Suppr超能文献

丹参酮IIA通过KDM1A调节PIAS4介导的SLC7A11的SUMO化,使SLC7A11不稳定,并促进乳腺癌中的铁死亡。

Tanshinone IIA destabilizes SLC7A11 by regulating PIAS4-mediated SUMOylation of SLC7A11 through KDM1A, and promotes ferroptosis in breast cancer.

作者信息

Luo Na, Zhang KeJing, Li Xin, Hu Yu, Guo Lei

机构信息

Department of General Surgery, Xiangya Hospital, Central South University, Changsha, Hunan 410008, China; Clinical Research Center For Breast Cancer Control and Prevention in Hunan Province, China.

Department of General Surgery, Xiangya Hospital, Central South University, Changsha, Hunan 410008, China; Clinical Research Center For Breast Cancer Control and Prevention in Hunan Province, China.

出版信息

J Adv Res. 2025 Mar;69:313-327. doi: 10.1016/j.jare.2024.04.009. Epub 2024 Apr 12.

Abstract

INTRODUCTION

Breast cancer (BC) is the most common malignancy in women with unfavorite prognosis.

OBJECTIVES

Tanshinone IIA (Tan IIA) inhibits BC progression, however, the underlying mechanism remains largely undefined.

METHODS

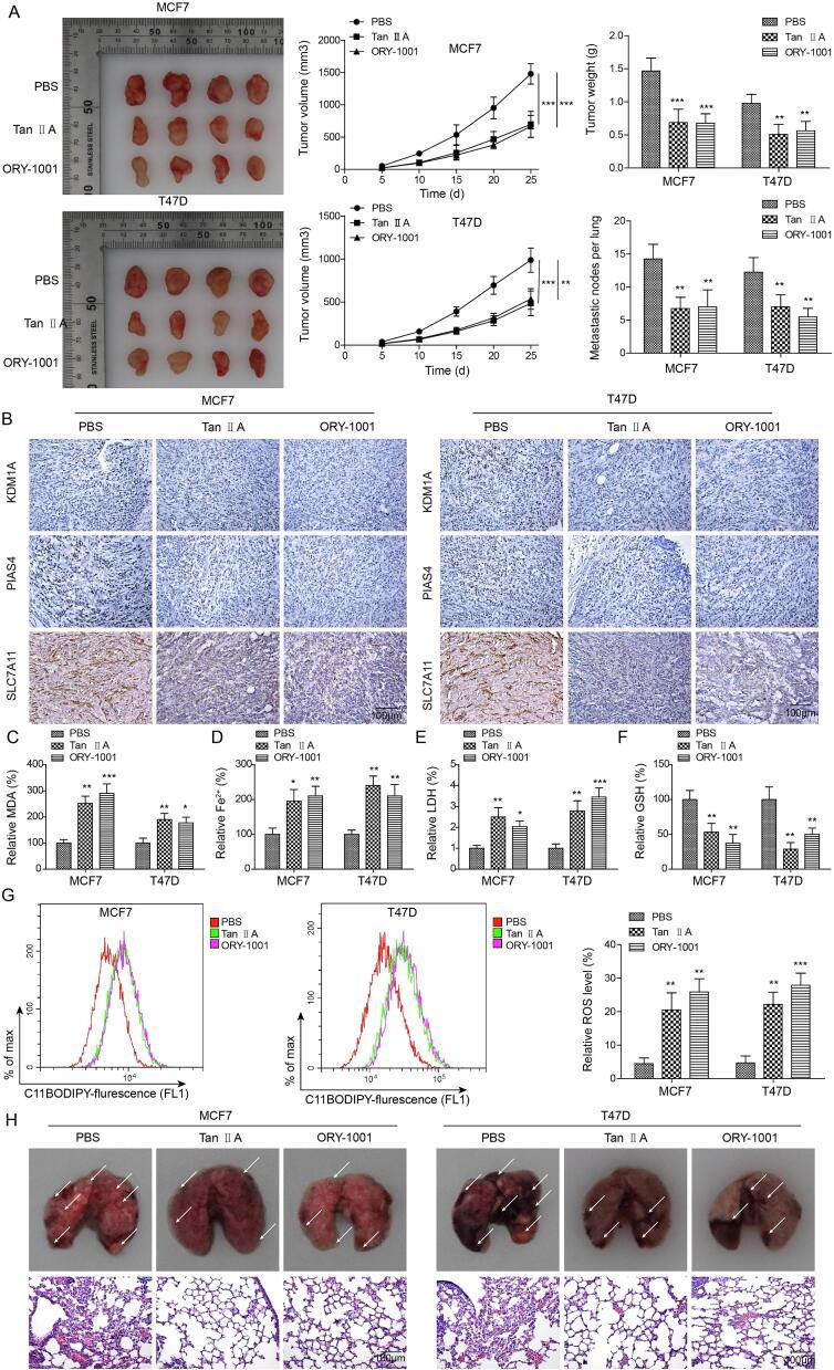
The cytotoxicity of Tan IIA was assessed by CCK-8 and LDH assays. Ferroptosis was monitored by the level of MDA, Fe, lipid ROS and GSH. IHC and western blot were employed to detect the localization and expression of SLC7A11, PIAS4, KDM1A and other key molecules. The SUMOylation of SLC7A11 was detected by Ni-beads pull-down assay and Co-IP. Luciferase and ChIP assays were employed to detect the direct association between KDM1A and PIAS4 promoter. The proliferative and metastatic properties of BC cells were assessed by colony formation, CCK-8 and Transwell assays, respectively. The in vitro findings were verified in xenograft and lung metastasis models.

RESULTS

Tan IIA promoted ferroptosis by suppressing SLC7A11 in BC cells. Silencing of PIAS4 or KDM1A inhibited cell growth and metastasis in BC. Mechanistically, PIAS4 facilitated the SUMOylation of SLC7A11 via direct binding to SLC7A11, and KDM1A acted as a transcriptional activator of PIAS4. Functional studies further revealed that Tan IIA decreased KDM1A expression, thus suppressing PIAS4 expression transcriptionally. The inhibition of PIAS4-dependent SUMOylation of SLC7A11 further induced ferroptosis, thereby inhibiting proliferation and metastasis in BC.

CONCLUSION

Tan IIA promoted ferroptosis and inhibited tumor growth and metastasis via suppressing KDM1A/PIAS4/SLC7A11 axis.

摘要

引言

乳腺癌(BC)是女性中最常见的恶性肿瘤,预后不佳。

目的

丹参酮IIA(Tan IIA)可抑制BC进展,但其潜在机制在很大程度上仍不明确。

方法

通过CCK-8和LDH测定评估Tan IIA的细胞毒性。通过丙二醛(MDA)、铁(Fe)、脂质活性氧(ROS)和谷胱甘肽(GSH)水平监测铁死亡。采用免疫组化(IHC)和蛋白质印迹法检测溶质载体家族7成员11(SLC7A11)、PIAS4、赖氨酸特异性去甲基化酶1A(KDM1A)及其他关键分子的定位和表达。通过镍珠下拉试验和免疫共沉淀检测SLC7A11的SUMO化修饰。采用荧光素酶和染色质免疫沉淀试验检测KDM1A与PIAS4启动子之间的直接关联。分别通过集落形成试验、CCK-8试验和Transwell试验评估BC细胞的增殖和转移特性。体外研究结果在异种移植和肺转移模型中得到验证。

结果

Tan IIA通过抑制BC细胞中的SLC7A11促进铁死亡。沉默PIAS4或KDM1A可抑制BC细胞的生长和转移。机制上,PIAS4通过直接结合SLC7A11促进SLC7A11的SUMO化修饰,而KDM1A作为PIAS4的转录激活因子发挥作用。功能研究进一步表明,Tan IIA降低KDM1A表达,从而转录抑制PIAS4表达。抑制PIAS4依赖的SLC7A11 SUMO化修饰进一步诱导铁死亡,从而抑制BC细胞的增殖和转移。

结论

Tan IIA通过抑制KDM1A/PIAS4/SLC7A11轴促进铁死亡并抑制肿瘤生长和转移。

https://cdn.ncbi.nlm.nih.gov/pmc/blobs/85f5/11954794/6e98528eb9f8/ga1.jpg

文献检索

告别复杂PubMed语法,用中文像聊天一样搜索,搜遍4000万医学文献。AI智能推荐,让科研检索更轻松。

立即免费搜索

文件翻译

保留排版,准确专业,支持PDF/Word/PPT等文件格式,支持 12+语言互译。

免费翻译文档

深度研究

AI帮你快速写综述,25分钟生成高质量综述,智能提取关键信息,辅助科研写作。

立即免费体验