Suppr超能文献

气肿性胰腺炎:一种危及生命的疾病——病例报告及文献复习。

Emphysematous Pancreatitis as a Life-Threatening Condition: A Case Report and Review of the Literature.

机构信息

Faculty of Medicine, University of Belgrade, 11000 Belgrade, Serbia.

Center for Radiology, University Clinical Centre of Serbia, 11000 Belgrade, Serbia.

出版信息

Medicina (Kaunas). 2024 Feb 27;60(3):406. doi: 10.3390/medicina60030406.

Abstract

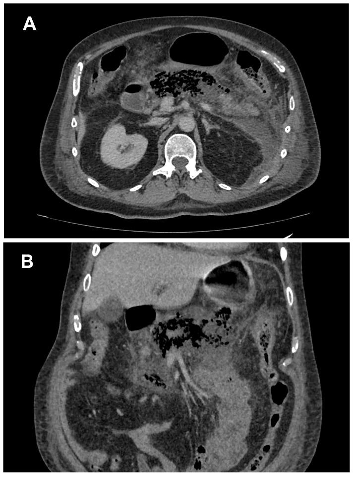
Emphysematous pancreatitis represents the presence of gas within or around the pancreas on the ground of necrotizing pancreatitis due to superinfection with gas-forming bacteria. This entity is diagnosed on clinical grounds and on the basis of radiologic findings. Computed tomography is the preferred imaging modality used to detect this life-threating condition. The management of emphysematous pancreatitis consists of conservative measures, image-guided percutaneous catheter drainage or endoscopic therapy, and surgical intervention, which is delayed as long as possible and undertaken only in patients who continue to deteriorate despite conservative management. Due to its high mortality rate, early and prompt recognition and treatment of emphysematous pancreatitis are crucial and require individualized treatment with the involvement of a multidisciplinary team. Here, we present a case of emphysematous pancreatitis as an unusual occurrence and discuss disease features and treatment options in order to facilitate diagnostics and therapy.

摘要

气肿性胰腺炎是指由于产气细菌的继发感染导致胰腺或胰腺周围出现气体,基于坏死性胰腺炎而诊断。该病基于临床和影像学检查结果进行诊断。计算机断层扫描是诊断这种危及生命的疾病的首选影像学方法。气肿性胰腺炎的治疗包括保守治疗、影像引导下经皮导管引流或内镜治疗以及外科干预,只要可能,应尽可能延迟外科干预,仅在保守治疗后持续恶化的患者中进行。由于其高死亡率,早期和及时识别和治疗气肿性胰腺炎至关重要,需要多学科团队的参与,制定个体化的治疗方案。在这里,我们报告了一例气肿性胰腺炎病例,探讨了该病的特征和治疗选择,以促进诊断和治疗。

https://cdn.ncbi.nlm.nih.gov/pmc/blobs/a2fe/10972193/75d7d0790d99/medicina-60-00406-g001.jpg

文献AI研究员

20分钟写一篇综述,助力文献阅读效率提升50倍。

立即体验

用中文搜PubMed

大模型驱动的PubMed中文搜索引擎

马上搜索

文档翻译

学术文献翻译模型,支持多种主流文档格式。

立即体验