Chan Li Yi Tammy, Yuen Wen Loong Paul, Raghuraman Raghavan
Department of Orthopaedic Surgery, Yong Loo Lin School of Medicine, National University of Singapore, Singapore.
Department of Orthopaedic Surgery, Changi General Hospital, Singapore.
J Orthop Case Rep. 2024 Apr;14(4):78-83. doi: 10.13107/jocr.2024.v14.i04.4366.
Prosthetic joint infections (PJIs) remain an undesirable complication after total knee arthroplasties. Two-stage revision arthroplasty is the current standard of care for treating PJIs. However, the incidence of spacer retention for prolonged periods is increasing, with little known about its potential complications.
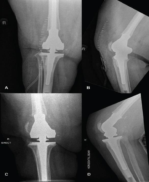
We present a case of a 64-year-old female of Southeast Asian descent who had a cement spacer maintained in-situ for 7 years due to poor patient compliance with subsequent follow-up.
While patients have satisfactory functional outcomes with the cement spacer, it is not meant for permanent weight bearing. Two-stage revision arthroplasties are only as effective as patients' compliance with subsequent follow-up and surgery. Clinicians must discourage patients from forgoing subsequent follow-up visits and surgery despite satisfactory function and quality of life with the cement spacer in situ to prevent complications related to prolonged retention of cement spacers.
人工关节感染(PJIs)仍是全膝关节置换术后令人不快的并发症。两阶段翻修置换术是目前治疗人工关节感染的标准治疗方法。然而,间隔物长期留存的发生率正在上升,而对其潜在并发症却知之甚少。
我们报告一例64岁东南亚裔女性病例,由于患者对后续随访依从性差,其骨水泥间隔物原位留存了7年。
虽然骨水泥间隔物能使患者获得满意的功能结果,但它并非用于长期负重。两阶段翻修置换术的效果仅取决于患者对后续随访和手术的依从性。临床医生必须告诫患者,尽管骨水泥间隔物原位留存时功能和生活质量令人满意,但也不要放弃后续随访和手术,以预防与骨水泥间隔物长期留存相关的并发症。