Suppr超能文献

重塑稳定性:胫骨结节转移与内侧髌股韧带重建治疗高位髌骨和复发性脱位

Revamping Stability: Tibial Tuberosity Transfer and Medial Patello-Femoral Ligament Reconstruction for Patella Alta and Recurrent Dislocation.

作者信息

Singh Rahul, Saoji Amit, Suneja Anmol, Goyal Saksham, Goel Sachin

机构信息

Department of Orthopaedics, Jawaharlal Nehru Medical College, Datta Meghe Institute of Higher Education and Research, Wardha, IND.

出版信息

Cureus. 2024 Feb 25;16(2):e54891. doi: 10.7759/cureus.54891. eCollection 2024 Feb.

Abstract

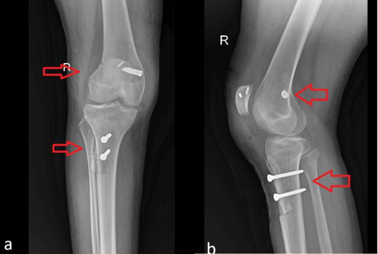
This case report details the clinical evaluation, imaging findings, and surgical management of a 17-year-old female with a two-year history of persistent knee pain and recurrent patellar dislocations. Despite the absence of traumatic injury, the patient exhibited significant anatomical abnormalities, including a laterally dislocated patella, shallow trochlear groove, increased tibial tuberosity to trochlear groove (TT-TG) distance, and patella alta by calculating Insall-Salvati ratio. The Insall-Salvati ratio is a radiographic measurement used to assess the position of the patella within the knee joint. It is calculated by dividing the length of the patellar tendon (from the lower pole of the patella to its insertion on the tibial tubercle) by the length of the patella itself (from its superior to inferior pole). This ratio is commonly used in the evaluation of patellar tracking disorders and patellar instability. Typically, a ratio greater than 1.2 is considered indicative of patella alta (high-riding patella), while a ratio less than 0.8 suggests patella baja (low-riding patella). The surgical intervention involved a tibial tuberosity osteotomy (TTO), distalization, and medial patellofemoral ligament (MPFL) reconstruction using the gracilis tendon, resulting in successful realignment as confirmed by postoperative imaging. A postoperative rehabilitation program, including physical therapy and pain management, was initiated to optimize recovery and enhance quadriceps strength and proprioception. This case underscores the importance of a comprehensive surgical approach in addressing recurrent patellar dislocation associated with complex anatomical variations, providing insights into effective management strategies for similar cases.

摘要

本病例报告详细介绍了一名17岁女性的临床评估、影像学检查结果及手术治疗情况。该患者有持续两年的膝关节疼痛及复发性髌骨脱位病史。尽管没有外伤史,但患者存在明显的解剖学异常,包括髌骨外侧脱位、滑车沟浅、胫骨结节至滑车沟(TT-TG)距离增加,以及通过计算Insall-Salvati比值显示为高位髌骨。Insall-Salvati比值是一种用于评估髌骨在膝关节内位置的影像学测量方法。它通过将髌腱长度(从髌骨下极至其在胫骨结节的附着点)除以髌骨自身长度(从其上极至下极)来计算。该比值常用于评估髌骨轨迹紊乱和髌骨不稳定。通常,比值大于1.2被认为提示高位髌骨,而比值小于0.8提示低位髌骨。手术干预包括胫骨结节截骨术(TTO)、远移术,以及使用股薄肌腱重建髌股内侧韧带(MPFL),术后影像学检查证实成功实现了重新对线。术后启动了包括物理治疗和疼痛管理在内的康复计划,以优化恢复情况并增强股四头肌力量和本体感觉。本病例强调了采用综合手术方法处理与复杂解剖变异相关的复发性髌骨脱位的重要性,为类似病例的有效管理策略提供了见解。

https://cdn.ncbi.nlm.nih.gov/pmc/blobs/22b4/10966890/eeeea2d894a0/cureus-0016-00000054891-i01.jpg

文献AI研究员

20分钟写一篇综述,助力文献阅读效率提升50倍。

立即体验

用中文搜PubMed

大模型驱动的PubMed中文搜索引擎

马上搜索

文档翻译

学术文献翻译模型,支持多种主流文档格式。

立即体验