Suppr超能文献

子宫内膜癌的罕见形态学类型及其模仿者:分子分类对疑难病例的临床实践有多大改善?

Uncommon Morphologic Types of Endometrial Cancer and Their Mimickers: How Much Does Molecular Classification Improve the Practice for Challenging Cases?

作者信息

Saglam Ozlen

机构信息

Department of Pathology, Oregon Health and Science University, 3181 SW Sam Jackson Park Rd., Portland, OR 97239, USA.

出版信息

Life (Basel). 2024 Mar 14;14(3):387. doi: 10.3390/life14030387.

Abstract

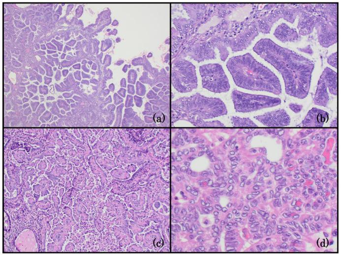
The previous endometrial cancer (EC) FIGO staging primarily relied on the extent of the disease spread into the anatomical sites at diagnosis. The most recent one (2023) incorporates clinicopathological features such as histological subtype, tumor grade, the extent of lymphovascular space invasion (LVI), and, when available, molecular subtypes of EC. The emphasis on accurate histological typing, tumor grading, and the molecular features of the cancer is stronger than ever. This review addresses challenging diagnostic patterns in the histologic subtyping and grading EC under five categories: 1. EC with spindle cells, 2. EC with clear cells, 3. EC with a papillary architecture, 4. EC with a biphasic morphology, and 5. EC with a microglandular architecture. The morphological features differentiating low- and high-grade cancers are discussed, along with relevant clinical work-ups. Recent molecular genetic findings regarding the diagnosis and prognosis of the disease and the results of related clinical trials are summarized. The potential challenges in the evaluation of LVI follow these sections. The final section of the review includes an overview of the literature on incorporating molecular subtypes of EC into clinical practice.

摘要

先前的子宫内膜癌(EC)国际妇产科联盟(FIGO)分期主要依赖于疾病在诊断时扩散至解剖部位的范围。最新的(2023年)分期纳入了临床病理特征,如组织学亚型、肿瘤分级、淋巴管间隙浸润(LVI)程度,以及在可行时EC的分子亚型。对准确的组织学分型、肿瘤分级以及癌症分子特征的重视比以往任何时候都更加强烈。本综述在五个类别下阐述了EC组织学分型和分级中具有挑战性的诊断模式:1. 具有梭形细胞的EC;2. 具有透明细胞的EC;3. 具有乳头状结构的EC;4. 具有双相形态的EC;5. 具有微腺管结构的EC。讨论了区分低级别和高级别癌症的形态学特征以及相关的临床检查。总结了关于该疾病诊断和预后的近期分子遗传学发现以及相关临床试验的结果。LVI评估中的潜在挑战在这些章节之后进行阐述。综述的最后一部分包括将EC分子亚型纳入临床实践的文献概述。

https://cdn.ncbi.nlm.nih.gov/pmc/blobs/1d7b/10971728/cc3fd99490c6/life-14-00387-g001.jpg

文献AI研究员

20分钟写一篇综述,助力文献阅读效率提升50倍。

立即体验

用中文搜PubMed

大模型驱动的PubMed中文搜索引擎

马上搜索

文档翻译

学术文献翻译模型,支持多种主流文档格式。

立即体验