Suppr超能文献

儿童正中弓状韧带综合征:单中心经验

Median Arcuate Ligament Syndrome in Children: A Single-Center Experience.

作者信息

Kakavand Bahram, Burns Robert C, Centner Aliya, Casas-Melley Adela

机构信息

Cardiology, Nemours Children's Health, Orlando, USA.

Surgery, Riley Children's Health, Indianapolis, USA.

出版信息

Cureus. 2024 Mar 29;16(3):e57184. doi: 10.7759/cureus.57184. eCollection 2024 Mar.

Abstract

BACKGROUND

Data on median arcuate ligament syndrome (MALS) in children are scant. It is postulated that MALS can cause chronic abdominal pain. It is unclear what percentage of children with this condition are symptomatic and what comorbidities are associated with this syndrome.

METHODS

In this retrospective study, data on consecutive patients in a single center diagnosed coincidentally with MALS during routine echocardiogram were reviewed. Symptom burden, comorbidities, and the effect of anthropometric indices on MALS were investigated. Descriptive statistics and nonparametric tests were used to describe the findings and to compare variables with normal distribution.

RESULTS

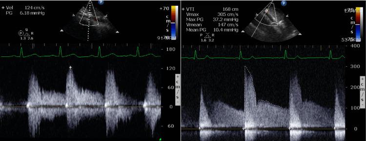
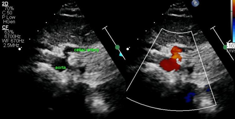
Between 2013 and 2020, there were 82 children, 55 females (67%), mean age 13.9 ± 3.2 years, with MALS and complete record. Mean velocity across the stenotic area was 2.6 ± 0.4 m/s. Forty-six patients (57%) had abdominal pain. Age, gender, weight, body mass index (BMI), and Doppler velocity had no statistically significant influence on symptom occurrence. Conversely, patients with joint hypermobility and symptoms of orthostatic intolerance were more likely to have abdominal pain from MALS. Of 24 patients with joint hypermobility, 18 patients had abdominal pain (p=0.027). Thirty-eight patients with orthostatic intolerance (OI) with MALS complained of abdominal pain vs 13 patients with OI and no abdominal pain (p=<0.0001).

CONCLUSION

Nearly half of patients with MALS had abdominal pain. Age, gender, weight, and the degree of stenosis had no statistically significant influence on symptom occurrence. OI, specifically postural orthostatic tachycardia syndrome (POTS), and joint hypermobility on exam predicted a higher propensity for abdominal pain in patients with MALS.

摘要

背景

关于儿童正中弓状韧带综合征(MALS)的数据很少。据推测,MALS可导致慢性腹痛。目前尚不清楚患有这种疾病的儿童中有症状的比例以及与该综合征相关的合并症。

方法

在这项回顾性研究中,对单中心在常规超声心动图检查期间偶然诊断为MALS的连续患者的数据进行了回顾。研究了症状负担、合并症以及人体测量指标对MALS的影响。使用描述性统计和非参数检验来描述研究结果并比较具有正态分布的变量。

结果

2013年至2020年期间,有82名儿童被诊断为MALS且记录完整,其中55名女性(67%),平均年龄13.9±3.2岁。狭窄区域的平均流速为2.6±0.4米/秒。46名患者(57%)有腹痛症状。年龄、性别、体重、体重指数(BMI)和多普勒流速对症状发生没有统计学上的显著影响。相反,关节活动过度和体位性不耐受症状的患者更有可能因MALS而出现腹痛。在24名关节活动过度的患者中,18名患者有腹痛(p=0.027)。38名患有MALS的体位性不耐受(OI)患者主诉腹痛,而13名患有OI但无腹痛的患者(p<0.0001)。

结论

近一半的MALS患者有腹痛症状。年龄、性别、体重和狭窄程度对症状发生没有统计学上的显著影响。OI,特别是姿势性直立性心动过速综合征(POTS),以及检查时的关节活动过度预示着MALS患者出现腹痛的可能性更高。

https://cdn.ncbi.nlm.nih.gov/pmc/blobs/4f7d/11056100/19cca56fbed5/cureus-0016-00000057184-i01.jpg

文献AI研究员

20分钟写一篇综述,助力文献阅读效率提升50倍。

立即体验

用中文搜PubMed

大模型驱动的PubMed中文搜索引擎

马上搜索

文档翻译

学术文献翻译模型,支持多种主流文档格式。

立即体验