Suppr超能文献

儿童系统性感染的回顾性分析

A Retrospective Analysis of Systemic Infection in Children.

作者信息

Stroescu Ramona Florina, Chisavu Flavia, Steflea Ruxandra Maria, Doros Gabriela, Bizerea-Moga Teofana-Otilia, Vulcanescu Dan Dumitru, Marti Teodora Daniela, Boru Casiana, Avram Cecilia Roberta, Gafencu Mihai

机构信息

Department XI of Pediatrics-1st Pediatric Discipline, Center for Research on Growth and Developmental Disorders in Children, "Victor Babes" University of Medicine and Pharmacy Timisoara, Eftimie Murgu Sq. No. 2, 300041 Timisoara, Romania.

4th Pediatric Clinic, "Louis Turcanu" Children's Clinical and Emergency Hospital, Iosif Nemoianu 2, 300011 Timisoara, Romania.

出版信息

Microorganisms. 2024 Mar 27;12(4):666. doi: 10.3390/microorganisms12040666.

Abstract

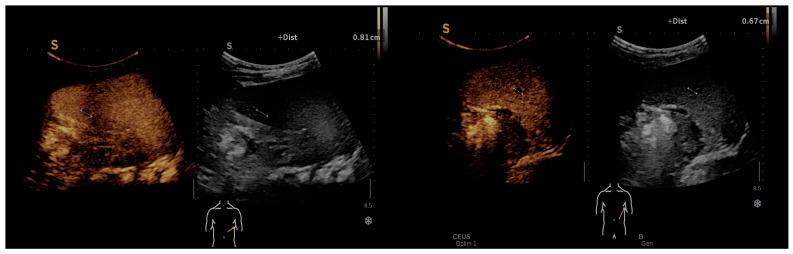
Systemic infection, also known as cat-scratch disease (CSD), presents a diagnostic challenge due to the variability of clinical manifestations and the potential for serological cross-reactivity with other organisms. This study aimed to retrospectively analyze the epidemiological, clinical, laboratory, and imaging characteristics of pediatric patients diagnosed with systemic infection, to improve understanding and facilitate timely diagnosis and treatment. We conducted a 10-year retrospective study at the "Louis Turcanu" Children's Emergency Hospital and private clinics in Timisoara, Romania, reviewing records for confirmed cases of infection from January 2014 to January 2024. The study adhered to the Declaration of Helsinki and received approval from the Institutional Review Board. Diagnostic criteria included contact with animals, prolonged fever, hematological and/or hepatosplenic manifestations, and positive serological tests for . Nineteen pediatric patients were identified with a median age of 8.1 years. The majority were exposed to felines (94.7%), reflecting the disease's epidemiological profile. Clinical findings highlighted fever (47.4%), lymphadenopathy (78.9%), and less frequently, abdominal pain and headache (both 10.5%). Laboratory analyses revealed a mean hemoglobin of 12.6 mg/dL, WBC count of 13.1 × 10 cells/microliter, and platelet count of 340.6 × 10 per microliter. Significant findings included elevation in ESR and CRP in 47.4% and 21.1% of patients, respectively, and high seropositivity rates for IgM (63.2%) and IgG (94.7%). Imaging studies demonstrated widespread lymphadenopathy and occasional splenomegaly and hepatic microabscesses. All patients received antibiotic therapy, with azithromycin being the most commonly used (94.7%). Co-infections with Epstein-Barr Virus, Cytomegalovirus, and were documented, indicating the complex infectious status of the patients. Systemic infection in children predominantly manifests with fever and lymphadenopathy, with a significant history of exposure to felines. Laboratory and imaging findings support the diagnosis, which is further complicated by potential co-infections. Effective antibiotic therapy, primarily with azithromycin, underscores the need for comprehensive diagnostic and treatment strategies. This study emphasizes the importance of considering systemic infection in pediatric patients with prolonged fever and contact with cats, to ensure timely and appropriate treatment.

摘要

全身感染,也称为猫抓病(CSD),由于临床表现的变异性以及与其他生物体发生血清学交叉反应的可能性,给诊断带来了挑战。本研究旨在回顾性分析诊断为全身感染的儿科患者的流行病学、临床、实验室和影像学特征,以增进了解并促进及时诊断和治疗。我们在罗马尼亚蒂米什瓦拉的“路易·图尔卡努”儿童医院和私人诊所进行了一项为期10年的回顾性研究,审查了2014年1月至2024年1月确诊感染病例的记录。该研究遵循《赫尔辛基宣言》并获得了机构审查委员会的批准。诊断标准包括与动物接触、持续发热、血液学和/或肝脾表现以及针对[病原体名称未给出]的血清学检测呈阳性。确定了19名儿科患者,中位年龄为8.1岁。大多数患者接触过猫科动物(94.7%),反映了该疾病的流行病学特征。临床发现突出表现为发热(47.4%)、淋巴结病(78.9%),较少见的是腹痛和头痛(均为10.5%)。实验室分析显示平均血红蛋白为12.6mg/dL,白细胞计数为13.1×10⁹细胞/微升,血小板计数为340.6×10⁹/微升。重要发现包括分别有47.4%和21.1%的患者血沉和C反应蛋白升高,以及[病原体名称未给出]IgM(63.2%)和IgG(94.7%)的高血清阳性率。影像学研究显示广泛的淋巴结病,偶尔有脾肿大和肝微脓肿。所有患者均接受了抗生素治疗,阿奇霉素是最常用的(94.7%)。记录到与爱泼斯坦 - 巴尔病毒、巨细胞病毒和[病原体名称未给出]的合并感染,表明患者的感染状况复杂。儿童全身感染主要表现为发热和淋巴结病,有明显的接触猫科动物史。实验室和影像学检查结果支持诊断,潜在的合并感染使诊断进一步复杂化。以阿奇霉素为主的有效抗生素治疗强调了全面诊断和治疗策略的必要性。本研究强调了在长期发热且接触猫的儿科患者中考虑全身感染的重要性,以确保及时和适当的治疗。

https://cdn.ncbi.nlm.nih.gov/pmc/blobs/2132/11051763/bae60874978f/microorganisms-12-00666-g001.jpg

文献AI研究员

20分钟写一篇综述,助力文献阅读效率提升50倍。

立即体验

用中文搜PubMed

大模型驱动的PubMed中文搜索引擎

马上搜索

文档翻译

学术文献翻译模型,支持多种主流文档格式。

立即体验