Suppr超能文献

颞骨鳞状细胞癌:伴有小脑侵犯和脑积水的侵袭性行为。

Temporal bone squamous cell carcinoma: Aggressive behavior coursing with cerebellar invasion and hydrocephalus.

作者信息

de Castro Maria Eduarda Rosário Viveiros, Ferreira-Pinto Pedro Henrique Costa, de Oliveira Ferreira Domênica Baroni Coelho, Brito Ana Carolina Gonçalves, Parise Maud, Correa Eduardo Mendes, Cruz Thaina Zanon, de Freitas Wesley Klein Nunes, de Gouvea Pedro Luiz Ribeiro Carvalho, da Silva Wellerson Novaes, de Sousa Bruna Cavalcante, Videira Hannah Ferreira Machado, Parra Guilherme Freitas, Nigri Flavio

机构信息

Neurosurgery, Department of Surgical Specialties, Pedro Ernesto University Hospital, Rio de Janeiro, Brazil.

Department of Pathology, Universidade do Estado do Rio de Janeiro, Rio de Janeiro, Brazil.

出版信息

Surg Neurol Int. 2024 Mar 15;15:89. doi: 10.25259/SNI_1017_2023. eCollection 2024.

Abstract

BACKGROUND

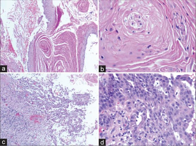
Temporal bone squamous cell carcinoma (TBSCC) is a very rare condition. The prognosis is dismal for advanced tumors. Due to its rarity, information in the literature is scarce. Here, we report a unique case of TBSCC with cerebellar invasion and hydrocephalus.

CASE DESCRIPTION

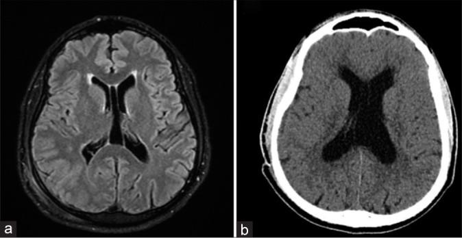
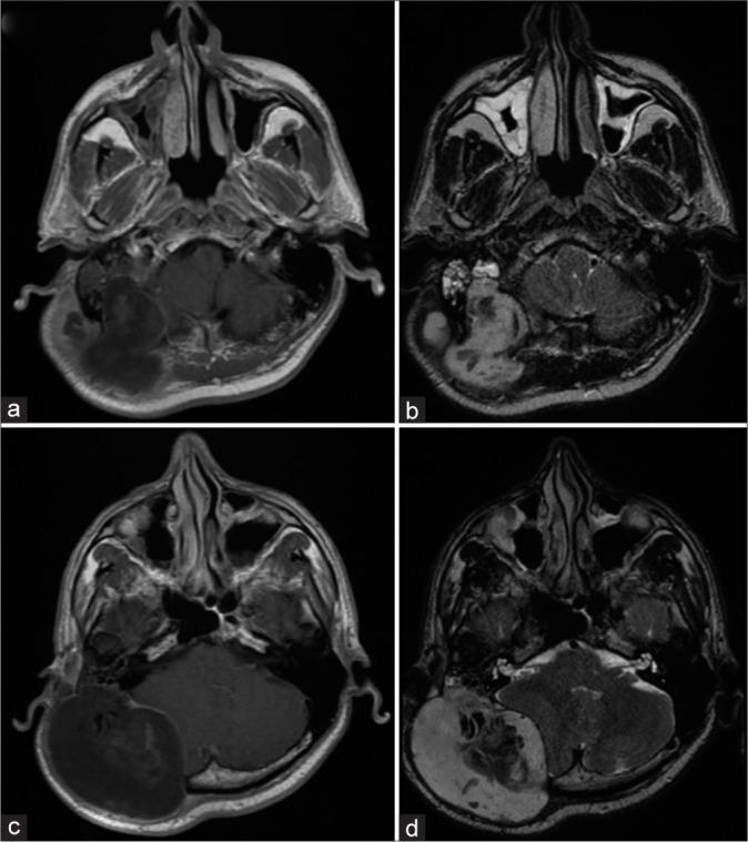
A 46-year-old reported right-sided hearing loss and a painful right retroauricular mass for 4 months. Magnetic resonance imaging revealed a 8.7 × 7.6 × 6.4 cm mass invading the right temporal and occipital bones. After a biopsy and 3 surgical procedures over 6 months, the diagnosis of TBSCC was obtained. Due to invasion of the cerebellar tissue and obstructive hydrocephalus, a ventriculoperitoneal shunt was performed. The patient was referred for adjuvant radiotherapy. However, palliative care was initiated due to tumor progression.

CONCLUSION

We report a case of advanced TBSCC with poor prognosis despite surgical treatment and radiotherapy. More data are necessary to provide new and better treatment to these patients.

摘要

背景

颞骨鳞状细胞癌(TBSCC)是一种非常罕见的疾病。晚期肿瘤的预后很差。由于其罕见性,文献中的信息很少。在此,我们报告一例独特的伴有小脑侵犯和脑积水的TBSCC病例。

病例描述

一名46岁患者报告右侧听力丧失和右侧耳后疼痛性肿块4个月。磁共振成像显示一个8.7×7.6×6.4 cm的肿块侵犯右侧颞骨和枕骨。经过活检和6个月内的3次手术,确诊为TBSCC。由于小脑组织受侵犯和梗阻性脑积水,进行了脑室腹腔分流术。患者被转诊接受辅助放疗。然而,由于肿瘤进展,开始了姑息治疗。

结论

我们报告一例晚期TBSCC病例,尽管进行了手术治疗和放疗,预后仍很差。需要更多数据为这些患者提供新的更好的治疗方法。

https://cdn.ncbi.nlm.nih.gov/pmc/blobs/84c3/11021098/7eba8040ff3f/SNI-15-89-g001.jpg

文献AI研究员

20分钟写一篇综述,助力文献阅读效率提升50倍。

立即体验

用中文搜PubMed

大模型驱动的PubMed中文搜索引擎

马上搜索

文档翻译

学术文献翻译模型,支持多种主流文档格式。

立即体验