Suppr超能文献

坏死性脓胸:一例报告

Empyema Necessitans: A Case Report.

作者信息

Zeinab El Mawla, Dima Zoghaib, Haji Al Saylami

机构信息

Faculty of Medicine, Department of Pulmonary & Critical Care, Lebanese University, Beirut, Lebanon.

Faculty of Medicine, Department of Internal Medicine, Lebanese University, Beirut, Lebanon.

出版信息

IDCases. 2024 Apr 2;36:e01939. doi: 10.1016/j.idcr.2024.e01939. eCollection 2024.

Abstract

INTRODUCTION

TB is a well-recognized cause of pulmonary infection. Empyema Necessitans is a rare complication of untreated empyema, mainly caused by mycobacterium tuberculosis. It mainly affects immunocompromised individuals.

CASE PRESENTATION

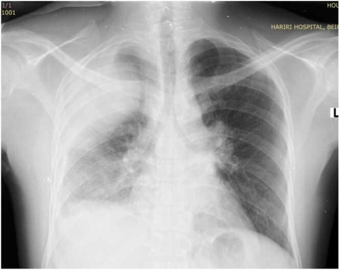
We present a case of 28 years old gentleman, Sudanese, with intermittent fever, non-productive cough, weight loss and night sweats. Chest X-ray then CT chest revealed a large right pleural collection invading the chest wall. Chest tube was inserted, fluid analysis was taken, and a bronchoscopy was done. A diagnosis of Empyema Necessitans was confirmed and patient was started on anti-TB regimen with clinical improvement.

CONCLUSION

Empyema Necessitans is a severe disease, complicating pulmonary tuberculosis. Diagnosis can be a challenge. Surgical and medical approaches are both crucial in the treatment of EN. This case highlights the importance of early recognition and diagnosis of this rare but aggressive condition particularly in TB endemic area.

摘要

引言

结核病是肺部感染的一个广为人知的病因。坏死性脓胸是未经治疗的脓胸的一种罕见并发症,主要由结核分枝杆菌引起。它主要影响免疫功能低下的个体。

病例介绍

我们报告一例28岁的苏丹男性患者,有间歇性发热、干咳、体重减轻和盗汗症状。胸部X线检查及随后的胸部CT显示右侧胸腔有大量积液并侵犯胸壁。插入胸腔引流管,进行了液体分析,并做了支气管镜检查。确诊为坏死性脓胸,患者开始接受抗结核治疗,临床症状有所改善。

结论

坏死性脓胸是一种严重疾病,是肺结核的并发症。诊断可能具有挑战性。手术和药物治疗方法在坏死性脓胸的治疗中都至关重要。该病例突出了早期识别和诊断这种罕见但侵袭性疾病的重要性,特别是在结核病流行地区。

https://cdn.ncbi.nlm.nih.gov/pmc/blobs/2c5b/11002650/6a08e1d7c0fa/gr1.jpg

文献检索

告别复杂PubMed语法,用中文像聊天一样搜索,搜遍4000万医学文献。AI智能推荐,让科研检索更轻松。

立即免费搜索

文件翻译

保留排版,准确专业,支持PDF/Word/PPT等文件格式,支持 12+语言互译。

免费翻译文档

深度研究

AI帮你快速写综述,25分钟生成高质量综述,智能提取关键信息,辅助科研写作。

立即免费体验