• 文献检索
  • 文档翻译
  • 深度研究
  • 学术资讯
  • Suppr Zotero 插件Zotero 插件
  • 邀请有礼
  • 套餐&价格
  • 历史记录
应用&插件
Suppr Zotero 插件Zotero 插件浏览器插件Mac 客户端Windows 客户端微信小程序
定价
高级版会员购买积分包购买API积分包
服务
文献检索文档翻译深度研究API 文档MCP 服务
关于我们
关于 Suppr公司介绍联系我们用户协议隐私条款
关注我们

Suppr 超能文献

核心技术专利:CN118964589B侵权必究
粤ICP备2023148730 号-1Suppr @ 2026

文献检索

告别复杂PubMed语法,用中文像聊天一样搜索,搜遍4000万医学文献。AI智能推荐,让科研检索更轻松。

立即免费搜索

文件翻译

保留排版,准确专业,支持PDF/Word/PPT等文件格式,支持 12+语言互译。

免费翻译文档

深度研究

AI帮你快速写综述,25分钟生成高质量综述,智能提取关键信息,辅助科研写作。

立即免费体验

因颈部结核性淋巴结炎行切除术时发现的胰腺腺鳞癌:一例报告

Pancreatic Adenosquamous Carcinoma Discovered Upon a Resection for Neck Tuberculous Lymphadenitis: A Case Report.

作者信息

Ota Hideo, Hoshino Hiromitsu, Jokoji Ryu, Arisaka Yoshifumi, Mizuno Hitoshi

机构信息

Department of Gastroenterological Surgery, Nippon Life Hospital, Osaka, JPN.

Department of Gastroenterological Surgery, Itami City Hospital, Itami, JPN.

出版信息

Cureus. 2024 Apr 1;16(4):e57382. doi: 10.7759/cureus.57382. eCollection 2024 Apr.

DOI:10.7759/cureus.57382
PMID:38694677
原文链接:https://pmc.ncbi.nlm.nih.gov/articles/PMC11062075/
Abstract

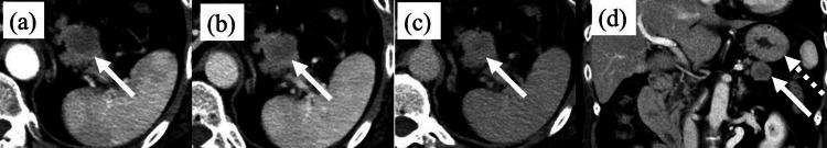
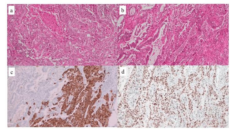
Cancer (including pancreatic cancer) can develop following a infection within one year of tuberculosis infection. However, it is unclear whether tuberculosis infection increases the risk of developing adenosquamous carcinoma of the pancreas (ASCP), an extremely rare cancer with a poorer prognosis than pancreatic ductal adenocarcinoma (PDAC). Herein, we report a case of rapid growing ASCP discovered upon a resection for neck tuberculous lymphadenitis. The patient was a 57-year-old woman. An excisional biopsy of the swollen right neck lymph nodes revealed tuberculous lymphadenitis. One month after the biopsy, an abdominal computed tomography scan showed a 2.0 cm (diameter) ischemic tumor in the pancreatic tail. The tissue obtained using endoscopic ultrasonography-guided fine-needle aspiration led to the pathological diagnosis of ASCP. Two months after the biopsy, the tumor had grown to 3.5 cm (diameter), and invasion of the stomach and colon was suspected. Distal pancreatectomy, splenectomy, partial gastrectomy, and transverse colectomy were performed. The final diagnosis was ASCP (4.7 cm, pT3, pN0, cM0, and pStage IIA). Postoperative adjuvant combination chemotherapy combined with antituberculosis drugs was administered orally. We report the first case of rapidly growing adenosquamous carcinoma resected from the pancreas in association with tuberculous lymphadenitis. Additional evidence is needed to confirm that tuberculosis infection increases the risk of developing pancreatic adenosquamous cell carcinoma because its potential role in promoting squamous metaplasia is unclear.

摘要

癌症(包括胰腺癌)可在结核感染后一年内发生。然而,尚不清楚结核感染是否会增加胰腺腺鳞癌(ASCP)的发病风险,ASCP是一种极其罕见的癌症,其预后比胰腺导管腺癌(PDAC)更差。在此,我们报告一例因颈部结核性淋巴结炎切除时发现的快速生长的ASCP病例。患者为一名57岁女性。对右侧颈部肿大淋巴结进行切除活检,结果显示为结核性淋巴结炎。活检后一个月,腹部计算机断层扫描显示胰尾有一个直径2.0厘米的缺血性肿瘤。通过内镜超声引导下细针穿刺获取的组织经病理诊断为ASCP。活检后两个月,肿瘤已长至直径3.5厘米,怀疑侵犯了胃和结肠。遂进行了胰体尾切除术、脾切除术、部分胃切除术和横结肠切除术。最终诊断为ASCP(4.7厘米,pT3,pN0,cM0,pIIA期)。术后口服辅助联合化疗并联合抗结核药物。我们报告了首例与结核性淋巴结炎相关的从胰腺切除的快速生长的腺鳞癌病例。由于结核感染在促进鳞状化生中的潜在作用尚不清楚,因此需要更多证据来证实结核感染会增加胰腺腺鳞癌的发病风险。

https://cdn.ncbi.nlm.nih.gov/pmc/blobs/1297/11062075/d740134baebe/cureus-0016-00000057382-i07.jpg
https://cdn.ncbi.nlm.nih.gov/pmc/blobs/1297/11062075/1aed86958cb6/cureus-0016-00000057382-i01.jpg
https://cdn.ncbi.nlm.nih.gov/pmc/blobs/1297/11062075/f41dbdbf1169/cureus-0016-00000057382-i02.jpg
https://cdn.ncbi.nlm.nih.gov/pmc/blobs/1297/11062075/b2f0f3f324b0/cureus-0016-00000057382-i03.jpg
https://cdn.ncbi.nlm.nih.gov/pmc/blobs/1297/11062075/ac809a02cf0d/cureus-0016-00000057382-i04.jpg
https://cdn.ncbi.nlm.nih.gov/pmc/blobs/1297/11062075/817a68fab46a/cureus-0016-00000057382-i05.jpg
https://cdn.ncbi.nlm.nih.gov/pmc/blobs/1297/11062075/69908b55df71/cureus-0016-00000057382-i06.jpg
https://cdn.ncbi.nlm.nih.gov/pmc/blobs/1297/11062075/d740134baebe/cureus-0016-00000057382-i07.jpg
https://cdn.ncbi.nlm.nih.gov/pmc/blobs/1297/11062075/1aed86958cb6/cureus-0016-00000057382-i01.jpg
https://cdn.ncbi.nlm.nih.gov/pmc/blobs/1297/11062075/f41dbdbf1169/cureus-0016-00000057382-i02.jpg
https://cdn.ncbi.nlm.nih.gov/pmc/blobs/1297/11062075/b2f0f3f324b0/cureus-0016-00000057382-i03.jpg
https://cdn.ncbi.nlm.nih.gov/pmc/blobs/1297/11062075/ac809a02cf0d/cureus-0016-00000057382-i04.jpg
https://cdn.ncbi.nlm.nih.gov/pmc/blobs/1297/11062075/817a68fab46a/cureus-0016-00000057382-i05.jpg
https://cdn.ncbi.nlm.nih.gov/pmc/blobs/1297/11062075/69908b55df71/cureus-0016-00000057382-i06.jpg
https://cdn.ncbi.nlm.nih.gov/pmc/blobs/1297/11062075/d740134baebe/cureus-0016-00000057382-i07.jpg

相似文献

1
Pancreatic Adenosquamous Carcinoma Discovered Upon a Resection for Neck Tuberculous Lymphadenitis: A Case Report.因颈部结核性淋巴结炎行切除术时发现的胰腺腺鳞癌:一例报告
Cureus. 2024 Apr 1;16(4):e57382. doi: 10.7759/cureus.57382. eCollection 2024 Apr.
2
Clinical presentation and prognosis of adenosquamous carcinoma of the pancreas - Matched-pair analysis with pancreatic ductal adenocarcinoma.胰腺腺鳞癌的临床特征和预后 - 与胰腺导管腺癌的配对分析。
Eur J Surg Oncol. 2021 Jul;47(7):1734-1741. doi: 10.1016/j.ejso.2021.02.011. Epub 2021 Feb 16.
3
Clinical Outcome and Prognostic Factors of Pancreatic Adenosquamous Carcinoma Compared to Ductal Adenocarcinoma-Results from the German Cancer Registry Group.与导管腺癌相比,胰腺腺鳞癌的临床结局和预后因素——来自德国癌症登记组的结果
Cancers (Basel). 2022 Aug 16;14(16):3946. doi: 10.3390/cancers14163946.
4
A case of liver hilar tuberculous lymphadenitis complicated by biliary stricture diagnosed by endoscopic ultrasound-guided fine-needle aspiration.一例经内镜超声引导下细针穿刺确诊的肝门部结核性淋巴结炎合并胆管狭窄病例
Clin J Gastroenterol. 2019 Feb;12(1):57-62. doi: 10.1007/s12328-018-0898-5. Epub 2018 Aug 25.
5
Primary adenosquamous cell carcinoma of the pancreas: the use of endoscopic ultrasound guided - fine needle aspiration to establish a definitive cytologic diagnosis.胰腺原发性腺鳞癌:应用内镜超声引导下细针穿刺建立明确的细胞学诊断
Rev Gastroenterol Peru. 2017 Oct-Dec;37(4):370-373.
6
Comparative outcomes of adenosquamous carcinoma of the pancreas: An analysis of the National Cancer Database.胰腺腺鳞癌的比较结果:一项基于国家癌症数据库的分析。
J Surg Oncol. 2018 Jul;118(1):21-30. doi: 10.1002/jso.25112. Epub 2018 Jun 7.
7
[Two Cases Pancreatic Carcinoma Detected Incidentally during Treatment of Acute Abdomen from Other Causes].[两例在因其他原因治疗急腹症过程中偶然发现的胰腺癌]
Gan To Kagaku Ryoho. 2016 Nov;43(12):1662-1664.
8
Cervical tuberculous lymphadenitis in the elderly: comparative diagnostic findings.老年人颈部结核性淋巴结炎:比较性诊断结果
J Laryngol Otol. 2009 Dec;123(12):1343-7. doi: 10.1017/S0022215109990880.
9
A case of peripancreatic tuberculous lymphadenitis diagnosed by endoscopic ultrasound-guided fine-needle aspiration.一例经内镜超声引导下细针穿刺确诊的胰周结核性淋巴结炎
Clin J Gastroenterol. 2014 Feb;7(1):68-73. doi: 10.1007/s12328-013-0451-5. Epub 2014 Jan 10.
10
[Radical resection of a locally advanced pancreatic tail adenosquamous carcinoma treated with S-1 and gemcitabine as neoadjuvant chemotherapy - a case report].[以S-1和吉西他滨作为新辅助化疗治疗局部晚期胰腺尾部腺鳞癌的根治性切除术——病例报告]
Gan To Kagaku Ryoho. 2014 May;41(5):669-72.

本文引用的文献

1
Tuberculosis and risk of cancer: A systematic review and meta-analysis.结核病与癌症风险:系统评价和荟萃分析。
PLoS One. 2022 Dec 30;17(12):e0278661. doi: 10.1371/journal.pone.0278661. eCollection 2022.
2
Previous pulmonary tuberculosis enhances the risk of lung cancer: systematic reviews and meta-analysis.既往肺结核会增加肺癌风险:系统评价与荟萃分析。
Infect Dis (Lond). 2022 Apr;54(4):255-268. doi: 10.1080/23744235.2021.2006772. Epub 2021 Nov 22.
3
Clinical presentation and prognosis of adenosquamous carcinoma of the pancreas - Matched-pair analysis with pancreatic ductal adenocarcinoma.
胰腺腺鳞癌的临床特征和预后 - 与胰腺导管腺癌的配对分析。
Eur J Surg Oncol. 2021 Jul;47(7):1734-1741. doi: 10.1016/j.ejso.2021.02.011. Epub 2021 Feb 16.
4
Cancer incidence attributable to tuberculosis in 2015: global, regional, and national estimates.2015 年归因于结核病的癌症发病数:全球、区域和国家估计数。
BMC Cancer. 2020 May 12;20(1):412. doi: 10.1186/s12885-020-06891-5.
5
Global burden of cancer attributable to infections in 2018: a worldwide incidence analysis.2018 年归因于感染的癌症全球负担:全球发病率分析。
Lancet Glob Health. 2020 Feb;8(2):e180-e190. doi: 10.1016/S2214-109X(19)30488-7. Epub 2019 Dec 17.
6
WHO global progress report on tuberculosis elimination.世界卫生组织结核病消除全球进展报告。
Lancet Respir Med. 2020 Jan;8(1):19. doi: 10.1016/S2213-2600(19)30418-7. Epub 2019 Nov 6.
7
The 2019 WHO classification of tumours of the digestive system.2019年世界卫生组织消化系统肿瘤分类。
Histopathology. 2020 Jan;76(2):182-188. doi: 10.1111/his.13975. Epub 2019 Nov 13.
8
Inflammation and Cancer: Triggers, Mechanisms, and Consequences.炎症与癌症:触发因素、机制与后果。
Immunity. 2019 Jul 16;51(1):27-41. doi: 10.1016/j.immuni.2019.06.025.
9
Adenosquamous carcinoma of the pancreas: Molecular characterization of 23 patients along with a literature review.胰腺腺鳞癌:23例患者的分子特征及文献综述
World J Gastrointest Oncol. 2015 Sep 15;7(9):132-40. doi: 10.4251/wjgo.v7.i9.132.
10
415 patients with adenosquamous carcinoma of the pancreas: a population-based analysis of prognosis and survival.415 例胰腺腺鳞癌患者:基于人群的预后和生存分析。
J Surg Res. 2012 May 1;174(1):12-9. doi: 10.1016/j.jss.2011.06.015. Epub 2011 Jul 7.