Suppr超能文献

LINC00606 通过海绵 miR-486-3p 与 ATP11B 相互作用促进胶质母细胞瘤进展。

LINC00606 promotes glioblastoma progression through sponge miR-486-3p and interaction with ATP11B.

机构信息

School of Life Sciences, Shanghai University, Shanghai, 200444, P. R. China.

School of Medicine, Shanghai University, Shanghai, China.

出版信息

J Exp Clin Cancer Res. 2024 May 9;43(1):139. doi: 10.1186/s13046-024-03058-z.

Abstract

BACKGROUND

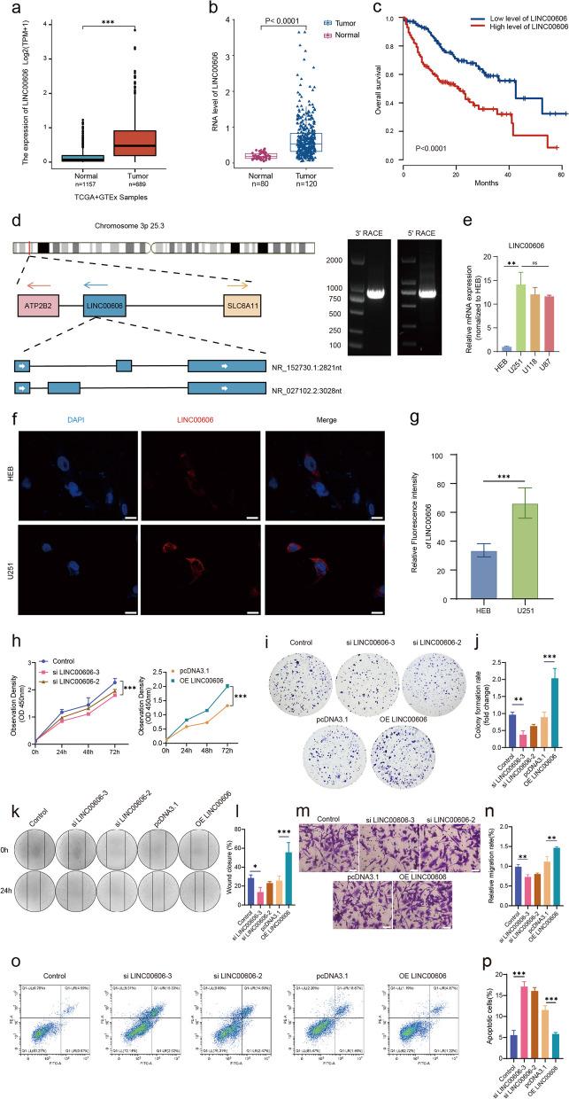
LncRNAs regulate tumorigenesis and development in a variety of cancers. We substantiate for the first time that LINC00606 is considerably expressed in glioblastoma (GBM) patient specimens and is linked with adverse prognosis. This suggests that LINC00606 may have the potential to regulate glioma genesis and progression, and that the biological functions and molecular mechanisms of LINC00606 in GBM remain largely unknown.

METHODS

The expression of LINC00606 and ATP11B in glioma and normal brain tissues was evaluated by qPCR, and the biological functions of the LINC00606/miR-486-3p/TCF12/ATP11B axis in GBM were verified through a series of in vitro and in vivo experiments. The molecular mechanism of LINC00606 was elucidated by immunoblotting, FISH, RNA pulldown, CHIP-qPCR, and a dual-luciferase reporter assay.

RESULTS

We demonstrated that LINC00606 promotes glioma cell proliferation, clonal expansion and migration, while reducing apoptosis levels. Mechanistically, on the one hand, LINC00606 can sponge miR-486-3p; the target gene TCF12 of miR-486-3p affects the transcriptional initiation of LINC00606, PTEN and KLLN. On the other hand, it can also regulate the PI3K/AKT signaling pathway to mediate glioma cell proliferation, migration and apoptosis by binding to ATP11B protein.

CONCLUSIONS

Overall, the LINC00606/miR-486-3p/TCF12/ATP11B axis is involved in the regulation of GBM progression and plays a role in tumor regulation at transcriptional and post-transcriptional levels primarily through LINC00606 sponging miR-486-3p and targeted binding to ATP11B. Therefore, our research on the regulatory network LINC00606 could be a novel therapeutic strategy for the treatment of GBM.

摘要

背景

长链非编码 RNA(lncRNA)在多种癌症中调节肿瘤发生和发展。我们首次证实,LINC00606 在胶质母细胞瘤(GBM)患者标本中表达明显,并与不良预后相关。这表明 LINC00606 可能具有调节神经胶质瘤发生和进展的潜力,而 LINC00606 在 GBM 中的生物学功能和分子机制在很大程度上尚不清楚。

方法

通过 qPCR 评估 LINC00606 和 ATP11B 在胶质瘤和正常脑组织中的表达,并通过一系列体外和体内实验验证 LINC00606/miR-486-3p/TCF12/ATP11B 轴在 GBM 中的作用。通过免疫印迹、FISH、RNA 下拉、CHIP-qPCR 和双荧光素酶报告基因检测阐明 LINC00606 的分子机制。

结果

我们证明 LINC00606 促进神经胶质瘤细胞增殖、克隆扩增和迁移,同时降低细胞凋亡水平。从机制上讲,一方面,LINC00606 可以吸附 miR-486-3p;miR-486-3p 的靶基因 TCF12 影响 LINC00606、PTEN 和 KLLN 的转录起始。另一方面,它还可以通过与 ATP11B 蛋白结合,调节 PI3K/AKT 信号通路,介导神经胶质瘤细胞增殖、迁移和凋亡。

结论

总的来说,LINC00606/miR-486-3p/TCF12/ATP11B 轴参与 GBM 进展的调节,主要通过 LINC00606 吸附 miR-486-3p 和靶向结合 ATP11B,在转录和转录后水平发挥肿瘤调节作用。因此,我们对 LINC00606 调控网络的研究可能为 GBM 的治疗提供一种新的治疗策略。

https://cdn.ncbi.nlm.nih.gov/pmc/blobs/095c/11080186/b8495af55d8b/13046_2024_3058_Fig1_HTML.jpg

文献检索

告别复杂PubMed语法,用中文像聊天一样搜索,搜遍4000万医学文献。AI智能推荐,让科研检索更轻松。

立即免费搜索

文件翻译

保留排版,准确专业,支持PDF/Word/PPT等文件格式,支持 12+语言互译。

免费翻译文档

深度研究

AI帮你快速写综述,25分钟生成高质量综述,智能提取关键信息,辅助科研写作。

立即免费体验