Suppr超能文献

以鼻出血为表现的创伤后颅内假性动脉瘤

Post-Traumatic Intracranial Pseudoaneurysm Presenting as Epistaxis.

作者信息

Hassan Ali M, Donley Chad W, Venkatachalam Praveen

机构信息

Department of Emergency Medicine, St. Elizabeth Hospital, Boardman, OH, USA.

Department of Emergency Medicine, St. Elizabeth Hospital, Youngstown, OH, USA.

出版信息

Open Access Emerg Med. 2024 Apr 20;16:75-85. doi: 10.2147/OAEM.S449026. eCollection 2024.

Abstract

BACKGROUND

Epistaxis is a frequent presenting complaint in the Emergency Department (ED). Roughly 60% of the population will suffer from epistaxis in their lifetime. The most common causes of epistaxis include nose picking, facial trauma, foreign bodies, and coagulopathies. There are other causes that are much less common, such as intracranial pseudoaneurysms. There are multiple causes that precipitate intracranial pseudoaneurysm formation, with head trauma accounting for less than 1% of inciting events.

CASE REPORT

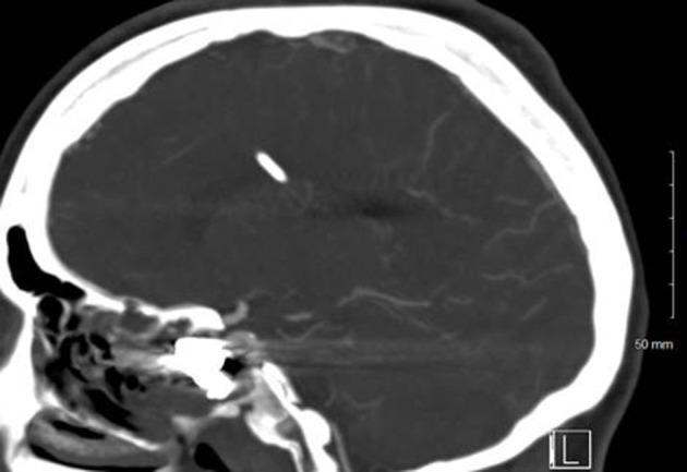
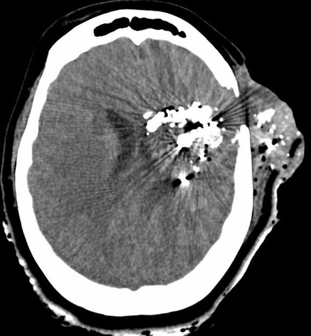
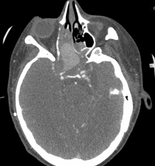
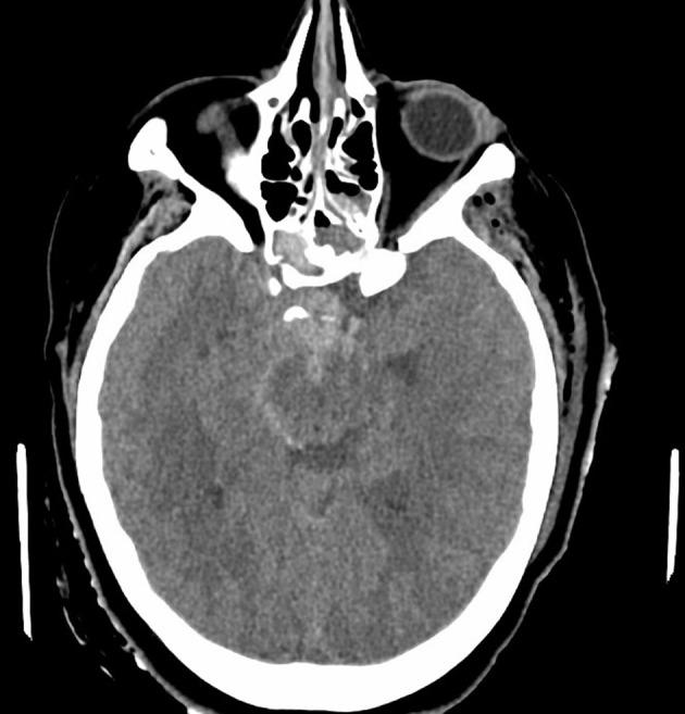
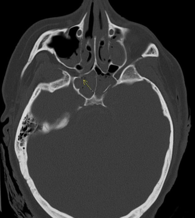
A 24-year-old female with history of traumatic brain injury with associated skull fractures due to a gunshot wound to the head 6 months prior presented to the ED in hemorrhagic shock secondary to epistaxis. After stabilization with the administration of blood products, Computed Tomography with Angiography (CTA) imaging of the head and neck was obtained and revealed a 3.1 × 2.2 × 2.5 cm pseudoaneurysm of the cavernous portion of the right internal carotid artery penetrating through the base of the skull into the ethmoidal sinus. The patient was taken for formal angiography by interventional radiology-and a partially thrombosed daughter sac of the initial aneurysm was identified and believed to be the source of the hemorrhage. The aneurysm was successfully coiled and occluded using ONYX embolization. Postoperatively, the patient returned to her baseline mental status without any acute complaints. The patient was discharged back to her nursing home 2 days later with a 3-week follow-up CTA revealing persistent occlusion of the aneurysm and a patent internal carotid artery.

CONCLUSION

Awareness and consideration of intracranial vascular etiology for common complaints in the emergency room, such as Epistaxis, especially in patients with any history of head injury/trauma, known intracranial aneurysms or prosthetic devices from prior surgery may help guide decision-making in managing critically ill patients.

摘要

背景

鼻出血是急诊科常见的就诊主诉。大约60%的人一生中会经历鼻出血。鼻出血最常见的原因包括挖鼻、面部创伤、异物和凝血功能障碍。还有其他不太常见的原因,如颅内假性动脉瘤。有多种原因可促使颅内假性动脉瘤形成,其中头部创伤引发事件的占比不到1%。

病例报告

一名24岁女性,6个月前因头部枪伤导致创伤性脑损伤并伴有颅骨骨折,因鼻出血继发失血性休克被送往急诊科。在输注血液制品使其病情稳定后,对头颈部进行了计算机断层血管造影(CTA)成像检查,结果显示右侧颈内动脉海绵窦段有一个3.1×2.2×2.5厘米的假性动脉瘤,该动脉瘤穿过颅底进入筛窦。患者被介入放射科送去进行正式血管造影,发现了最初动脉瘤的一个部分血栓形成的子囊,并认为这是出血源。使用Onyx栓塞剂成功地对动脉瘤进行了弹簧圈栓塞和封堵。术后,患者恢复到基线精神状态,无任何急性不适主诉。患者于两天后出院回到养老院,3周后的CTA随访显示动脉瘤持续闭塞,颈内动脉通畅。

结论

对于急诊科常见主诉,如鼻出血,尤其是有头部损伤/创伤史、已知颅内动脉瘤或既往手术有假体装置的患者,意识到并考虑颅内血管病因,可能有助于指导对危重症患者的管理决策。

https://cdn.ncbi.nlm.nih.gov/pmc/blobs/c721/11041977/40ea7963135f/OAEM-16-75-g0001.jpg

文献AI研究员

20分钟写一篇综述,助力文献阅读效率提升50倍。

立即体验

用中文搜PubMed

大模型驱动的PubMed中文搜索引擎

马上搜索

文档翻译

学术文献翻译模型,支持多种主流文档格式。

立即体验