Suppr超能文献

儿童急性化脓性甲状腺炎:一种非典型表现。

Acute Suppurative Thyroiditis in Childhood: An Atypical Presentation.

作者信息

Câmara Beatriz, Andrade Catarina, Forno Andreia, Lopes Marta, Pilar Carla

机构信息

Pediatrics, Hospital Dr. Nélio Mendonça, Funchal, PRT.

Pediatric Neurology, Hospital Dr. Nélio Mendonça, Funchal, PRT.

出版信息

Cureus. 2024 Feb 29;16(2):e55275. doi: 10.7759/cureus.55275. eCollection 2024 Feb.

Abstract

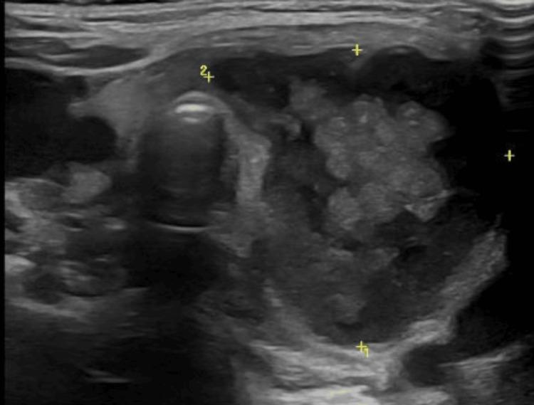
Neck stiffness is a common clinical sign in children presenting to the emergency department that may indicate a wide variety of diagnoses. Acute suppurative thyroiditis (AST) is an infection of the thyroid gland caused by a bacterium, virus, or, less commonly, fungus. It presents as an acute or subacute development of an anterior cervical mass, with associated inflammatory signs. The pressure upon neck muscles may be reflected as a limitation of cervical mobility. AST is often preceded by an upper respiratory tract infection, and pyriform sinus fistula is the most common predisposing factor. It is particularly uncommon in the pediatric age, with limited cases reported in the literature. Therefore, a heightened suspicion is required for proper diagnosis and timely intervention, due to its high mortality. Prompt treatment with broad-spectrum parenteral antibiotic therapy and drainage is mandatory to prevent the numerous complications associated, namely, mediastinitis and sepsis. We report the case of a two-year-old female child admitted with a two-week history of intermittent high-grade fever and sore throat, followed by prostration and limitation in neck movement on admission. Examination revealed neck stiffness with positive Kernig and Brudzinski signs. The laboratory tests showed elevated inflammatory parameters. Cranial computed tomography (CT) scan and lumbar puncture were normal. On day 2 after admission, an anterior cervical mass with slight signs of fluctuation was detected. Ultrasound was compatible with a hemorrhagic/overinfected thyroid nodule, and the patient was started on broad-spectrum antibiotics. Due to clinical worsening, a cervical CT scan was performed, which documented a thyroid abscess with extension into the retropharyngeal space. She underwent surgical drainage, and  and mixed anaerobes were isolated, sensitive to ongoing antibiotherapy. On multidisciplinary follow-up, an esophageal barium study, laryngoscopy, and cervical magnetic resonance imaging (MRI) were performed, revealing no anatomical defects. AST is a rare disease in children, but potentially fatal, so its early recognition and treatment are essential. We aim to draw attention to this disease and its differential diagnosis to reduce the associated morbimortality.

摘要

颈部僵硬是儿科急诊中常见的临床体征,可能提示多种诊断。急性化脓性甲状腺炎(AST)是由细菌、病毒或较少见的真菌引起的甲状腺感染。它表现为颈前部肿块急性或亚急性发展,并伴有相关炎症体征。颈部肌肉所受压力可能表现为颈部活动受限。AST通常先有上呼吸道感染,梨状窦瘘是最常见的诱发因素。它在儿童期尤其罕见,文献报道的病例有限。因此,鉴于其高死亡率,为了正确诊断和及时干预,需要提高警惕。必须迅速采用广谱肠外抗生素治疗和引流,以预防相关的众多并发症,即纵隔炎和败血症。我们报告一例两岁女童,因间歇性高热和咽痛两周入院,入院时继而出现虚脱和颈部活动受限。检查发现颈部僵硬,凯尔尼格征和布鲁津斯基征阳性。实验室检查显示炎症指标升高。头颅计算机断层扫描(CT)和腰椎穿刺均正常。入院后第2天,发现一个有轻微波动迹象的颈前部肿块。超声检查结果符合出血性/感染过度的甲状腺结节,遂开始对患者使用广谱抗生素。由于临床症状恶化,进行了颈部CT扫描,结果显示甲状腺脓肿并蔓延至咽后间隙。她接受了手术引流,分离出混合厌氧菌,对正在使用的抗生素敏感。在多学科随访中,进行了食管钡餐检查、喉镜检查和颈部磁共振成像(MRI),未发现解剖学缺陷。AST在儿童中是一种罕见疾病,但可能致命,因此早期识别和治疗至关重要。我们旨在引起对这种疾病及其鉴别诊断的关注,以降低相关的发病率和死亡率。

https://cdn.ncbi.nlm.nih.gov/pmc/blobs/7b5d/10982137/39b1f0788bf0/cureus-0016-00000055275-i01.jpg

相似文献

1
Acute Suppurative Thyroiditis in Childhood: An Atypical Presentation.
Cureus. 2024 Feb 29;16(2):e55275. doi: 10.7759/cureus.55275. eCollection 2024 Feb.
2
Acute Suppurative Thyroiditis (AST) With Thyroid Abscess: A Rare and Potentially Fatal Neck Infection.
Cureus. 2022 Sep 11;14(9):e29062. doi: 10.7759/cureus.29062. eCollection 2022 Sep.
3
Imaging studies in sixty patients with acute suppurative thyroiditis.
Thyroid. 2011 Oct;21(10):1075-80. doi: 10.1089/thy.2010.0366. Epub 2011 Aug 29.
5
Refractory acute suppurative thyroiditis secondary to pyriform sinus fistula.
Ann Pediatr Endocrinol Metab. 2014 Jun;19(2):104-7. doi: 10.6065/apem.2014.19.2.104. Epub 2014 Jun 30.
7
Recurrent neck lesions secondary to pyriform sinus fistula.
Eur Arch Otorhinolaryngol. 2016 Mar;273(3):735-9. doi: 10.1007/s00405-015-3572-2. Epub 2015 Feb 24.
10
Acute suppurative thyroiditis due to leading to sepsis and acute respiratory distress syndrome: a case report.
Arch Endocrinol Metab. 2021 Nov 24;65(6):846-851. doi: 10.20945/2359-3997000000420. Epub 2021 Nov 11.

本文引用的文献

1
Clinical Analysis of Acute Suppurative Thyroiditis in 18 Children.
Infect Drug Resist. 2022 Aug 12;15:4471-4477. doi: 10.2147/IDR.S377279. eCollection 2022.
2
Suppurative thyroiditis: Systematic review and clinical guidance.
Clin Endocrinol (Oxf). 2021 Aug;95(2):253-264. doi: 10.1111/cen.14440. Epub 2021 Mar 2.
3
Considerations for Empiric Antimicrobial Therapy in Sepsis and Septic Shock in an Era of Antimicrobial Resistance.
J Infect Dis. 2020 Jul 21;222(Suppl 2):S119-S131. doi: 10.1093/infdis/jiaa221.
4
Aspiration with or without lavage in the treatment of acute suppurative thyroiditis secondary to pyriform sinus fistula.
Arch Endocrinol Metab. 2020 Apr;64(2):128-137. doi: 10.20945/2359-3997000000207. Epub 2020 Mar 27.
5
Suppurative thyroiditis.
Clin Case Rep. 2018 Mar 5;6(5):951-952. doi: 10.1002/ccr3.1463. eCollection 2018 May.
6
Recurrent neck lesions secondary to pyriform sinus fistula.
Eur Arch Otorhinolaryngol. 2016 Mar;273(3):735-9. doi: 10.1007/s00405-015-3572-2. Epub 2015 Feb 24.
8
Atypical presentation of acute suppurative thyroiditis in an immunocompetent patient.
Endocrinol Nutr. 2013 Apr;60(4):211-3. doi: 10.1016/j.endonu.2012.02.011. Epub 2012 Jun 7.
9
Acute suppurative thyroiditis in young children.
J Paediatr Child Health. 2012 Mar;48(3):E116-8. doi: 10.1111/j.1440-1754.2011.02075.x. Epub 2011 Apr 29.
10
Acute bacterial suppurative thyroiditis: a clinical review and expert opinion.
Thyroid. 2010 Mar;20(3):247-55. doi: 10.1089/thy.2008.0146.

文献AI研究员

20分钟写一篇综述,助力文献阅读效率提升50倍。

立即体验

用中文搜PubMed

大模型驱动的PubMed中文搜索引擎

马上搜索

文档翻译

学术文献翻译模型,支持多种主流文档格式。

立即体验