF的最佳管理策略仍缺乏共识,当前的管理策略通常基于当地的专业知识并由患者的病情驱动。尽管如此,虽然胰腺手术后POPF的发生率保持稳定,但多年来与该并发症相关的总体死亡率有所下降。这反映了该并发症管理方面的改善,管理方式已变得越来越保守。本综述的目的是为临床实践中的外科医生和内科医生提供关于POPF管理策略的最新循证概述。

https://cdn.ncbi.nlm.nih.gov/pmc/blobs/e5b7/11487019/f7476a1f9eb2/js9-110-6135-g001.jpg

文献检索

告别复杂PubMed语法,用中文像聊天一样搜索,搜遍4000万医学文献。AI智能推荐,让科研检索更轻松。

立即免费搜索

文件翻译

保留排版,准确专业,支持PDF/Word/PPT等文件格式,支持 12+语言互译。

免费翻译文档

深度研究

AI帮你快速写综述,25分钟生成高质量综述,智能提取关键信息,辅助科研写作。

立即免费体验