Suppr超能文献

C 组链球菌中毒性休克综合征后的脓性肌炎

Pyomyositis After a Group C Streptococcal Toxic Shock Syndrome.

作者信息

Pacheco Maria, Rodrigues João C, Almeida Hugo R, Cardoso Adriano, Moreira Ana Teresa

机构信息

Internal Medicine, Hospital Sousa Martins, Unidade Local de Saúde Guarda, Guarda, PRT.

Internal Medicine, Hospital Universitario de Salamanca, Salamanca, ESP.

出版信息

Cureus. 2024 Feb 26;16(2):e54917. doi: 10.7759/cureus.54917. eCollection 2024 Feb.

Abstract

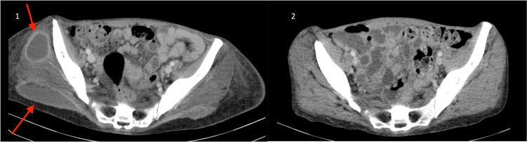
Pyomyositis is a bacterial infection deep within the muscles, often leading to multiple intramuscular abscesses. While historically linked with tropical regions, its incidence in temperate zones has been increasing, primarily due to factors such as immunosuppression. Typically, it manifests as a subacute infection, although when caused by Group C and resulting in toxic shock syndrome, it can lead to poorer outcomes. Here, we report a rare case of extensive multifocal bilateral pyomyositis in an immunocompetent young woman, preceded by toxic shock syndrome.

摘要

脓性肌炎是一种发生于肌肉深层的细菌感染,常导致多发性肌内脓肿。虽然过去认为其与热带地区有关,但在温带地区其发病率一直在上升,主要是由于免疫抑制等因素。通常,它表现为亚急性感染,不过当由C组细菌引起并导致中毒性休克综合征时,可能会导致更差的预后。在此,我们报告一例罕见的广泛多灶性双侧脓性肌炎病例,该病例发生在一名免疫功能正常的年轻女性身上,之前出现了中毒性休克综合征。

https://cdn.ncbi.nlm.nih.gov/pmc/blobs/ee0c/10966668/cfce63a67bcc/cureus-0016-00000054917-i01.jpg

文献AI研究员

20分钟写一篇综述,助力文献阅读效率提升50倍。

立即体验

用中文搜PubMed

大模型驱动的PubMed中文搜索引擎

马上搜索

文档翻译

学术文献翻译模型,支持多种主流文档格式。

立即体验