Suppr超能文献

一例罕见的伴有输尿管受累的完全性腹股沟阴囊膀胱疝:评估诊断挑战及复杂的手术治疗

A Rare Case of Complete Inguinoscrotal Bladder Herniation With Ureteric Involvement: Assessing Diagnostic Challenges and Complex Surgical Management.

作者信息

Davis Darcy A, Glinski Ronald W, Jones Matthew C

机构信息

Medicine, Edward Via College of Osteopathic Medicine, Spartanburg, USA.

Urology, McLeod Regional Medical Center, Florence, USA.

出版信息

Cureus. 2024 Feb 28;16(2):e55130. doi: 10.7759/cureus.55130. eCollection 2024 Feb.

Abstract

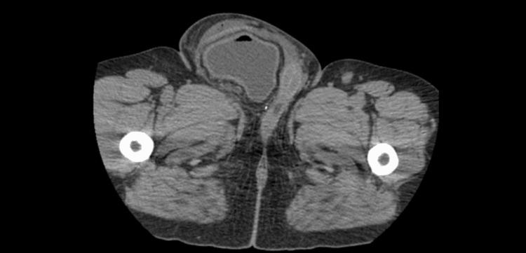
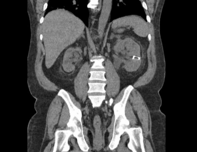
Inguinoscrotal hernias involving the urinary bladder are exceedingly rare, constituting a small subset of inguinal hernias. We present a case of a 47-year-old male with long-standing scrotal enlargement and obstructive uropathy due to complete herniation of the bladder with ureteric involvement. Diagnostic imaging confirmed the condition. Following an open laparotomy, the bladder was reduced, and a modified Bassini technique with orchiopexy was used for repair. Recurrence of the inguinoscrotal hernia with evidence of the bladder in the scrotal sac required additional surgery. This case underscores the rarity, diagnostic complexity, and potential complications of inguinoscrotal bladder hernias. Specialized surgical techniques and a multidisciplinary approach are crucial for successful management, especially in cases of complete bladder herniation. Future considerations should include innovative approaches to enhance primary repair outcomes for extensive hernias involving the bladder.

摘要

累及膀胱的腹股沟阴囊疝极为罕见,是腹股沟疝中的一小部分。我们报告一例47岁男性,因膀胱完全疝出并累及输尿管,长期阴囊肿大并患有梗阻性尿路病。诊断性影像学检查证实了病情。在进行开放剖腹手术后,将膀胱回纳,并采用改良的巴西尼技术加睾丸固定术进行修复。腹股沟阴囊疝复发且阴囊囊中出现膀胱迹象,需要再次手术。该病例凸显了腹股沟阴囊膀胱疝的罕见性、诊断复杂性和潜在并发症。专门的手术技术和多学科方法对于成功治疗至关重要,尤其是在膀胱完全疝出的病例中。未来的考虑应包括创新方法,以提高涉及膀胱的广泛性疝的一期修复效果。

https://cdn.ncbi.nlm.nih.gov/pmc/blobs/d80e/10979708/69d4aad26e3d/cureus-0016-00000055130-i01.jpg

文献AI研究员

20分钟写一篇综述,助力文献阅读效率提升50倍。

立即体验

用中文搜PubMed

大模型驱动的PubMed中文搜索引擎

马上搜索

文档翻译

学术文献翻译模型,支持多种主流文档格式。

立即体验