Center for Molecular Neurobiology, University Medical Center Hamburg-Eppendorf, 20251 Hamburg, Germany.
Department of Anatomy and Embryology, Faculty of Veterinary Medicine, New Valley University, 72511 El-Kharga, Egypt.
Sci Adv. 2024 Apr 12;10(15):eadf7001. doi: 10.1126/sciadv.adf7001.
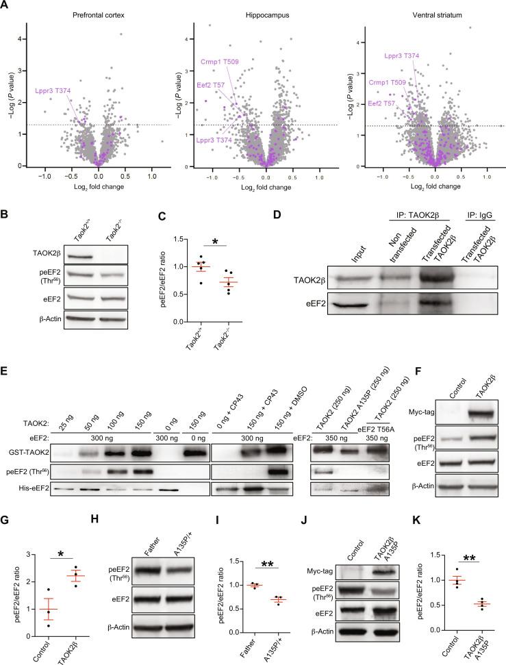
Genes implicated in translation control have been associated with autism spectrum disorders (ASDs). However, some important genetic causes of autism, including the microdeletion, bear no obvious connection to translation. Here, we use proteomics, genetics, and translation assays in cultured cells and mouse brain to reveal altered translation mediated by loss of the kinase TAOK2 in deletion models. We show that TAOK2 associates with the translational machinery and functions as a translational brake by phosphorylating eukaryotic elongation factor 2 (eEF2). Previously, all signal-mediated regulation of translation elongation via eEF2 phosphorylation was believed to be mediated by a single kinase, eEF2K. However, we show that TAOK2 can directly phosphorylate eEF2 on the same regulatory site, but functions independently of eEF2K signaling. Collectively, our results reveal an eEF2K-independent signaling pathway for control of translation elongation and suggest altered translation as a molecular component in the etiology of some forms of ASD.
与自闭症谱系障碍(ASD)相关的基因涉及翻译控制。然而,一些重要的自闭症遗传病因,包括微缺失,与翻译没有明显的联系。在这里,我们使用蛋白质组学、遗传学和培养细胞及小鼠大脑中的翻译测定来揭示缺失模型中 TAOK2 缺失介导的翻译变化。我们表明 TAOK2 与翻译机制相关,并通过磷酸化真核延伸因子 2(eEF2)起翻译刹车的作用。以前,所有通过 eEF2 磷酸化介导的信号对翻译延伸的调节都被认为是由单一激酶 eEF2K 介导的。然而,我们表明 TAOK2 可以在相同的调节位点上直接磷酸化 eEF2,但独立于 eEF2K 信号。总的来说,我们的结果揭示了一种 eEF2K 独立的信号通路,用于控制翻译延伸,并表明翻译改变是某些形式 ASD 的病因学中的一个分子成分。