Suppr超能文献

因吸入吞咽排泄物怀疑肺隐球菌病,表现为多发浸润性阴影。

Pulmonary cryptococcosis suspected due to inhalation of swallow excreta presenting with multiple infiltrative shadows.

作者信息

Kanata Kei, Shirai Toshihiro, Ito Yutaro, Ichijo Koshiro, Uehara Masahiro

机构信息

Department of Respiratory Medicine, Shimada General Medical Center, Shizuoka, Japan.

Department of Respiratory Medicine, Shizuoka General Hospital, Shizuoka, Japan.

出版信息

Respir Med Case Rep. 2024 Mar 21;49:102014. doi: 10.1016/j.rmcr.2024.102014. eCollection 2024.

Abstract

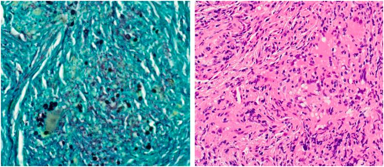
A 70-year-old woman had been treated with methotrexate for rheumatoid arthritis by a rheumatologist who opened a clinic near our hospital. In January of a certain year, she had respiratory symptoms of cough, sputum, and fever. Laboratory test results showed a white blood cell count of 8600/μL (neutrophil count of 5330/μL, lymphocyte count of 2490 μ/L), C-reactive protein (CRP) of 3.30 mg/dL. Chest radiography showed multiple infiltrative shadows in the right middle and lower lobes. Bronchoalveolar lavage fluid (BAL) lymphocyte count was increased (65.1%), and histopathological findings were consistent with numerous bowl-shaped cryptococcus cells stained black by Grocott staining. Added measurement of serum cryptococcal antigen titers was 4096-fold. Treatment with fluconazole 400 mg/day was initiated, and her symptoms resolved; the shadows of the lung fields improved. When asked in detail, the cryptococcus infection route was suspected from swallow excreta. There have been no reported cases of pulmonary cryptococcosis suspected due to inhalation of swallow excreta presenting with multiple infiltrative shadows.

摘要

一名70岁女性由我院附近一家诊所的风湿病学家用甲氨蝶呤治疗类风湿关节炎。某年1月,她出现咳嗽、咳痰和发热的呼吸道症状。实验室检查结果显示白细胞计数为8600/μL(中性粒细胞计数为5330/μL,淋巴细胞计数为2490μ/L),C反应蛋白(CRP)为3.30mg/dL。胸部X线片显示右中、下叶有多个浸润性阴影。支气管肺泡灌洗(BAL)液淋巴细胞计数增加(65.1%),组织病理学检查结果与大量经Grocott染色染成黑色的碗状隐球菌细胞一致。血清隐球菌抗原滴度进一步检测为4096倍。开始每日用400mg氟康唑治疗,她的症状缓解;肺野阴影改善。详细询问后,怀疑隐球菌感染途径为吞咽排泄物。尚无因吸入吞咽排泄物而疑似肺隐球菌病并出现多个浸润性阴影的病例报道。

https://cdn.ncbi.nlm.nih.gov/pmc/blobs/d954/10973641/1e1a908d3b0c/gr1.jpg

相似文献

1
Pulmonary cryptococcosis suspected due to inhalation of swallow excreta presenting with multiple infiltrative shadows.
Respir Med Case Rep. 2024 Mar 21;49:102014. doi: 10.1016/j.rmcr.2024.102014. eCollection 2024.
2
Pulmonary cryptococcosis presenting with a large cavity.
Respirol Case Rep. 2014 Jun;2(2):61-3. doi: 10.1002/rcr2.49. Epub 2014 Feb 25.
5
Pulmonary Cryptococcosis Diagnosed by a Transbronchial Lung Cryobiopsy in a Patient with Rheumatoid Arthritis.
Intern Med. 2023 Feb 15;62(4):583-587. doi: 10.2169/internalmedicine.9764-22. Epub 2022 Jul 29.
7
Eosinophilic pneumonia developed after dupilumab administration in a patient with atopic dermatitis.
Respirol Case Rep. 2023 Jul 18;11(8):e01192. doi: 10.1002/rcr2.1192. eCollection 2023 Aug.

本文引用的文献

1
Cryptococcosis.
Infect Dis Clin North Am. 2016 Mar;30(1):179-206. doi: 10.1016/j.idc.2015.10.006.
2
Clinical features of pulmonary cryptococcosis in non-HIV patients in Japan.
J Infect Chemother. 2015 Jan;21(1):23-30. doi: 10.1016/j.jiac.2014.08.025. Epub 2014 Oct 29.
3
Cryptococcus neoformans isolation from swallow (Hirundo rustica) excreta in Iran.
Rev Inst Med Trop Sao Paulo. 2011 May-Jun;53(3):125-7. doi: 10.1590/s0036-46652011000300002.
4
Saprophytic sources of Cryptococcus neoformans associated with the pigeon (Columba livia).
Am J Hyg. 1955 Nov;62(3):227-32. doi: 10.1093/oxfordjournals.aje.a119775.

文献AI研究员

20分钟写一篇综述,助力文献阅读效率提升50倍。

立即体验

用中文搜PubMed

大模型驱动的PubMed中文搜索引擎

马上搜索

文档翻译

学术文献翻译模型,支持多种主流文档格式。

立即体验