• 文献检索
  • 文档翻译
  • 深度研究
  • 学术资讯
  • Suppr Zotero 插件Zotero 插件
  • 邀请有礼
  • 套餐&价格
  • 历史记录
应用&插件
Suppr Zotero 插件Zotero 插件浏览器插件Mac 客户端Windows 客户端微信小程序
定价
高级版会员购买积分包购买API积分包
服务
文献检索文档翻译深度研究API 文档MCP 服务
关于我们
关于 Suppr公司介绍联系我们用户协议隐私条款
关注我们

Suppr 超能文献

核心技术专利:CN118964589B侵权必究
粤ICP备2023148730 号-1Suppr @ 2026

文献检索

告别复杂PubMed语法,用中文像聊天一样搜索,搜遍4000万医学文献。AI智能推荐,让科研检索更轻松。

立即免费搜索

文件翻译

保留排版,准确专业,支持PDF/Word/PPT等文件格式,支持 12+语言互译。

免费翻译文档

深度研究

AI帮你快速写综述,25分钟生成高质量综述,智能提取关键信息,辅助科研写作。

立即免费体验

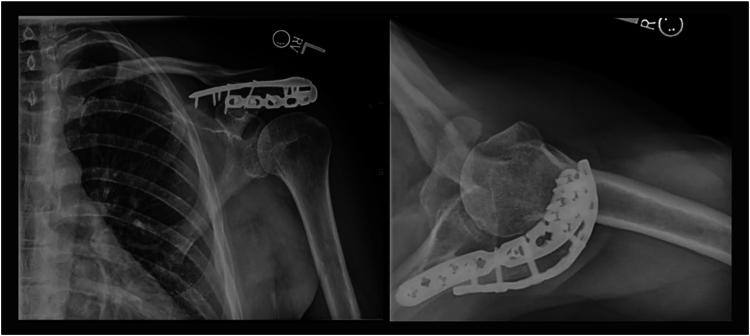
Acromion fracture associated with traumatic first time anterior shoulder dislocation: a case report.

作者信息

Hsiue Peter P, Chiou Daniel, Shi Brendan, Ahlquist Seth, Jensen Andrew R, Cheung Edward C

机构信息

Department of Orthopaedic Surgery, David Geffen School of Medicine at the University of California Los Angeles, Los Angeles, CA, USA.

出版信息

JSES Rev Rep Tech. 2023 Dec 16;4(2):284-290. doi: 10.1016/j.xrrt.2023.11.002. eCollection 2024 May.

DOI:10.1016/j.xrrt.2023.11.002
PMID:38706667
原文链接:https://pmc.ncbi.nlm.nih.gov/articles/PMC11065664/
Abstract
摘要
https://cdn.ncbi.nlm.nih.gov/pmc/blobs/531d/11065664/c8a58440a692/gr12.jpg
https://cdn.ncbi.nlm.nih.gov/pmc/blobs/531d/11065664/6349847d0056/gr1.jpg
https://cdn.ncbi.nlm.nih.gov/pmc/blobs/531d/11065664/16817edb1136/gr2.jpg
https://cdn.ncbi.nlm.nih.gov/pmc/blobs/531d/11065664/5a9e5ed23729/gr3.jpg
https://cdn.ncbi.nlm.nih.gov/pmc/blobs/531d/11065664/0dc438287f47/gr4.jpg
https://cdn.ncbi.nlm.nih.gov/pmc/blobs/531d/11065664/7e652314f16c/gr5.jpg
https://cdn.ncbi.nlm.nih.gov/pmc/blobs/531d/11065664/83533f9ca9f0/gr6.jpg
https://cdn.ncbi.nlm.nih.gov/pmc/blobs/531d/11065664/7fcccd194e30/gr7.jpg
https://cdn.ncbi.nlm.nih.gov/pmc/blobs/531d/11065664/698e8dbc7f17/gr8.jpg
https://cdn.ncbi.nlm.nih.gov/pmc/blobs/531d/11065664/47c254dadde0/gr9.jpg
https://cdn.ncbi.nlm.nih.gov/pmc/blobs/531d/11065664/2cc941999686/gr10.jpg
https://cdn.ncbi.nlm.nih.gov/pmc/blobs/531d/11065664/556ad474c187/gr11.jpg
https://cdn.ncbi.nlm.nih.gov/pmc/blobs/531d/11065664/c8a58440a692/gr12.jpg
https://cdn.ncbi.nlm.nih.gov/pmc/blobs/531d/11065664/6349847d0056/gr1.jpg
https://cdn.ncbi.nlm.nih.gov/pmc/blobs/531d/11065664/16817edb1136/gr2.jpg
https://cdn.ncbi.nlm.nih.gov/pmc/blobs/531d/11065664/5a9e5ed23729/gr3.jpg
https://cdn.ncbi.nlm.nih.gov/pmc/blobs/531d/11065664/0dc438287f47/gr4.jpg
https://cdn.ncbi.nlm.nih.gov/pmc/blobs/531d/11065664/7e652314f16c/gr5.jpg
https://cdn.ncbi.nlm.nih.gov/pmc/blobs/531d/11065664/83533f9ca9f0/gr6.jpg
https://cdn.ncbi.nlm.nih.gov/pmc/blobs/531d/11065664/7fcccd194e30/gr7.jpg
https://cdn.ncbi.nlm.nih.gov/pmc/blobs/531d/11065664/698e8dbc7f17/gr8.jpg
https://cdn.ncbi.nlm.nih.gov/pmc/blobs/531d/11065664/47c254dadde0/gr9.jpg
https://cdn.ncbi.nlm.nih.gov/pmc/blobs/531d/11065664/2cc941999686/gr10.jpg
https://cdn.ncbi.nlm.nih.gov/pmc/blobs/531d/11065664/556ad474c187/gr11.jpg
https://cdn.ncbi.nlm.nih.gov/pmc/blobs/531d/11065664/c8a58440a692/gr12.jpg

相似文献

1
Acromion fracture associated with traumatic first time anterior shoulder dislocation: a case report.首次创伤性肩关节前脱位伴肩峰骨折:一例报告
JSES Rev Rep Tech. 2023 Dec 16;4(2):284-290. doi: 10.1016/j.xrrt.2023.11.002. eCollection 2024 May.
2
Neglected Acromion Fracture Causing Chronic Post-traumatic Shoulder Pain - A Case Report.被忽视的肩峰骨折导致慢性创伤后肩部疼痛——病例报告
J Orthop Case Rep. 2022 Oct;12(10):39-43. doi: 10.13107/jocr.2022.v12.i10.3358.
3
Mechanism of injury and management in traumatic anterior shoulder dislocation with concomitant humeral shaft and ipsilateral scapula fracture: a case report and review of the literature.创伤性前肩关节脱位合并肱骨干及同侧肩胛骨骨折的损伤机制与处理:1例病例报告及文献复习
J Med Case Rep. 2014 Dec 16;8:431. doi: 10.1186/1752-1947-8-431.
4
Pectoralis major tendon transfer for recurrent anterior shoulder dislocation after primary surgery in an elderly patient: A case report.老年患者初次手术后复发性肩关节前脱位的胸大肌肌腱转移术:病例报告
Medicine (Baltimore). 2019 Feb;98(5):e14264. doi: 10.1097/MD.0000000000014264.
5
Traumatic posterior dislocation of the shoulder with fracture of the acromion in a child.
Arch Orthop Trauma Surg. 1996;115(3-4):238-9. doi: 10.1007/BF00434564.
6
Arthroscopic observation of capsulolabral reduction after shoulder dislocation.肩关节脱位后关节囊盂唇复位的关节镜观察
J Shoulder Elbow Surg. 2005 Mar-Apr;14(2):134-7. doi: 10.1016/j.jse.2004.07.002.
7
[Treatment strategy in first traumatic anterior dislocation of the shoulder. Plea for a multi-stage concept of preventive initial management].[首次创伤性肩关节前脱位的治疗策略。呼吁采用多阶段预防性初始处理概念]
Unfallchirurg. 1998 May;101(5):328-41; discussion 327. doi: 10.1007/s001130050278.
8
Arthroscopic repair for anterior shoulder instability with a Bigliani type I glenoid rim fracture.关节镜下修复合并比利亚尼I型肩胛盂缘骨折的肩关节前向不稳
Arthroscopy. 2002 Jul-Aug;18(6):E32. doi: 10.1053/jars.2002.31717.
9
Isolated displaced fracture of the acromion: a rare case report and the consequence of treatment by open reduction and pin fixation.孤立性肩峰移位骨折:1例罕见病例报告及切开复位钢针内固定治疗结果
Arch Trauma Res. 2013 Winter;1(4):184-6. doi: 10.5812/atr.8762. Epub 2013 Feb 1.
10
Anterior capsulolabral reconstruction for traumatic recurrent anterior shoulder dislocation.创伤性复发性肩关节前脱位的前关节囊盂唇重建术
Bull Hosp Jt Dis. 2005;62(3-4):94-8.

引用本文的文献

1
Complex Scapulothoracic Disruption Managed with Scapular Dual Column Plating and Acromion Tension Band Osteosynthesis: A Radiological and Functional Success Story.采用肩胛骨双柱钢板内固定和肩峰张力带接骨术治疗复杂肩胛胸壁关节脱位:一个放射学和功能学上的成功案例
J Orthop Case Rep. 2025 Aug;15(8):135-139. doi: 10.13107/jocr.2025.v15.i08.5914.
2
Quadruple dislocation fracture: concurrent glenoid, greater tuberosity, coracoid process, and acromion fractures following anterior shoulder dislocation.四联脱位骨折:肩关节前脱位后并发的肩胛盂、大结节、喙突和肩峰骨折。
JSES Rev Rep Tech. 2025 Jan 29;5(2):328-331. doi: 10.1016/j.xrrt.2024.12.015. eCollection 2025 May.

本文引用的文献

1
Nonoperative treatment of acromial fractures following reverse shoulder arthroplasty: clinical and radiographic outcomes.反肩关节置换术后肩峰骨折的非手术治疗:临床和影像学结果。
J Shoulder Elbow Surg. 2022 Jun;31(6S):S44-S56. doi: 10.1016/j.jse.2021.12.024. Epub 2022 Jan 21.
2
Plate fixation of acromion fracture using a mesh plate.使用网板对肩峰骨折进行钢板固定。
Trauma Case Rep. 2021 Mar 18;33:100470. doi: 10.1016/j.tcr.2021.100470. eCollection 2021 Jun.
3
Open reduction internal fixation of acromion fracture with open rotator cuff repair: a case report.
肩峰骨折切开复位内固定术联合开放性肩袖修复术:1例病例报告
JSES Int. 2020 Jun 11;4(3):542-545. doi: 10.1016/j.jseint.2020.03.004. eCollection 2020 Sep.
4
The traumatic acromion fracture: review of the literature, clinical examples and proposal of a treatment algorithm.创伤性肩峰骨折:文献综述、临床实例及治疗方案建议
Arch Orthop Trauma Surg. 2019 May;139(5):651-658. doi: 10.1007/s00402-019-03126-6. Epub 2019 Jan 22.
5
Prebending of osteosynthesis plate using 3D printed models to treat symptomatic os acromiale and acromial fracture.使用3D打印模型预弯接骨板治疗症状性肩峰骨和肩峰骨折。
J Exp Orthop. 2017 Oct 24;4(1):34. doi: 10.1186/s40634-017-0111-7.
6
Displaced acromion fracture: A rare injury, case report.移位性肩峰骨折:一种罕见损伤,病例报告。
Int J Surg Case Rep. 2017;39:313-316. doi: 10.1016/j.ijscr.2017.08.051. Epub 2017 Sep 1.
7
PERPENDICULAR DOUBLE-PLATE FIXATION WITH LOCKING SYSTEM FOR ACROMION PEDICLE FRACTURE.用于肩峰椎弓根骨折的带锁定系统的垂直双钢板固定术
Acta Ortop Bras. 2016 Mar-Apr;24(2):107-10. doi: 10.1590/1413-785220162402141691.
8
Reverse Shoulder Arthroplasty in the United States: A Comparison of National Volume, Patient Demographics, Complications, and Surgical Indications.美国的反肩关节置换术:全国手术量、患者人口统计学特征、并发症及手术适应症的比较
Iowa Orthop J. 2015;35:1-7.
9
Biomechanical evaluation of internal fixation techniques for unstable meso-type os acromiale.不稳定型中肩峰骨内固定技术的生物力学评估
J Shoulder Elbow Surg. 2015 Apr;24(4):520-6. doi: 10.1016/j.jse.2014.09.040. Epub 2014 Nov 28.
10
Isolated displaced fracture of the acromion: a rare case report and the consequence of treatment by open reduction and pin fixation.孤立性肩峰移位骨折:1例罕见病例报告及切开复位钢针内固定治疗结果
Arch Trauma Res. 2013 Winter;1(4):184-6. doi: 10.5812/atr.8762. Epub 2013 Feb 1.