• 文献检索
  • 文档翻译
  • 深度研究
  • 学术资讯
  • Suppr Zotero 插件Zotero 插件
  • 邀请有礼
  • 套餐&价格
  • 历史记录
应用&插件
Suppr Zotero 插件Zotero 插件浏览器插件Mac 客户端Windows 客户端微信小程序
定价
高级版会员购买积分包购买API积分包
服务
文献检索文档翻译深度研究API 文档MCP 服务
关于我们
关于 Suppr公司介绍联系我们用户协议隐私条款
关注我们

Suppr 超能文献

核心技术专利:CN118964589B侵权必究
粤ICP备2023148730 号-1Suppr @ 2026

文献检索

告别复杂PubMed语法,用中文像聊天一样搜索,搜遍4000万医学文献。AI智能推荐,让科研检索更轻松。

立即免费搜索

文件翻译

保留排版,准确专业,支持PDF/Word/PPT等文件格式,支持 12+语言互译。

免费翻译文档

深度研究

AI帮你快速写综述,25分钟生成高质量综述,智能提取关键信息,辅助科研写作。

立即免费体验

一例非小细胞肺癌所致MRI阴性的柔脑膜疾病病例

A Case of MRI-Negative Leptomeningeal Disease From Non-small Cell Lung Cancer.

作者信息

Kokavec Andrew, Laba Joanna

机构信息

Otolaryngology - Head and Neck Surgery, London Health Sciences Centre, London, CAN.

Radiation Oncology, London Health Sciences Centre, London, CAN.

出版信息

Cureus. 2024 Mar 22;16(3):e56727. doi: 10.7759/cureus.56727. eCollection 2024 Mar.

DOI:10.7759/cureus.56727
PMID:38646403
原文链接:https://pmc.ncbi.nlm.nih.gov/articles/PMC11032734/
Abstract

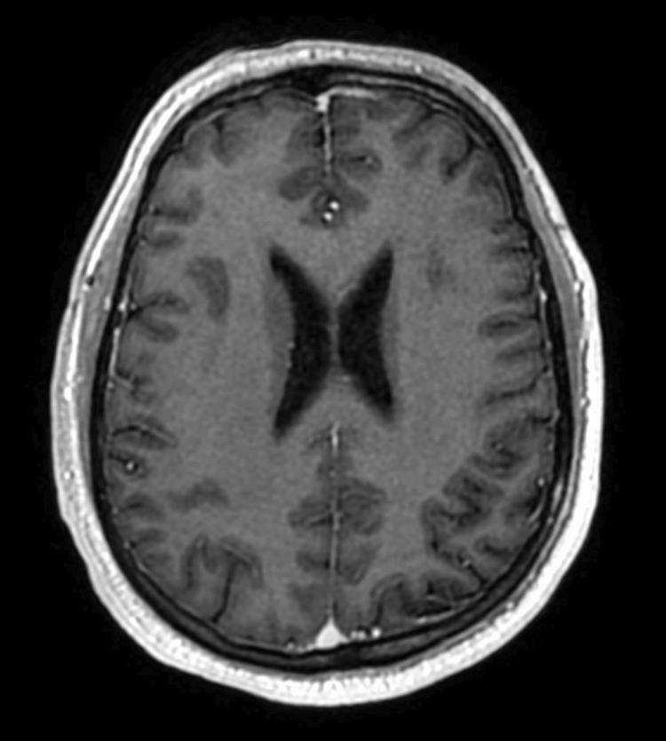
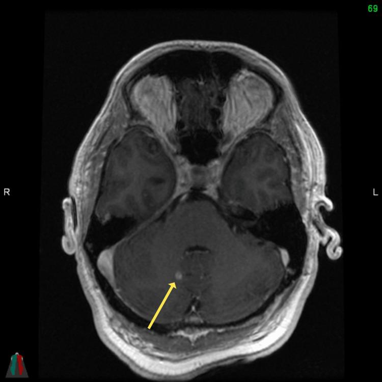
Leptomeningeal disease (LMD) is a rare complication of advanced non-small cell lung cancer (NSCLC), associated with a poor prognosis. We report the case of a 55-year-old man, who presented with a metastatic NSCLC with limited brain and abdominal metastases. He was treated with both chemoimmunotherapy and stereotactic radiotherapy (SRT) to the brain. Despite treatment, the patient experienced progressive neurological symptoms not in keeping with the extent of disease seen on imaging of the brain. Due to this incongruence between symptoms and radiologic findings, he underwent a lumbar puncture, which had positive cytology for LMD. He had a rapid progression of symptoms and died six days after the discovery of LMD. We review the available literature regarding the prevalence of MRI-negative LMD from a solid primary malignancy.

摘要

软脑膜疾病(LMD)是晚期非小细胞肺癌(NSCLC)的一种罕见并发症,预后较差。我们报告了一例55岁男性病例,该患者患有转移性NSCLC,脑和腹部转移灶有限。他接受了化疗免疫治疗和脑部立体定向放射治疗(SRT)。尽管进行了治疗,但患者仍出现了与脑部影像学所见疾病范围不符的进行性神经症状。由于症状与放射学检查结果不一致,他接受了腰椎穿刺,脑脊液细胞学检查显示LMD呈阳性。他的症状迅速进展,在发现LMD后六天死亡。我们回顾了有关实体原发性恶性肿瘤中MRI阴性LMD患病率的现有文献。

https://cdn.ncbi.nlm.nih.gov/pmc/blobs/eace/11032734/307b5c6d5f38/cureus-0016-00000056727-i07.jpg
https://cdn.ncbi.nlm.nih.gov/pmc/blobs/eace/11032734/4c7d39b4deec/cureus-0016-00000056727-i01.jpg
https://cdn.ncbi.nlm.nih.gov/pmc/blobs/eace/11032734/537f7eb0957a/cureus-0016-00000056727-i02.jpg
https://cdn.ncbi.nlm.nih.gov/pmc/blobs/eace/11032734/81739de15b9a/cureus-0016-00000056727-i03.jpg
https://cdn.ncbi.nlm.nih.gov/pmc/blobs/eace/11032734/6ac738fca533/cureus-0016-00000056727-i04.jpg
https://cdn.ncbi.nlm.nih.gov/pmc/blobs/eace/11032734/0fca7ef73c57/cureus-0016-00000056727-i05.jpg
https://cdn.ncbi.nlm.nih.gov/pmc/blobs/eace/11032734/254055e9ac82/cureus-0016-00000056727-i06.jpg
https://cdn.ncbi.nlm.nih.gov/pmc/blobs/eace/11032734/307b5c6d5f38/cureus-0016-00000056727-i07.jpg
https://cdn.ncbi.nlm.nih.gov/pmc/blobs/eace/11032734/4c7d39b4deec/cureus-0016-00000056727-i01.jpg
https://cdn.ncbi.nlm.nih.gov/pmc/blobs/eace/11032734/537f7eb0957a/cureus-0016-00000056727-i02.jpg
https://cdn.ncbi.nlm.nih.gov/pmc/blobs/eace/11032734/81739de15b9a/cureus-0016-00000056727-i03.jpg
https://cdn.ncbi.nlm.nih.gov/pmc/blobs/eace/11032734/6ac738fca533/cureus-0016-00000056727-i04.jpg
https://cdn.ncbi.nlm.nih.gov/pmc/blobs/eace/11032734/0fca7ef73c57/cureus-0016-00000056727-i05.jpg
https://cdn.ncbi.nlm.nih.gov/pmc/blobs/eace/11032734/254055e9ac82/cureus-0016-00000056727-i06.jpg
https://cdn.ncbi.nlm.nih.gov/pmc/blobs/eace/11032734/307b5c6d5f38/cureus-0016-00000056727-i07.jpg

相似文献

1
A Case of MRI-Negative Leptomeningeal Disease From Non-small Cell Lung Cancer.一例非小细胞肺癌所致MRI阴性的柔脑膜疾病病例
Cureus. 2024 Mar 22;16(3):e56727. doi: 10.7759/cureus.56727. eCollection 2024 Mar.
2
Leptomeningeal Metastasis: A Review of the Pathophysiology, Diagnostic Methodology, and Therapeutic Landscape.脑膜转移:病理生理学、诊断方法学和治疗全景的综述。
Curr Oncol. 2023 Jun 19;30(6):5906-5931. doi: 10.3390/curroncol30060442.
3
Leptomeningeal disease following stereotactic radiosurgery for brain metastases from breast cancer.乳腺癌脑转移立体定向放射治疗后的软脑膜疾病
J Neurooncol. 2015 Sep;124(3):421-7. doi: 10.1007/s11060-015-1854-6. Epub 2015 Jun 21.
4
Intrathecal anti-PD-1 treatment in metastatic melanoma patients with leptomeningeal disease (LMD): real-world data and evidence.鞘内注射抗PD-1治疗伴软脑膜疾病(LMD)的转移性黑色素瘤患者:真实世界数据与证据
J Neurooncol. 2024 Dec;170(3):665-673. doi: 10.1007/s11060-024-04843-8. Epub 2024 Oct 18.
5
Treatment and prognosis of leptomeningeal disease secondary to metastatic breast cancer: A single-centre experience.转移性乳腺癌继发脑膜疾病的治疗和预后:单中心经验。
Breast. 2017 Dec;36:54-59. doi: 10.1016/j.breast.2017.07.015. Epub 2017 Sep 29.
6
Keeping a track on leptomeningeal disease in non-small cell lung cancer: A single-institution experience with CNSide.追踪非小细胞肺癌中的柔脑膜疾病:一项使用CNSide的单机构经验。
Neurooncol Adv. 2023 Dec 9;6(1):vdad150. doi: 10.1093/noajnl/vdad150. eCollection 2024 Jan-Dec.
7
Comparison of CSF cytology and spinal magnetic resonance imaging in the detection of leptomeningeal disease in pediatric medulloblastoma or primitive neuroectodermal tumor.脑脊液细胞学检查与脊髓磁共振成像在小儿髓母细胞瘤或原始神经外胚层肿瘤软脑膜疾病检测中的比较
J Clin Oncol. 1999 Oct;17(10):3234-7. doi: 10.1200/JCO.1999.17.10.3234.
8
EGFR-mutated non-small lung cancer brain metastases and radiosurgery outcomes with a focus on leptomeningeal disease.表皮生长因子受体(EGFR)突变的非小细胞肺癌脑转移及放射外科治疗结果,重点关注柔脑膜疾病
J Neurooncol. 2023 Sep;164(2):387-396. doi: 10.1007/s11060-023-04442-z. Epub 2023 Sep 10.
9
Breast brain metastases are associated with increased risk of leptomeningeal disease after stereotactic radiosurgery: a systematic review and meta-analysis.脑转移瘤与立体定向放射外科后发生脑膜疾病的风险增加相关:系统评价和荟萃分析。
Clin Exp Metastasis. 2020 Apr;37(2):341-352. doi: 10.1007/s10585-020-10019-1. Epub 2020 Jan 16.
10
Radiotherapy in Leptomeningeal Disease: A Systematic Review of Randomized and Non-randomized Trials.柔脑膜疾病的放射治疗:随机和非随机试验的系统评价
Front Oncol. 2019 Nov 15;9:1224. doi: 10.3389/fonc.2019.01224. eCollection 2019.

引用本文的文献

1
The diagnosis value of dual-energy computed tomography (DECT) multi-parameter imaging in lung adenocarcinoma and squamous cell carcinoma.双能 CT(DECT)多参数成像在肺腺癌和肺鳞癌中的诊断价值。
BMC Pulm Med. 2024 Oct 30;24(1):545. doi: 10.1186/s12890-024-03370-6.

本文引用的文献

1
Challenges and Advances in Diagnosis and Treatment of Leptomeningeal Disease (LMD).柔脑膜疾病(LMD)诊断与治疗的挑战与进展
Front Oncol. 2022 Jan 12;11:800053. doi: 10.3389/fonc.2021.800053. eCollection 2021.
2
An overview of leptomeningeal disease.柔脑膜疾病概述。
Ann Palliat Med. 2021 Jan;10(1):909-922. doi: 10.21037/apm-20-973. Epub 2020 Sep 10.
3
Diagnostic Reliability of Leptomeningeal Disease Using Magnetic Resonance Imaging.使用磁共振成像诊断柔脑膜疾病的可靠性
Cureus. 2019 Apr 9;11(4):e4416. doi: 10.7759/cureus.4416.
4
Leptomeningeal metastasis from systemic cancer: Review and update on management.系统性癌症的软脑膜转移:治疗综述与更新
Cancer. 2018 Jan 1;124(1):21-35. doi: 10.1002/cncr.30911. Epub 2017 Nov 22.
5
Leptomeningeal disease: current diagnostic and therapeutic strategies.柔脑膜疾病:当前的诊断与治疗策略
Oncotarget. 2017 Aug 16;8(42):73312-73328. doi: 10.18632/oncotarget.20272. eCollection 2017 Sep 22.
6
Most common sites on MRI of intracranial neoplastic leptomeningeal disease.颅内肿瘤性软脑膜疾病 MRI 最常见的部位。
J Clin Neurosci. 2017 Nov;45:252-256. doi: 10.1016/j.jocn.2017.07.020. Epub 2017 Aug 9.
7
Leptomeningeal carcinomatosis in non-small cell lung cancer patients: A continuing challenge in the personalized treatment era.非小细胞肺癌患者的脑膜转移癌:个体化治疗时代的持续挑战。
Cancer Treat Rev. 2017 Feb;53:128-137. doi: 10.1016/j.ctrv.2016.12.006. Epub 2016 Dec 30.
8
Leptomeningeal metastases: a RANO proposal for response criteria.软脑膜转移瘤:RANO关于疗效评估标准的提议
Neuro Oncol. 2017 Apr 1;19(4):484-492. doi: 10.1093/neuonc/now183.
9
Leptomeningeal disease following stereotactic radiosurgery for brain metastases from breast cancer.乳腺癌脑转移立体定向放射治疗后的软脑膜疾病
J Neurooncol. 2015 Sep;124(3):421-7. doi: 10.1007/s11060-015-1854-6. Epub 2015 Jun 21.
10
Outcome after whole brain radiotherapy alone in intracranial leptomeningeal carcinomatosis from solid tumors.颅内软脑膜癌病患者单纯全脑放疗的预后。
Strahlenther Onkol. 2012 Feb;188(2):148-53. doi: 10.1007/s00066-011-0025-8. Epub 2012 Jan 11.