• 文献检索
  • 文档翻译
  • 深度研究
  • 学术资讯
  • Suppr Zotero 插件Zotero 插件
  • 邀请有礼
  • 套餐&价格
  • 历史记录
应用&插件
Suppr Zotero 插件Zotero 插件浏览器插件Mac 客户端Windows 客户端微信小程序
定价
高级版会员购买积分包购买API积分包
服务
文献检索文档翻译深度研究API 文档MCP 服务
关于我们
关于 Suppr公司介绍联系我们用户协议隐私条款
关注我们

Suppr 超能文献

核心技术专利:CN118964589B侵权必究
粤ICP备2023148730 号-1Suppr @ 2026

文献检索

告别复杂PubMed语法,用中文像聊天一样搜索,搜遍4000万医学文献。AI智能推荐,让科研检索更轻松。

立即免费搜索

文件翻译

保留排版,准确专业,支持PDF/Word/PPT等文件格式,支持 12+语言互译。

免费翻译文档

深度研究

AI帮你快速写综述,25分钟生成高质量综述,智能提取关键信息,辅助科研写作。

立即免费体验

乌干达西部一家宫颈癌诊所就诊女性血清P16ink4A浓度与宫颈上皮内瘤变及宫颈癌的关联:一项病例对照研究。

Association between serum P16ink4A concentration and CIN and cervical cancer among women attending a cervical cancer clinic in western Uganda: A case control study.

作者信息

Ssedyabane Frank, Ngonzi Joseph, Tusubira Deusdedit, Nambi Najjuma Josephine, Kajabwangu Rogers, Okeny Christopher, Nuwashaba Doreen, Namuli Alexcer, Niyonzima Nixon

机构信息

Department of Medical Laboratory Science, Faculty of Medicine, Mbarara University of Science of Science and Technology, P.O. Box 1410, Mbarara, Uganda.

Department of Obstetrics and Gynecology, Mbarara University of Science of Science and Technology, P.O. Box 1410, Mbarara, Uganda.

出版信息

Gynecol Oncol Rep. 2024 Mar 31;53:101388. doi: 10.1016/j.gore.2024.101388. eCollection 2024 Jun.

DOI:10.1016/j.gore.2024.101388
PMID:38590932
原文链接:https://pmc.ncbi.nlm.nih.gov/articles/PMC10999470/
Abstract

INTRODUCTION

Tissue expression of P16ink4A is correlated with cervical lesions. In this study we determined the association between serum P16ink4A concentrations and cervical lesions among women attending the cervical cancer clinic at Mbarara Regional Hospital (MRRH) South Western Uganda.

MATERIAL AND METHODS

We recruited 90 cervical intraepithelial neoplasia (CIN) cases, 90 cervical cancer (CC) cases before treatment and 90 controls. Clinical and demographic data were recorded. Serum P16ink4A concentrations were measured by quantitative Elisa. Cases were confirmed with cytology and/or histology. Descriptive statistics and logistic regression were done with STATA 17 and P-values of <0.05 were considered statistically significant.

RESULTS

The mean serum P16ink4A concentration among CIN cases, CC cases and controls was 1.11(+/-0.66) ng/ml, 1.45(+/-1.11) ng/ml and 1.13(+/-0.61) ng/ml respectively (p = 0.008). 50 % of CIN cases and controls as well as 60 % of CC cases had P16ink4A concentration above 0.946 ng/ml. There were increased odds of CIN for serum P16ink4A though statistically insignificant (AOR: 1.11, p-value: 0.70). There was also a statistically significant reduction in odds of CC for serum P16ink4A (AOR: 0.55, p-value: 0.01).

CONCLUSION

Serum P16ink4A may likely be associated with cervical lesions especially CC in our study population and this may aid detection of such lesions. Diagnostic utility studies for circulating P16ink4A in detection of cervical cancer are recommended.

摘要

引言

P16ink4A的组织表达与宫颈病变相关。在本研究中,我们确定了乌干达西南部姆巴拉拉地区医院(MRRH)宫颈癌门诊女性血清P16ink4A浓度与宫颈病变之间的关联。

材料与方法

我们招募了90例宫颈上皮内瘤变(CIN)病例、90例治疗前宫颈癌(CC)病例和90例对照。记录临床和人口统计学数据。通过定量酶联免疫吸附测定法测量血清P16ink4A浓度。病例通过细胞学和/或组织学确诊。使用STATA 17进行描述性统计和逻辑回归分析,P值<0.05被认为具有统计学意义。

结果

CIN病例、CC病例和对照的血清P16ink4A平均浓度分别为1.11(±0.66)ng/ml、1.45(±1.11)ng/ml和1.13(±0.61)ng/ml(p = 0.008)。50%的CIN病例和对照以及60%的CC病例的P16ink4A浓度高于0.946 ng/ml。血清P16ink4A浓度升高时CIN的发病几率增加,尽管无统计学意义(调整后比值比:1.11,P值:0.70)。血清P16ink4A浓度升高时CC的发病几率也有统计学意义的降低(调整后比值比:0.55,P值:0.01)。

结论

在我们的研究人群中,血清P16ink4A可能与宫颈病变尤其是CC相关,这可能有助于此类病变的检测。建议开展关于循环P16ink4A在宫颈癌检测中的诊断效用研究。

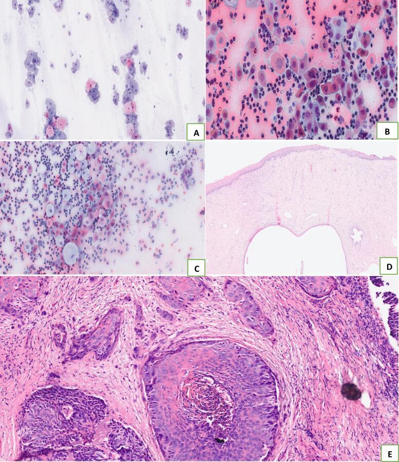
https://cdn.ncbi.nlm.nih.gov/pmc/blobs/8ae0/10999470/d452a49a5967/gr2.jpg
https://cdn.ncbi.nlm.nih.gov/pmc/blobs/8ae0/10999470/9156436ac898/gr1.jpg
https://cdn.ncbi.nlm.nih.gov/pmc/blobs/8ae0/10999470/d452a49a5967/gr2.jpg
https://cdn.ncbi.nlm.nih.gov/pmc/blobs/8ae0/10999470/9156436ac898/gr1.jpg
https://cdn.ncbi.nlm.nih.gov/pmc/blobs/8ae0/10999470/d452a49a5967/gr2.jpg

相似文献

1
Association between serum P16ink4A concentration and CIN and cervical cancer among women attending a cervical cancer clinic in western Uganda: A case control study.乌干达西部一家宫颈癌诊所就诊女性血清P16ink4A浓度与宫颈上皮内瘤变及宫颈癌的关联:一项病例对照研究。
Gynecol Oncol Rep. 2024 Mar 31;53:101388. doi: 10.1016/j.gore.2024.101388. eCollection 2024 Jun.
2
FOXP3 serum concentration; a likely predictor of CIN and cervical cancer: Secondary analysis from a case control study at a clinic in South western Uganda.FOXP3血清浓度:宫颈上皮内瘤变和宫颈癌的可能预测指标——乌干达西南部一家诊所病例对照研究的二次分析
Gynecol Oncol Rep. 2024 Jul 24;55:101466. doi: 10.1016/j.gore.2024.101466. eCollection 2024 Oct.
3
Association between obesity and cervical intraepithelial neoplasia: results from a case control study in south western Uganda.肥胖与宫颈上皮内瘤变的相关性:来自乌干达西南部的一项病例对照研究结果。
BMC Womens Health. 2023 Apr 4;23(1):159. doi: 10.1186/s12905-023-02315-1.
4
Association between dyslipidemia and cervical intraepithelial neoplasia: A case-control study in south-western Uganda.血脂异常与宫颈上皮内瘤变之间的关联:乌干达西南部的一项病例对照研究。
Afr J Lab Med. 2024 Jul 16;13(1):2374. doi: 10.4102/ajlm.v13i1.2374. eCollection 2024.
5
Liquid-based cytology--new possibilities in the diagnosis of cervical lesions.液基细胞学——宫颈病变诊断的新可能性。
Coll Antropol. 2010 Mar;34(1):19-24.
6
Expression of p16INK4A Protein in Cervical Intraepithelial Neoplasia and Invasive Carcinoma of Uterine Cervix.p16INK4A蛋白在子宫颈上皮内瘤变及子宫颈浸润癌中的表达
J Clin Diagn Res. 2017 Sep;11(9):EC17-EC20. doi: 10.7860/JCDR/2017/29394.10644. Epub 2017 Sep 1.
7
Utility of p16INK4a expression for the interpretation of uterine cervical biopsies in Kenya.肯尼亚人乳头瘤病毒 p16INK4a 表达在子宫颈活检中的应用。
Pan Afr Med J. 2021 Sep 22;40:55. doi: 10.11604/pamj.2021.40.55.21116. eCollection 2021.
8
Prevalence of cervical intraepithelial lesions and associated factors among women attending a cervical cancer clinic in Western Uganda; results based on Pap smear cytology.乌干达西部一家宫颈癌诊所就诊女性中宫颈上皮内病变的患病率及相关因素;基于巴氏涂片细胞学检查的结果
SAGE Open Med. 2024 May 16;12:20503121241252265. doi: 10.1177/20503121241252265. eCollection 2024.
9
[Expression of human papilloma virus (HPV) and P16ink4a in cervical intraepithelial neoplasia (CIN) and papilloma].人乳头瘤病毒(HPV)和P16ink4a在宫颈上皮内瘤变(CIN)和乳头状瘤中的表达
Akush Ginekol (Sofiia). 2006;45(1):27-31.
10
Combined p16INK4a and human papillomavirus testing improves the prediction of cervical intraepithelial neoplasia (CIN II-III) in Thai patients with low-grade cytological abnormalities.联合检测p16INK4a和人乳头瘤病毒可改善对泰国低度细胞学异常患者宫颈上皮内瘤变(CIN II-III)的预测。
Asian Pac J Cancer Prev. 2011;12(7):1777-83.

引用本文的文献

1
Diagnostic Accuracy of Serum P16ink4A and FOX-P3 Concentrations for Detection of Cervical Lesions Among Women Attending a Cervical Cancer Clinic in Western Uganda: A Case-Control Study.乌干达西部一家宫颈癌诊所就诊女性中血清P16ink4A和FOX-P3浓度检测宫颈病变的诊断准确性:一项病例对照研究
Anal Cell Pathol (Amst). 2025 May 6;2025:1931921. doi: 10.1155/ancp/1931921. eCollection 2025.
2
FOXP3 serum concentration; a likely predictor of CIN and cervical cancer: Secondary analysis from a case control study at a clinic in South western Uganda.FOXP3血清浓度:宫颈上皮内瘤变和宫颈癌的可能预测指标——乌干达西南部一家诊所病例对照研究的二次分析
Gynecol Oncol Rep. 2024 Jul 24;55:101466. doi: 10.1016/j.gore.2024.101466. eCollection 2024 Oct.

本文引用的文献

1
Risk factors for human papillomavirus infection, cervical intraepithelial neoplasia and cervical cancer: an umbrella review and follow-up Mendelian randomisation studies.人乳头瘤病毒感染、宫颈上皮内瘤变和宫颈癌的危险因素:伞式综述和后续孟德尔随机研究。
BMC Med. 2023 Jul 27;21(1):274. doi: 10.1186/s12916-023-02965-w.
2
Social network-based group intervention to promote uptake of cervical cancer screening in Uganda: study protocol for a pilot randomized controlled trial.基于社交网络的群体干预措施促进乌干达宫颈癌筛查的开展:一项试点随机对照试验的研究方案
Pilot Feasibility Stud. 2022 Dec 7;8(1):247. doi: 10.1186/s40814-022-01211-z.
3
Cervical cancer screening among HIV-positive women in urban Uganda: a cross sectional study.
乌干达城市地区 HIV 阳性妇女的宫颈癌筛查:一项横断面研究。
BMC Womens Health. 2022 May 10;22(1):148. doi: 10.1186/s12905-022-01743-9.
4
Expression analysis of p16 and TOP2A protein biomarkers in cervical cancer lesions and their correlation with clinico-histopathological characteristics in a referral hospital, Tanzania.在坦桑尼亚的一家转诊医院,分析宫颈癌病变中 p16 和 TOP2A 蛋白生物标志物的表达及其与临床病理特征的相关性。
PLoS One. 2021 Oct 27;16(10):e0259096. doi: 10.1371/journal.pone.0259096. eCollection 2021.
5
Worldwide initiatives to eliminate cervical cancer.全球消除宫颈癌倡议。
Int J Gynaecol Obstet. 2021 Oct;155 Suppl 1(Suppl 1):102-106. doi: 10.1002/ijgo.13879.
6
Burden of Risk Factors for Cervical Cancer Among Women Living in East Africa: An Analysis of the Latest Demographic Health Surveys Conducted Between 2014 and 2017.东非地区女性宫颈癌的风险因素负担:对 2014 年至 2017 年期间开展的最新人口健康调查的分析。
JCO Glob Oncol. 2021 Jul;7:1116-1128. doi: 10.1200/GO.21.00123.
7
Global Cancer Statistics 2020: GLOBOCAN Estimates of Incidence and Mortality Worldwide for 36 Cancers in 185 Countries.《全球癌症统计数据 2020:全球 185 个国家和地区 36 种癌症的发病率和死亡率估计》。
CA Cancer J Clin. 2021 May;71(3):209-249. doi: 10.3322/caac.21660. Epub 2021 Feb 4.
8
Cervical cancer: Epidemiology, risk factors and screening.宫颈癌:流行病学、危险因素与筛查
Chin J Cancer Res. 2020 Dec 31;32(6):720-728. doi: 10.21147/j.issn.1000-9604.2020.06.05.
9
Designing an exercise intervention for adult survivors of childhood cancers.为儿童癌症成年幸存者设计一项锻炼干预措施。
BMC Cancer. 2021 Jan 4;21(1):1. doi: 10.1186/s12885-020-07763-8.
10
Predictors of cervical cancer screening uptake in two districts of Central Uganda.乌干达中部两个地区宫颈癌筛查接受度的预测因素。
PLoS One. 2020 Dec 3;15(12):e0243281. doi: 10.1371/journal.pone.0243281. eCollection 2020.