Department of Liver Surgery and Transplantation, Liver Cancer Institute, Zhongshan Hospital, Key Laboratory of Carcinogenesis and Cancer Invasion of Ministry of Education, Fudan University, Shanghai, China.
Research Unit of Liver cancer Recurrence and Metastasis, Chinese Academy of Medical Sciences, Beijing, China.
Cell Oncol (Dordr). 2024 Aug;47(4):1391-1403. doi: 10.1007/s13402-024-00934-w. Epub 2024 Apr 12.
GPX8, which is found in the endoplasmic reticulum lumen, is a member of the Glutathione Peroxidases (GPXs) family. Its role in hepatocellular carcinoma (HCC) is unknown.
Immunohistochemical staining was used to detect the protein levels of GPX8 in HCC tissue microarrays. A short hairpin RNA lentivirus was used to knock down GPX8, and the main signaling pathways were investigated using transcriptome sequencing and a phosphorylated kinase array. The sphere formation assays, cloning-formation assays and cell migration assays were used to evaluate the stemness and migration ability of HCC cells. Identifying the GPX8-interacting proteins was accomplished through immunoprecipitation and protein mass spectrometry.
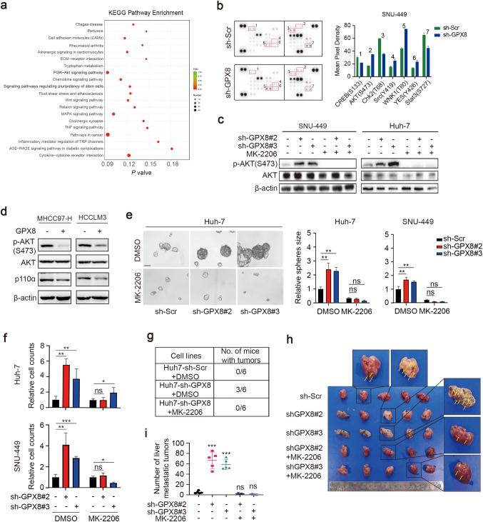
The GPX8 protein levels were downregulated in HCC patients. Low expression of GPX8 protein was related to early recurrence and poor prognosis in HCC patients. GPX8 knockdown could enhance the stemness and migration ability of HCC cells. Consistently, Based on transcriptome analysis, multiple signaling pathways that include the PI3K-AKT and signaling pathways that regulate the pluripotency of stem cells, were activated after GPX8 knockdown. The downregulation of GPX8 could increase the expression of the tumor stemness markers KLF4, OCT4, and CD133. The in vivo downregulation of GPX8 could also promote the subcutaneous tumor-forming and migration ability of HCC cells. MK-2206, which is a small-molecule inhibitor of AKT, could reverse the tumor-promoting effects both in vivo and in vitro. We discovered that GPX8 and the 71-kDa heat shock cognate protein (Hsc70) have a direct interaction. The phosphorylation of AKT encouraged the translocation of Hsc70 into the nucleus and the expression of the PI3K p110 subunit, thereby increasing the downregulation of GPX8.
The findings from this study demonstrate the anticancer activity of GPX8 in HCC by inactivating the Hsc70/AKT pathway. The results suggest a possible therapeutic target for HCC.
GPX8 位于内质网腔中,是谷胱甘肽过氧化物酶(GPXs)家族的一员。其在肝细胞癌(HCC)中的作用尚不清楚。
使用免疫组织化学染色检测 HCC 组织微阵列中 GPX8 的蛋白水平。使用短发夹 RNA 慢病毒敲低 GPX8,并通过转录组测序和磷酸化激酶阵列研究主要信号通路。球体形成实验、克隆形成实验和细胞迁移实验用于评估 HCC 细胞的干性和迁移能力。通过免疫沉淀和蛋白质质谱鉴定 GPX8 相互作用蛋白。
GPX8 蛋白水平在 HCC 患者中下调。GPX8 蛋白低表达与 HCC 患者的早期复发和预后不良相关。GPX8 敲低可增强 HCC 细胞的干性和迁移能力。基于转录组分析,包括 PI3K-AKT 信号通路和调节干细胞多能性的信号通路在内的多种信号通路在 GPX8 敲低后被激活。GPX8 的下调可增加肿瘤干性标志物 KLF4、OCT4 和 CD133 的表达。GPX8 的体内下调也可促进 HCC 细胞的皮下肿瘤形成和迁移能力。AKT 的小分子抑制剂 MK-2206 可在体内和体外逆转肿瘤促进作用。我们发现 GPX8 与 71kDa 热休克同源蛋白(Hsc70)有直接相互作用。AKT 的磷酸化促进 Hsc70 易位入核,并增加 PI3K p110 亚基的表达,从而降低 GPX8 的表达。
本研究通过使 Hsc70/AKT 通路失活来证明 GPX8 在 HCC 中的抗癌活性。结果提示 GPX8 可能成为 HCC 的治疗靶点。