Olapeju Olanrewaju, Shakesprere Jonathan, Boykin Carie, Bacaj Patrick, Salkini Mohamad, Kolodney Joanna
Department of Pathology, West Virginia University School of Medicine, Morgantown, WV 26506, USA.
Department of Internal Medicine, West Virginia University School of Medicine, Morgantown, WV 26506, USA.
Melanoma Manag. 2024 Mar 25;10(4):MMT67. doi: 10.2217/mmt-2023-0009. eCollection 2024 Feb.
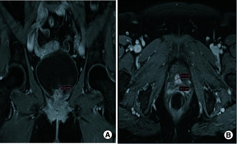
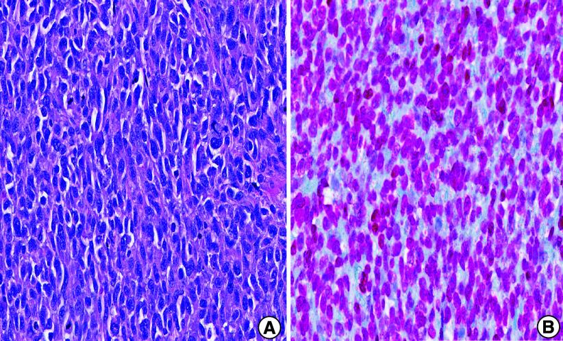
Primary malignant melanoma of the genitourinary tract is extremely rare. We present two such cases in elderly Caucasian females. An 81-year-old female with urinary retention and polypoid urinary bladder mass and a 72-year-old female with gross hematuria and urethral caruncle. After thorough evaluation, they were both eventually diagnosed with primary urogenital melanoma (SOX10 and MART1-positive in tumor cells). In both cases, the presence of melanoma-- and absence of primary melanoma in other sites were consistent with primary urogenital melanoma. Immunotherapy with PD-1 inhibitors and use of neoadjuvant and adjuvant treatment are promising, as treatment guidelines remain unclear and overall survival is low. Additional clinical reporting of primary urogenital melanomas can help in better understanding and ultimately treating it.
泌尿生殖道原发性恶性黑色素瘤极为罕见。我们在此呈现两例发生于老年白种女性的此类病例。一名81岁女性,有尿潴留及膀胱息肉样肿物;另一名72岁女性,有肉眼血尿及尿道肉阜。经过全面评估,她们最终均被诊断为原发性泌尿生殖道黑色素瘤(肿瘤细胞中SOX10和MART1呈阳性)。在这两例病例中,黑色素瘤的存在以及其他部位未发现原发性黑色素瘤均符合原发性泌尿生殖道黑色素瘤的特征。由于治疗指南仍不明确且总体生存率较低,使用PD - 1抑制剂进行免疫治疗以及新辅助和辅助治疗颇具前景。原发性泌尿生殖道黑色素瘤的更多临床报告有助于更好地理解并最终对其进行治疗。