Suppr超能文献

塞普替尼治疗复发性混合性髓样和滤泡细胞源性甲状腺癌:一例报告

Selpercatinib for treating recurrent mixed medullary and follicular cell-derived thyroid carcinoma: a case report.

作者信息

Kadoya Mei, Suganuma Nobuyasu, Matsubara Yuka, Takase Hiroki, Kumagai Eita, Toda Soji, Yamazaki Haruhiko, Masudo Katsuhiko, Fujii Satoshi, Saito Aya

机构信息

Department of Surgery, Yokohama City University School of Medicine, 3-9 Fukuura, Kanazawa-Ku, Yokohama, Kanagawa, 236-0004, Japan.

Department of Molecular Pathology, Yokohama City University Graduate School of Medicine, 3-9 Fukuura, Kanazawa-Ku, Yokohama, Kanagawa, 236-0004, Japan.

出版信息

Surg Case Rep. 2024 Apr 22;10(1):92. doi: 10.1186/s40792-024-01898-7.

Abstract

BACKGROUND

Mixed medullary and follicular cell-derived thyroid carcinoma (MMFCC) is characterized by the coexistence of follicular and C cell-derived tumour cell populations within the same lesion. Due to its rarity, its etiology and clinical course remain unclear, and treatment for advanced or recurrent cases has not been established.

CASE PRESENTATION

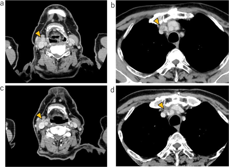
We report a case of MMFCC treated with selpercatinib. The patient was a 69-year-old male presenting with tumors in the right thyroid lobe and in the upper mediastinum. Fine-needle aspiration (FNA) cytology of the right thyroid lobe tumor revealed a medullary carcinoma; germline RET mutations were not detected. After resection of the right thyroid lobe with central node dissection, rapid intraoperative diagnosis of the mediastinal mass confirmed malignancy, leading to total thyroidectomy with excision of the upper mediastinal tumor. Histologically, the tumor in the right thyroid lobe and the pretracheal lymph node revealed a mixture of medullary and follicular carcinoma components, diagnosed as MMFCC. The mediastinal lymph node exhibited only medullary carcinoma components. At 11 months postoperatively, computed tomography scans showed enlargement of the right supraclavicular and upper mediastinal lymph nodes. FNA cytology of the right supraclavicular lymph node suggested the recurrence of medullary thyroid carcinoma. The gene panel testing (The Oncomine Dx Target Test Multi-CDx system®, Thermo Fisher SCIENTIFIC) of metastatic lymph node revealed RET somatic mutation (M918T). Treatment with selpercatinib was initiated, and both the cervical and mediastinal lymph nodes showed a reduction in size.

CONCLUSIONS

We report a rare case of selpercatinib use for MMFCC. Since RET mutations may occur frequently in MMFCC, selpercatinib could be effective in treating MMFCC.

摘要

背景

混合性髓样和滤泡细胞源性甲状腺癌(MMFCC)的特征是在同一病变内同时存在滤泡细胞源性和C细胞源性肿瘤细胞群。由于其罕见性,其病因和临床病程仍不清楚,晚期或复发病例的治疗方法尚未确立。

病例报告

我们报告1例接受塞尔帕替尼治疗的MMFCC患者。该患者为69岁男性,表现为右甲状腺叶及上纵隔肿瘤。右甲状腺叶肿瘤的细针穿刺(FNA)细胞学检查显示为髓样癌;未检测到胚系RET突变。在切除右甲状腺叶并进行中央淋巴结清扫后,术中对纵隔肿块的快速诊断证实为恶性,遂行全甲状腺切除术并切除上纵隔肿瘤。组织学检查显示,右甲状腺叶和气管前淋巴结的肿瘤呈现髓样癌和滤泡癌成分的混合,诊断为MMFCC。纵隔淋巴结仅表现为髓样癌成分。术后11个月,计算机断层扫描显示右锁骨上和上纵隔淋巴结肿大。右锁骨上淋巴结的FNA细胞学检查提示甲状腺髓样癌复发。转移淋巴结的基因检测(Oncomine Dx Target Test Multi-CDx系统,赛默飞世尔科技公司)显示RET体细胞突变(M918T)。开始使用塞尔帕替尼治疗后,颈部和纵隔淋巴结均缩小。

结论

我们报告了1例罕见的使用塞尔帕替尼治疗MMFCC的病例。由于RET突变可能在MMFCC中频繁发生,塞尔帕替尼可能对MMFCC有效。

https://cdn.ncbi.nlm.nih.gov/pmc/blobs/a8d9/11035533/52db7820f0ad/40792_2024_1898_Fig1_HTML.jpg

文献AI研究员

20分钟写一篇综述,助力文献阅读效率提升50倍。

立即体验

用中文搜PubMed

大模型驱动的PubMed中文搜索引擎

马上搜索

文档翻译

学术文献翻译模型,支持多种主流文档格式。

立即体验