• 文献检索
  • 文档翻译
  • 深度研究
  • 学术资讯
  • Suppr Zotero 插件Zotero 插件
  • 邀请有礼
  • 套餐&价格
  • 历史记录
应用&插件
Suppr Zotero 插件Zotero 插件浏览器插件Mac 客户端Windows 客户端微信小程序
定价
高级版会员购买积分包购买API积分包
服务
文献检索文档翻译深度研究API 文档MCP 服务
关于我们
关于 Suppr公司介绍联系我们用户协议隐私条款
关注我们

Suppr 超能文献

核心技术专利:CN118964589B侵权必究
粤ICP备2023148730 号-1Suppr @ 2026

文献检索

告别复杂PubMed语法,用中文像聊天一样搜索,搜遍4000万医学文献。AI智能推荐,让科研检索更轻松。

立即免费搜索

文件翻译

保留排版,准确专业,支持PDF/Word/PPT等文件格式,支持 12+语言互译。

免费翻译文档

深度研究

AI帮你快速写综述,25分钟生成高质量综述,智能提取关键信息,辅助科研写作。

立即免费体验

用合成的胞壁酰二肽类似物CGP 11637预防小鼠致癌病毒感染。

Prevention of oncogenic viral infections in mice with CGP 11637, a synthetic muramyl dipeptide analog.

作者信息

Acevedo H F, Raikow R B, Acevedo H O, Delgado T F, Pardo M

出版信息

Antimicrob Agents Chemother. 1985 Nov;28(5):589-96. doi: 10.1128/AAC.28.5.589.

DOI:10.1128/AAC.28.5.589
PMID:3867329
原文链接:https://pmc.ncbi.nlm.nih.gov/articles/PMC176340/
Abstract

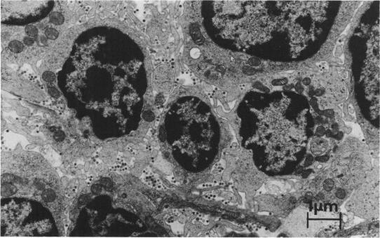
The efficacy of N-acetyl-nor-muramyl-L-alanyl-D-isoglutamine (nor-MDP) in controlling viral oncogenesis in mice was investigated. The tumors studied were blood cell malignancies induced by Friend leukemia virus in SJL/J mice, spontaneous mammary neoplasms in RIII/Imr and C3H/OuJ mice, and spontaneous lymphocytic leukemia in AKR/J mice. A transplantable tumor, Lewis lung carcinoma, in C57BL/6J mice was used as a nonvirally induced control model. The nor-MDP was dissolved in saline and made into an emulsion with an equal volume of squalene-Arlacel A and injected subcutaneously at 1- to 2-month intervals. Test and control mice were challenged with exogenous virus or tumor transplant 2 weeks after a second injection of nor-MDP. Administration was started at around 2 months of age in mice that develop spontaneous neoplasms. Electron microscopy studies were done on neoplastic tissues of selected test and control mice. This administration of nor-MDP prevented erythroleukemia in SJL/J mice caused by low doses of Friend leukemia virus (although erythroleukemia survivors were not protected from a late-developing lymphoma) and also delayed (possibly prevented) the development of a spontaneous mammary neoplasm in RIII/Imr mice. No antitumor effects were observed on the spontaneous neoplasms of C3H/OuJ and AKR/J mice or on the Lewis lung carcinoma implanted into C57BL/6J mice. Electron microscopic examinations of the various neoplastic tissues indicated that nor-MDP administration eliminated or reduced extracellular viruses. The results suggested that under the experimental conditions used nor-MDP appears to effect the viruses and not the malignant cells per se.

摘要

研究了N-乙酰-去甲-胞壁酰-L-丙氨酰-D-异谷氨酰胺(去甲-MDP)在控制小鼠病毒诱导肿瘤发生方面的功效。所研究的肿瘤包括SJL/J小鼠中由Friend白血病病毒诱导的血细胞恶性肿瘤、RIII/Imr和C3H/OuJ小鼠中的自发性乳腺肿瘤,以及AKR/J小鼠中的自发性淋巴细胞白血病。C57BL/6J小鼠中的可移植肿瘤——Lewis肺癌,用作非病毒诱导的对照模型。将去甲-MDP溶解于盐水中,与等体积的角鲨烯-阿拉塞尔A制成乳剂,每隔1至2个月皮下注射一次。在第二次注射去甲-MDP后2周,用外源病毒或肿瘤移植对试验组和对照组小鼠进行攻击。对于发生自发性肿瘤的小鼠,在约2月龄时开始给药。对选定的试验组和对照组小鼠的肿瘤组织进行了电子显微镜研究。这种去甲-MDP给药方案预防了低剂量Friend白血病病毒引起的SJL/J小鼠的红白血病(尽管红白血病幸存者未免受后期发生的淋巴瘤的影响),并且还延迟了(可能预防了)RIII/Imr小鼠自发性乳腺肿瘤的发生。未观察到对C3H/OuJ和AKR/J小鼠的自发性肿瘤或植入C57BL/6J小鼠的Lewis肺癌有抗肿瘤作用。对各种肿瘤组织的电子显微镜检查表明,去甲-MDP给药消除或减少了细胞外病毒。结果表明,在所使用的实验条件下,去甲-MDP似乎作用于病毒而非恶性细胞本身。

https://cdn.ncbi.nlm.nih.gov/pmc/blobs/ebf0/176340/947176b4e25d/aac00177-0024-b.jpg
https://cdn.ncbi.nlm.nih.gov/pmc/blobs/ebf0/176340/044268168747/aac00177-0021-a.jpg
https://cdn.ncbi.nlm.nih.gov/pmc/blobs/ebf0/176340/49b77ac731fa/aac00177-0022-a.jpg
https://cdn.ncbi.nlm.nih.gov/pmc/blobs/ebf0/176340/70ee6f365bbe/aac00177-0022-b.jpg
https://cdn.ncbi.nlm.nih.gov/pmc/blobs/ebf0/176340/7b317e98ba88/aac00177-0023-a.jpg
https://cdn.ncbi.nlm.nih.gov/pmc/blobs/ebf0/176340/a86528525536/aac00177-0024-a.jpg
https://cdn.ncbi.nlm.nih.gov/pmc/blobs/ebf0/176340/947176b4e25d/aac00177-0024-b.jpg
https://cdn.ncbi.nlm.nih.gov/pmc/blobs/ebf0/176340/044268168747/aac00177-0021-a.jpg
https://cdn.ncbi.nlm.nih.gov/pmc/blobs/ebf0/176340/49b77ac731fa/aac00177-0022-a.jpg
https://cdn.ncbi.nlm.nih.gov/pmc/blobs/ebf0/176340/70ee6f365bbe/aac00177-0022-b.jpg
https://cdn.ncbi.nlm.nih.gov/pmc/blobs/ebf0/176340/7b317e98ba88/aac00177-0023-a.jpg
https://cdn.ncbi.nlm.nih.gov/pmc/blobs/ebf0/176340/a86528525536/aac00177-0024-a.jpg
https://cdn.ncbi.nlm.nih.gov/pmc/blobs/ebf0/176340/947176b4e25d/aac00177-0024-b.jpg

相似文献

1
Prevention of oncogenic viral infections in mice with CGP 11637, a synthetic muramyl dipeptide analog.用合成的胞壁酰二肽类似物CGP 11637预防小鼠致癌病毒感染。
Antimicrob Agents Chemother. 1985 Nov;28(5):589-96. doi: 10.1128/AAC.28.5.589.
2
Effect of quinonyl-N-acetyl muramyl dipeptide on immune responses in tumor-bearing mice.喹啉基-N-乙酰胞壁酰二肽对荷瘤小鼠免疫反应的影响。
Infect Immun. 1983 Jan;39(1):137-41. doi: 10.1128/iai.39.1.137-141.1983.
3
Muramyl dipeptide analogues as potentiators of the antitumor action of endotoxin.胞壁酰二肽类似物作为内毒素抗肿瘤作用的增效剂。
Cancer Immunol Immunother. 1985;19(3):205-10. doi: 10.1007/BF00199227.
4
The augmentation of tumor-specific immunity using haptenic muramyl dipeptide (MDP) derivatives. III. Eradication of disseminated murine chronic leukemia cells by utilizing MDP hapten-reactive helper T-cell activity.使用半抗原化的胞壁酰二肽(MDP)衍生物增强肿瘤特异性免疫。III. 利用MDP半抗原反应性辅助性T细胞活性根除播散性小鼠慢性白血病细胞。
Cancer Immunol Immunother. 1988;26(1):43-7. doi: 10.1007/BF00199846.
5
MDP-Lys(L18), a lipophilic derivative of muramyl dipeptide, inhibits the metastasis of haematogenous and non-haematogenous tumours in mice.MDP-Lys(L18),一种胞壁酰二肽的亲脂性衍生物,可抑制小鼠血源性和非血源性肿瘤的转移。
Vaccine. 1994 Feb;12(2):175-60. doi: 10.1016/0264-410x(94)90057-4.
6
Spontaneous regression of Friend virus-induced erythroleukemia. II. regression of Friend murine leukemia virus-induced lymphocytic leukemia.弗氏病毒诱导的红细胞白血病的自发消退。II. 弗氏鼠白血病病毒诱导的淋巴细胞白血病的消退
J Natl Cancer Inst. 1977 Sep;59(3):957-61. doi: 10.1093/jnci/59.3.957.
7
Effect of muramyl dipeptide and its stearoyl derivatives on resistance to Sendai virus infection in mice.胞壁酰二肽及其硬脂酰衍生物对小鼠抗仙台病毒感染能力的影响。
Vaccine. 1985 Dec;3(5):370-4. doi: 10.1016/0264-410x(85)90125-2.
8
Antitumor effect of thymosin alpha 1/interleukin-2 or thymosin alpha 1/interferon alpha,beta following cyclophosphamide in mice injected with highly metastatic Friend erythroleukemia cells.环磷酰胺处理后,胸腺肽α1/白细胞介素-2或胸腺肽α1/α、β干扰素对注射高转移性Friend红白血病细胞小鼠的抗肿瘤作用
J Immunother Emphasis Tumor Immunol. 1993 Jan;13(1):7-17. doi: 10.1097/00002371-199301000-00002.
9
Inhibition of murine hepatic tumor growth by liposomes containing a lipophilic muramyl dipeptide.含亲脂性胞壁酰二肽的脂质体对小鼠肝肿瘤生长的抑制作用
Cancer Immunol Immunother. 1989;28(1):54-8. doi: 10.1007/BF00205801.
10
Inhibition of tumor growth in mice treated with synthetic muramyl dipeptide.用合成的胞壁酰二肽处理的小鼠中肿瘤生长的抑制
Cancer Immunol Immunother. 1984;18(2):123-5. doi: 10.1007/BF00205746.

本文引用的文献

1
Pathogenic properties, and "vertical" transmission of the mouse leukemia agent.小鼠白血病病原体的致病特性及“垂直”传播
Proc Soc Exp Biol Med. 1951 Oct;78(1):342-8. doi: 10.3181/00379727-78-19068.
2
ANTIVIRAL CHEMOTHERAPEUTIC ASSAY WITH FRIEND LEUKEMIA VIRUS IN MICE.小鼠中抗Friend白血病病毒的化学治疗测定
Cancer Chemother Rep. 1965 Apr;45:29-33.
3
UNILATERAL HISTOGENESIS OF AKR THYMIC LYMPHOMA.Akr胸腺淋巴瘤的单侧组织发生
Cancer Res. 1963 Nov;23:1669-78.
4
Muramyl dipeptide stimulation of particle clearance in several animal species.胞壁酰二肽对几种动物物种中颗粒清除的刺激作用。
J Reticuloendothel Soc. 1980 Nov;28(5):457-71.
5
Activation of tumoricidal properties in murine macrophages by intravenous injection of muramyl dipeptide encapsulated within liposomes as a treatment for spontaneous metastasis.
Prog Clin Biol Res. 1981;75B:257-67.
6
Effects of muramyl dipeptide treatment on resistance to infection with Toxoplasma gondii in mice.胞壁酰二肽处理对小鼠抗弓形虫感染能力的影响。
Infect Immun. 1981 Feb;31(2):716-22. doi: 10.1128/iai.31.2.716-722.1981.
7
Regression of tumors in guinea pigs after treatment with synthetic muramyl dipeptides and trehalose dimycolate.用合成的胞壁酰二肽和海藻糖二霉菌酸酯治疗后豚鼠肿瘤的消退。
Science. 1980 Apr 25;208(4442):415-6. doi: 10.1126/science.7189295.
8
Synthesis and immunoadjuvant activities of 2-acetamido-5-O-acetyl-6-O-acyl-2-deoxy-3-O-[(R)-2-propionyl-L-alanyl-D- isoglutamine]-D-glucofuranoses as potential prodrug forms of 6-O-Acyl Derivatives of N-acetylmuramyl dipeptide.2-乙酰氨基-5-O-乙酰基-6-O-酰基-2-脱氧-3-O-[(R)-2-丙酰基-L-丙氨酰-D-异谷氨酰胺]-D-呋喃葡萄糖作为N-乙酰胞壁酰二肽6-O-酰基衍生物潜在前药形式的合成及免疫佐剂活性
J Med Chem. 1982 Sep;25(9):1028-33. doi: 10.1021/jm00351a005.
9
Nonspecific enhancement of resistance to bacterial infection: evidence of an effect supplemental to antibiotics.对细菌感染抵抗力的非特异性增强:抗生素补充作用的证据。
Ann Surg. 1982 Oct;196(4):436-41. doi: 10.1097/00000658-198210000-00006.
10
Human alveolar macrophages: potentiation of their tumoricidal activity by liposome-encapsulated muramyl dipeptide.人肺泡巨噬细胞:脂质体包裹的胞壁酰二肽增强其杀肿瘤活性。
J Immunol. 1982 Sep;129(3):1313-7.