Division of Fundamental Immunology, State Key Laboratory of Animal Disease Prevention and Control, Harbin Veterinary Research Institute, Chinese Academy of Agricultural Sciences, Harbin, Heilongjiang, China.
Heilongjiang Provincial Key Laboratory of Veterinary Immunology, Harbin, Heilongjiang, China.
PLoS Pathog. 2024 Apr 26;20(4):e1012146. doi: 10.1371/journal.ppat.1012146. eCollection 2024 Apr.
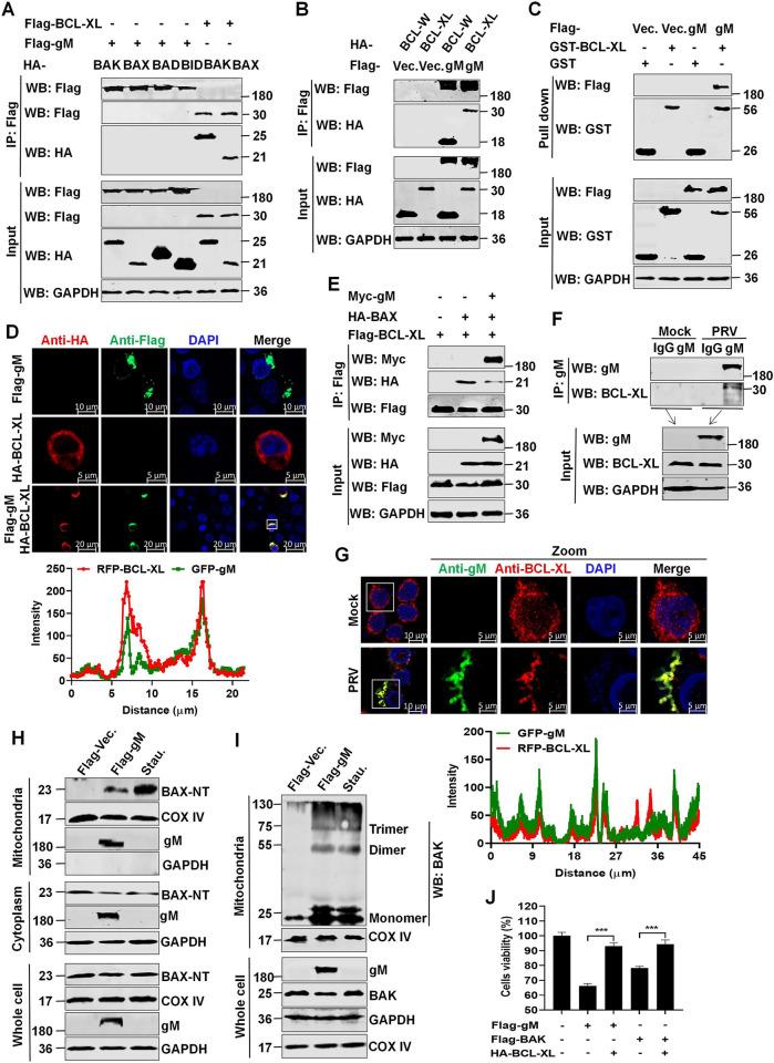
Apoptosis is a critical host antiviral defense mechanism. But many viruses have evolved multiple strategies to manipulate apoptosis and escape host antiviral immune responses. Herpesvirus infection regulated apoptosis; however, the underlying molecular mechanisms have not yet been fully elucidated. Hence, the present study aimed to study the relationship between herpesvirus infection and apoptosis in vitro and in vivo using the pseudorabies virus (PRV) as the model virus. We found that mitochondria-dependent apoptosis was induced by PRV gM, a late protein encoded by PRV UL10, a virulence-related gene involved in enhancing PRV pathogenicity. Mechanistically, gM competitively combines with BCL-XL to disrupt the BCL-XL-BAK complex, resulting in BCL-2-antagonistic killer (BAK) oligomerization and BCL-2-associated X (BAX) activation, which destroys the mitochondrial membrane potential and activates caspase-3/7 to trigger apoptosis. Interestingly, similar apoptotic mechanisms were observed in other herpesviruses (Herpes Simplex Virus-1 [HSV-1], human cytomegalovirus [HCMV], Equine herpesvirus-1 [EHV-1], and varicella-zoster virus [VZV]) driven by PRV gM homologs. Compared with their parental viruses, the pathogenicity of PRV-ΔUL10 or HSV-1-ΔUL10 in mice was reduced with lower apoptosis and viral replication, illustrating that UL10 is a key virulence-related gene in PRV and HSV-1. Consistently, caspase-3 deletion also diminished the replication and pathogenicity of PRV and HSV-1 in vitro and in mice, suggesting that caspase-3-mediated apoptosis is closely related to the replication and pathogenicity of PRV and HSV-1. Overall, our findings firstly reveal the mechanism by which PRV gM and its homologs in several herpesviruses regulate apoptosis to enhance the viral replication and pathogenicity, and the relationship between gM-mediated apoptosis and herpesvirus pathogenicity suggests a promising approach for developing attenuated live vaccines and therapy for herpesvirus-related diseases.
细胞凋亡是宿主抗病毒的关键防御机制。但是,许多病毒已经进化出多种策略来操纵细胞凋亡并逃避宿主抗病毒免疫反应。疱疹病毒感染调控细胞凋亡;然而,其潜在的分子机制尚未完全阐明。因此,本研究旨在使用伪狂犬病病毒(PRV)作为模型病毒,在体外和体内研究疱疹病毒感染与细胞凋亡之间的关系。我们发现,PRV UL10 编码的晚期蛋白 gM 诱导线粒体依赖性细胞凋亡,UL10 是一种与增强 PRV 致病性相关的病毒毒力基因。在机制上,gM 与 BCL-XL 竞争性结合,破坏 BCL-XL-BAK 复合物,导致 BCL-2 拮抗杀手(BAK)寡聚化和 BAX 激活,破坏线粒体膜电位并激活 caspase-3/7 引发细胞凋亡。有趣的是,在其他疱疹病毒(单纯疱疹病毒-1[HSV-1]、人巨细胞病毒[HCMV]、马疱疹病毒-1[EHV-1]和水痘带状疱疹病毒[VZV])中也观察到了类似的凋亡机制,这些病毒由 PRV gM 同源物驱动。与亲本病毒相比,PRV-ΔUL10 或 HSV-1-ΔUL10 在小鼠中的致病性降低,凋亡和病毒复制减少,表明 UL10 是 PRV 和 HSV-1 中的关键毒力相关基因。一致地,caspase-3 缺失也降低了 PRV 和 HSV-1 在体外和小鼠中的复制和致病性,表明 caspase-3 介导的细胞凋亡与 PRV 和 HSV-1 的复制和致病性密切相关。总之,我们的研究结果首次揭示了 PRV gM 及其在几种疱疹病毒中的同源物调节细胞凋亡以增强病毒复制和致病性的机制,以及 gM 介导的细胞凋亡与疱疹病毒致病性之间的关系,为开发减毒活疫苗和治疗疱疹病毒相关疾病提供了有前景的方法。